【病例】肺淋巴瘤(MALT)一例CT影像

发布时间:2022-10-20

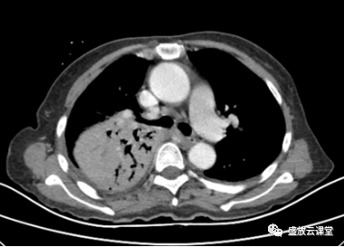
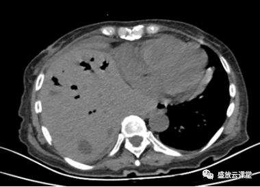
【病例】肺淋巴瘤(MALT)一例CT影像-1

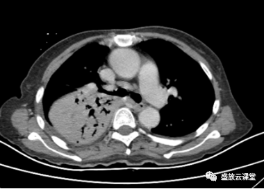
【病例】肺淋巴瘤(MALT)一例CT影像-1 【病例】肺淋巴瘤(MALT)一例CT影像-2
【病例】肺淋巴瘤(MALT)一例CT影像-3 【病例】肺淋巴瘤(MALT)一例CT影像-4
【病例】肺淋巴瘤(MALT)一例CT影像-5 【病例】肺淋巴瘤(MALT)一例CT影像-6

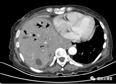
【病例】肺淋巴瘤(MALT)一例CT影像-2

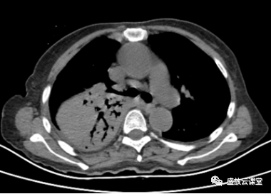
【病例】肺淋巴瘤(MALT)一例CT影像-3

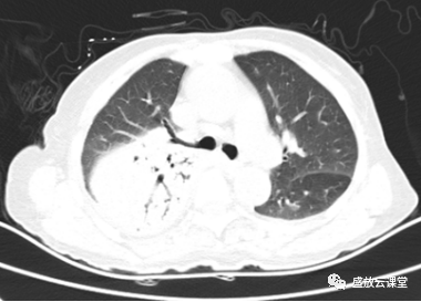
【病例】肺淋巴瘤(MALT)一例CT影像-4

【病例】肺淋巴瘤(MALT)一例CT影像-5

【病例】肺淋巴瘤(MALT)一例CT影像-6

【病例】肺淋巴瘤(MALT)一例CT影像-7

【病例】肺淋巴瘤(MALT)一例CT影像-7

【病例】肺淋巴瘤(MALT)一例CT影像-8

【病例】肺淋巴瘤(MALT)一例CT影像-9

精彩图片

热门精选