【PPT】伴有皮质下梗死和白质脑病的常染色体显性遗传性脑动脉病(CADASIL)

发布时间:2022-10-20

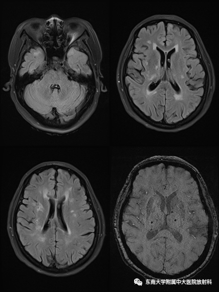
病史

女,51岁
主诉:反复发作性头晕2年余,再发加重1周
相关病史:患者2年前无明显诱因下出现头晕,表现为头重脚轻,伴有头痛,无高血压、高血脂、冠心病病史,体格检查及实验室检查均未见明显异常

【PPT】伴有皮质下梗死和白质脑病的常染色体显性遗传性脑动脉病(CADASIL)-1

【PPT】伴有皮质下梗死和白质脑病的常染色体显性遗传性脑动脉病(CADASIL)-2

【PPT】伴有皮质下梗死和白质脑病的常染色体显性遗传性脑动脉病(CADASIL)-3

【PPT】伴有皮质下梗死和白质脑病的常染色体显性遗传性脑动脉病(CADASIL)-4

【PPT】伴有皮质下梗死和白质脑病的常染色体显性遗传性脑动脉病(CADASIL)-5

【PPT】伴有皮质下梗死和白质脑病的常染色体显性遗传性脑动脉病(CADASIL)-6

【PPT】伴有皮质下梗死和白质脑病的常染色体显性遗传性脑动脉病(CADASIL)-7

【PPT】伴有皮质下梗死和白质脑病的常染色体显性遗传性脑动脉病(CADASIL)-8

【PPT】伴有皮质下梗死和白质脑病的常染色体显性遗传性脑动脉病(CADASIL)-9

【PPT】伴有皮质下梗死和白质脑病的常染色体显性遗传性脑动脉病(CADASIL)-10

【PPT】伴有皮质下梗死和白质脑病的常染色体显性遗传性脑动脉病(CADASIL)-11

【PPT】伴有皮质下梗死和白质脑病的常染色体显性遗传性脑动脉病(CADASIL)-12

【PPT】伴有皮质下梗死和白质脑病的常染色体显性遗传性脑动脉病(CADASIL)-13

【PPT】伴有皮质下梗死和白质脑病的常染色体显性遗传性脑动脉病(CADASIL)-14

【PPT】伴有皮质下梗死和白质脑病的常染色体显性遗传性脑动脉病(CADASIL)-15

【PPT】伴有皮质下梗死和白质脑病的常染色体显性遗传性脑动脉病(CADASIL)-16

【PPT】伴有皮质下梗死和白质脑病的常染色体显性遗传性脑动脉病(CADASIL)-17

【PPT】伴有皮质下梗死和白质脑病的常染色体显性遗传性脑动脉病(CADASIL)-18

【PPT】伴有皮质下梗死和白质脑病的常染色体显性遗传性脑动脉病(CADASIL)-19

【PPT】伴有皮质下梗死和白质脑病的常染色体显性遗传性脑动脉病(CADASIL)-20

【PPT】伴有皮质下梗死和白质脑病的常染色体显性遗传性脑动脉病(CADASIL)-21

【PPT】伴有皮质下梗死和白质脑病的常染色体显性遗传性脑动脉病(CADASIL)-22

【PPT】伴有皮质下梗死和白质脑病的常染色体显性遗传性脑动脉病(CADASIL)-23

【PPT】伴有皮质下梗死和白质脑病的常染色体显性遗传性脑动脉病(CADASIL)-24

【PPT】伴有皮质下梗死和白质脑病的常染色体显性遗传性脑动脉病(CADASIL)-25

【PPT】伴有皮质下梗死和白质脑病的常染色体显性遗传性脑动脉病(CADASIL)-26

【PPT】伴有皮质下梗死和白质脑病的常染色体显性遗传性脑动脉病(CADASIL)-27

【PPT】伴有皮质下梗死和白质脑病的常染色体显性遗传性脑动脉病(CADASIL)-28

【PPT】伴有皮质下梗死和白质脑病的常染色体显性遗传性脑动脉病(CADASIL)-29

【PPT】伴有皮质下梗死和白质脑病的常染色体显性遗传性脑动脉病(CADASIL)-30

【PPT】伴有皮质下梗死和白质脑病的常染色体显性遗传性脑动脉病(CADASIL)-31

【PPT】伴有皮质下梗死和白质脑病的常染色体显性遗传性脑动脉病(CADASIL)-32

【PPT】伴有皮质下梗死和白质脑病的常染色体显性遗传性脑动脉病(CADASIL)-33

【PPT】伴有皮质下梗死和白质脑病的常染色体显性遗传性脑动脉病(CADASIL)-34

精彩图片

热门精选