一起来认识肺动脉吊带的影像诊断与解剖模式
发布时间:2022-11-16
发布时间:2022-11-16
正常肺动脉解剖

正常肺动脉与肺动脉吊带比较:

胚胎学起源
正常情况下,胚胎发育早期左、右肺动脉分别与两侧的第 6 对主动脉弓相连,若左肺动脉不能与左侧第六主动脉相连,则左肺动脉迷走起源于右肺动脉。

分型
(1) 根据左肺动脉起源分为两型:
1 型是整个左肺动脉直接起源于右肺动脉主干气管远端、支气管近端形成吊带;
2 型是左上肺动脉起源正常,左下肺动脉起源于右肺动脉主干,该型少见。
(2)依据气管支气管树的解剖情况,将 PAS 分为 1 型和 2 型,并根据右上叶支气管是否异常分为 A、B 亚型:
1 型 PAS:气管隆突通常位于 T4-5 水平;
2 型 PAS:气管隆突位于 T5-6 水平;
临床表现
PAS 临床症状包括三部分,即心内畸形所致症状、气管压迫所致症状及食管压迫导致的症状,其中以气管压迫症状为主为重。主要的症状有咳喘、气促、发绀等,严重者可出现呼吸困难、意识障碍、抽搐等表现,可危及生命。对于儿童,可有进食固体食物困难、进餐时间长等表现。合并心内畸形的患儿可根据不同畸形而表现相应症状。
影像学检查
1、X 线:胸片显示可疑纵隔肿块;在透视下有搏动感;高千伏摄片可看到压迫的气道影,左侧肺门低于右侧, 气管下段及隆突处向左侧移位;食管吞钡检查, 可见气管后方有搏动软组织影压迫食管, 食管前方形成明显切迹, 与支气管囊肿、肿大淋巴结等难以区分;
2、支气管镜检查可用于评估气管狭窄及是否合并气管畸形等;
3、肺动脉造影、支气管造影创伤性较大,现很少使用;

(DSA)
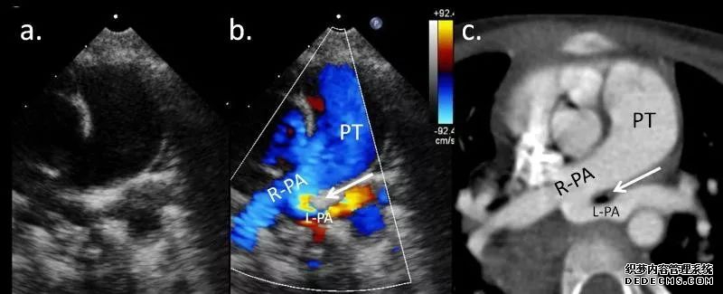
4、心脏超声: 能较好明确心内畸形及异常起源的左肺动脉,但对于显示心外肺动脉走行情况及异常发育的气管,超声无法观察,另外也与操作者的技能有关;

(超声及 CT)
5、MSCT 是诊断该基本的首选手段,能清晰显示周围器官的压迫情况,并能显示肺部及气管、支气管的发育情况,尤其显示气管、支气管的压迫情况及狭窄范围,明确有无气管畸形等。MSCT 及二维和三维重建(VR、MinIP、MPR 等)可清晰显示 PAS 和伴随的气管异常,克服了 DSA 及支气管镜为创伤性检查的缺点,克服了 MRI 扫描时间长,镇静要求高的缺点,并且克服了超声心动图显示大血管欠佳及无法显示气管的缺点。CVE(仿真内窥镜)与支气管检查相仿,均可显示气管的狭窄部位及程度,避免支气管镜检查造成气管梗阻和呼吸道症状加重;

6、MRI 作为无创检查方法均能准确显示血管和气道、血管环和吊带的异常。MRI 虽无电离辐射,但因扫描时间长,镇静要求高,尤其对于存在呼吸窘迫患儿,过度镇静不安全,因此不适合临床症状严重者。

病例
先天性肺动脉吊带畸形(PAS),又称先天性迷走左肺动脉,是一种少见的先天性心血管畸形,由于该病常引起气道梗阻,导致气促、喘息、呼吸困难等,且常合并肺部感染,若不及时治疗和做出正确诊断病死率很高,其病理特征为左肺动脉起源于右肺动脉近心段后上壁或延长的主肺动脉,呈半环形跨过气管或主支气管,向左穿行于食管前和左主支气管后的间隙到达左肺门,形成血管环,压迫气道造成梗阻。由于在其走行过程中,动脉包绕气管酷似吊,故命名为肺动脉吊带畸形。该种畸形约 50% 合并心内结构畸形,如动脉导管未闭、双上腔静脉、房间隔缺损、室间隔缺损等。且常有气管狭窄、软骨软化、肺叶发育不良及右肺缺如等伴发畸形。
作者 | 邓之亚
参考文献
[1] 缪华, 陈香. 先天性肺动脉吊带畸形的影像表现 (附 2 例报告)[J]. 医学影像学杂志,2011,8(8):1293-4.
[2] 陈伟彬, 李盖, 冯莉, 等.CT 血管造影后处理技术诊断肺动脉吊带一例报告 [J]. 天津医药,2012,40(8):852-3.
[3] 裴亮, 刘春峰, 李玖军, 等. 肺动脉吊带畸形 2 例报告并文献复习 [J]. 中国实用儿科杂志,2013,6(6):455-7.
[4] 徐明,张景明. 多层螺旋 CT 在诊断肺动脉吊带伴气管畸形中的临床价值 [J]. 中国循证心血管医学杂志,2016,8(5):580-582.
[5] 李红云, 张儒舫, 沈立. 肺动脉吊带的外科诊治 [J]. 国家儿科学杂志,2016,43(7):560-563.
下一篇:肺腺癌TNM分期影像学解读