少见的急症—冠状动脉夹层
发布时间:2022-10-20
发布时间:2022-10-20
病例展示
男,31 岁,主因 「 突发胸痛 2 天 」。2 天前无明显诱因出现心前区疼痛,灼烧样疼痛,口服 「 速效救心丸 」 和 「 丹参 」,上述不适持续未缓解,放射至背部及两前臂,伴恶心、不伴呕吐、乏力、大汗。就诊当地医院,检查提示肌钙蛋白升高。病程中,患者无头痛、发热,无咳嗽、咳痰,无腹痛、腹胀,饮食睡眠尚可,二便如常,近期体重未见明显减少。既往诊断马凡综合征 30 余年,2010 年行主动脉夹层手术,2011 年行二尖瓣、主动脉瓣置换术。规律口服华法林(3 mg/片),单日 6/5 片,双日 1 片。

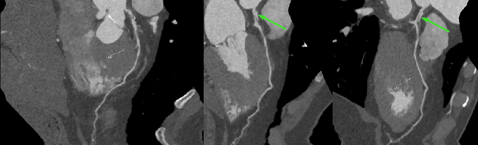
冠脉 CTA:

右冠状动脉近段双腔影,中段偏心性低密度,管腔中度狭窄。


1、考虑右冠状动脉近段夹层;右冠状动脉近中段偏心性低密度影,考虑壁间血肿,估计管腔重度狭窄
2、左冠状动脉前降支中段(近第二对角支分叉处)限局性夹层
3、符合主动脉瓣及二尖瓣术后,请结合病史:男,64 岁,主因 「 突发胸痛 1 天 」。

左冠状动脉主干双腔影,诊断为夹层。
冠状动脉夹层
自发性冠状动脉夹层(spontaneous coronary artery dissection,SCAD)是指非医源性创伤、非动脉粥样硬化性病因所致冠状动脉管壁自发分离,继而形成假腔压迫真腔,减少甚至完全阻塞冠状动脉血流的疾病。SCAD 是非动脉粥样硬化性急性冠状动脉综合征(acute coronary syndrome,ACS)、心肌梗死和心原性猝死的重要原因,尤其是在 50 岁以下的女性中,24%~35% 的心脏病发作是由 SCAD 引起的。SCAD 导致心肌损伤的主要机制是壁内血肿或内膜撕裂引起的冠状动脉阻塞,而不是动脉粥样硬化斑块破裂或腔内血栓。
流行病学
最近的研究估计,SCAD 患者绝大多数是女性,男性约占 10%,约 90% 的 SCAD 病例发生在无传统心血管危险因素的 47~53 岁女性患者。在 ACS 患者中,SCAD 的患病率为 1%~4%。50 岁以下女性中约 35% 的 ACS 事件是由 SCAD 引起的。对 2009 至 2014 年美国 752 352 例急性心肌梗死女性患者的调查研究显示,SCAD 的患病率约为 0.98%。SCAD 是怀孕或产后患者中最常见的心肌梗死原因,约 43% 的妊娠相关心肌梗死病因为 SCAD。SCAD 可累及所有的冠状动脉,但最常受累的是左前降支,45%~61% 的病例发生于左前降支及其分支;15%~45% 的病例发生于左回旋支及其分支,10%~39% 的病例发生于右冠状动脉及其分支,0~4% 的病例发生于左冠状动脉主干。冠状动脉中远段受累最常见,<10% 的病例发生于冠状动脉近端。9%~19% 的病例累及多支冠状动脉。SCAD 受累的冠状动脉的平均狭窄程度约为 79%,平均夹层长度约为 46 mm。
病理生理机制
SCAD 的特点是在冠状动脉壁内自发形成血肿并造成假腔,假腔压迫真腔导致冠状动脉血流阻塞,从而引起心肌缺血和梗死。假腔可发生在内膜、中膜和外膜之间,通常在中膜外 1/3 形成假腔。假腔形成的主要原因尚不清楚,有两种可能的机制:(1)「 自内向外 」 假说,即内膜 「 撕裂 」 使血液通过内膜并聚集在中膜中;(2)「 自外而内 」 假说,即壁内微血管自发性破裂,导致出血直接进入中膜。组织学上,假腔内可见富含纤维蛋白的血肿,且中性粒细胞浸润至中膜。动脉外膜周围炎症通常以嗜酸性粒细胞浸润为主,由嗜酸性粒细胞释放的细胞毒性和胶原蛋白溶解的物质可能会导致内层破坏,进而导致动脉夹层。

A:正常冠状动脉解剖;B:「 自外而内 」 假说;C:「 自内向外 」 假说
临床表现
SCAD 的常见诱因除妊娠外,还有繁重的体力活动和精神压力,其中精神压力在女性中更为常见,而繁重的体力活动则在男性中更为常见。SCAD 的临床表现与动脉粥样硬化性 ACS 相似,最常见的是胸痛,并伴有心脏生物标志物的升高和心电图异常。26%~87% 的 SCAD 患者可出现 ST 段抬高型心肌梗死,13%~69% 的患者出现非 ST 段抬高型心肌梗死。3%~11% 的患者出现室性心律失常和心原性猝死。不常见的症状包括上臂和颈部的放射痛、恶心、呕吐、出汗、呼吸困难、心房颤动和室性心动过速等。
血管造影分型
Yip-Saw 血管造影分型将 SCAD 分为 3 种类型。1 型可见确切的内膜撕裂、双腔影和对比剂滞留。2 型和 3 型 SCAD 描述了壁内血肿的不同表现。2 型,血肿压迫冠状动脉真腔,致血管腔呈弥漫性(长度 ≥20 mm)狭窄甚至完全闭塞,进一步分为 2 个亚型,其中 2A 型指弥漫性动脉狭窄但血肿边界的血管正常,2B 型是指弥漫性狭窄延伸至动脉远端。3 型,血肿致管腔局限性(长度 <20 mm)狭窄。最常见的分型为 2 型,发生率高达 67.5%,其次 1 型占 29.1%,3 型占 3.4%。

本例即为右冠状动脉近段 TYPE1 型,中段 TYPE2B 型;左冠状动脉前降支 TYPE1 型
冠状动脉 CT 成像
冠状动脉 CT 血管成像(CCTA):随着 CT 空间和时间分辨率的提高,CCTA 逐渐成为 SCAD 的一种非常有用的无创性成像技术。CCTA 分型与有创冠状动脉造影分型相一致。CCTA 可能会出现的影像征象包括夹层内膜片影、壁内血肿、管腔锥形狭窄、突然管腔狭窄、管腔闭塞、血管周围脂肪堆积和血管相应心肌灌注减低。CCTA 有助于评估 SCAD 患者的其他血管病变,是随访监测的首选方法。

治疗及预后
当患者状况稳定 [心肌梗死溶栓试验(TIMI)分级 2 或 3 级] 且无高危特征(持续缺血、心原性休克和左主干夹层等)时,一些专家推荐患者应接受保守治疗。Hassan 等对 156 例接受保守治疗的 SCAD 患者进行随访,复查有创冠状动脉造影发现 95% 的患者的冠状动脉夹层可以自发愈合。当患者有高危特征时,应考虑立即进行血运重建,血运重建首选经皮冠状动脉介入,其次选冠状动脉旁路移植术。经皮冠状动脉介入治疗具有挑战性,并发症多,包括医源性夹层、随着晚期血肿的吸收可能出现支架错位等。冠状动脉旁路移植术短期成功率高,但长期通畅性较差。另外,SCAD 患者的冠状动脉外血管异常发生率很高,需要进行评估和处理。妊娠相关的 SCAD 患者的治疗需要考虑其特殊性,要避免使用致畸药物,最大限度地减少胎儿暴露于电离辐射,分娩的时机选择要尽可能降低对母婴的安全风险。
上一篇:【PPT】先天性支气管闭锁
下一篇:【病例】肺部硕大块影一定想到它!