【PPT】脱髓鞘疾病、腔隙性脑梗死与血管周围间隙的鉴别诊断
发布时间:2022-10-24























































小 结
- 多发性硬化(MS):中青年女性;症状发作与缓解交替出现;直角脱髓鞘征;不同时期脱髓鞘斑块表现不一,急性期有强化。
- 脑白质疏松(LA):小动脉病变导致的白质纤维脱髓鞘;T2-FLAIR呈较高信号,DWI无弥散受限;常两侧对称,脑室周围明显。
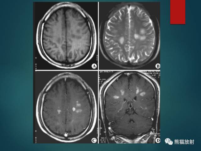
- 腔隙性脑梗死(LACI):颅内小动脉及穿支动脉狭窄或痉挛;T2-FLAIR呈高信号;DWI急性期弥散受限;基底节、脑干及丘脑多见。
- 血管周围间隙(PVS):与软脑膜下腔相连;分为基底节型、大脑半球型及脑干型;与脑脊液信号相同。