一定要小心食管的”黑色玫瑰花征”
发布时间:2022-10-14
发布时间:2022-10-14
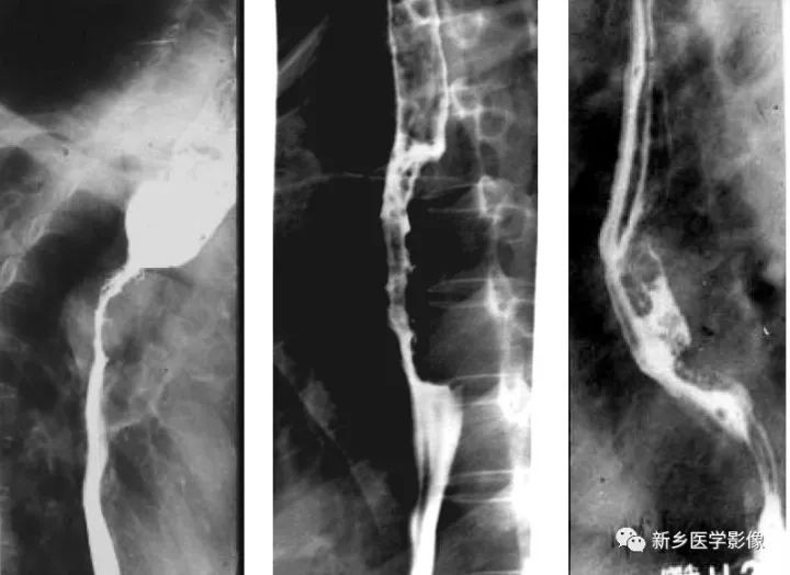
食管癌在钡餐造影下的一种表现之一,显示食管局部不规则狭窄(黄箭头:玫瑰花花干),近端食管扩张(萎陷的玫瑰花朵),两个不规则线状溃疡(红箭头:玫瑰花叶/刺),形似黑色玫瑰花,小编原创命名为:“黑色玫瑰花征”,帮助记忆,加深映像


&食管癌表现多样。
早期食管癌在钡餐中可能表现为斑块样或息肉样病变,也可以呈食管壁的局灶性不规整。
进展期食管癌的典型表现为肿块所致狭窄,伴有“肩胛征”和不规整轮廓。较少见的串珠样表现可与静脉曲张混淆,但肿瘤并不会因蠕动波而改变形状,而静脉曲张则都有改变。
&食管癌可以是鳞状细胞癌或腺癌,无法从钡餐检查中进行可靠的鉴别。鳞状细胞癌倾向于累及上段或中段食管,而腺癌通常累及远端食管并可以蔓延至胃部。
&鳞状细胞癌最常见是由吸烟和酗酒所致。少见的危险因素包括乳糜泻、PIummer-Vinson综合征、贲门失驰缓症及人类乳头状瘤病毒(更常引起喉部鳞状细胞癌)。
&腺癌是由于慢性反流导致,由远端Barrett食管演变而来。发病率近年来持续上升。

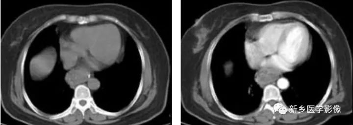
(上图:增强CT食管壁不规则增厚)
扩展阅读:
食管癌是由食管黏膜上皮或腺体发生的恶性肿瘤,为我国最常见的恶性肿瘤之一。
1、病理与临床
食管癌(carcinoma of esophagus)是由食管黏膜上皮或腺体发生的恶性肿瘤,为我国最常见的恶性肿瘤之一。多见于中老年患者。
发病与生活条件、不良的饮食习惯、阳性家族史和食管慢性炎症有关。组织学分型有鳞状细胞癌、腺癌、小细胞癌、腺棘皮癌等类型,90%以上为鳞状细胞癌。腺癌多发生在食管下段,占食管癌的0.8%~8%。
大体病理上分为浸润型(或称缩窄型)、增生型(或称蕈伞型)和溃疡型。早期食管癌的症状不明显,可有进食哽噎感、胸骨后烧灼感及背痛等。
进展期表现为吞咽困难症状进行性持续性加重,胸闷或胸背痛明显,声音嘶哑,呼吸困难或进食呛咳。晚期出现贫血、消瘦及恶病质。
2、影像学表现
X线表现:
(1)早期食管癌X线表现:
①食管黏膜皱襞的改变:病变部位黏膜皱襞迂曲增粗,可见部分黏膜中断破坏,边缘毛糙。黏膜皱襞迂曲增粗为早期食管癌最常见的征象;
比较少见,增粗的黏膜面上可出现大小不等、多少不一的小龛影,一般直径小于5mm;
③小充盈缺损:为向腔内隆起的小结节样改变,较表浅或呈乳头状,直径约5~20mm;
④功能异常:局部管壁舒张度减低,偏侧性管壁僵硬,蠕动减慢,钡剂滞留等。
(2)中晚期食管癌X线表现
为食管癌最典型X线表现。局部黏膜皱襞中断、破坏、甚至消失,腔内锥形、半月形或不规则形龛影和充盈缺损,病变管壁显示僵硬和蠕动消失。各型主要表现如下:
①浸润型:病变食管呈环状对称性狭窄或漏斗状梗阻,病变长约20~30mm,局部可见软组织肿块影,管壁僵硬,边缘多较光整,近段食管显著扩张;
②增生型:管腔内偏心低平的充盈缺损,边缘不整,形如菜花或蘑菇样,病变中部常显示表浅腔内龛影,晚期出现管腔偏侧性狭窄;
③溃疡型:显示为大小和形态不同的腔内龛影,边缘不光整,部分龛影底部超出食管轮廓。溃疡沿食管长轴破溃伴边缘隆起时,出现“半月征”,周围绕以不规则环堤。

中晚期食管癌钡餐造影图像
a、浸润型食管癌,显示食管上段向心性狭窄,边缘不规则,局部见软组织肿块,狭窄以上食管扩张
b、增生型食管癌,食管中段偏心性不规则充盈缺损,边缘不规则
c、溃疡性食管癌,食管中段偏心性肿块,局部见腔内龛影
(3)食管癌并发症的X线表现
食管癌穿孔形成瘘管,可见对比剂溢出食管轮廓之外。瘘入纵隔可造成纵隔炎和纵隔脓肿,使纵隔影增宽,有的可见液面,其中有钡剂进入。
并发食管气管瘘,则钡剂经瘘管进入相应的支气管,使之显影,大多为左下叶。食管癌有胸内转移淋巴结较大时可造成肺门增大,呈结节状,使上纵隔增宽。明显增大的淋巴结可使食管发生移位。

中段食管癌并发食管气管瘘钡餐造影图像
吞钡后食管中段狭窄,并见支气管显影
CT表现:
①食管壁改变:食管壁全周环形或局部不规则增厚,相应平面管腔变窄或消失,呈肿块样改变;
②食管周围脂肪间隙模糊、消失:提示食管癌向外侵犯;
③周围组织器官受累:多为气管和支气管,常形成食管-气管瘘,其次可侵犯心包膜、左心房和主动脉等;
④转移:以纵隔、肺门及颈部淋巴结转移多见,也可逆行性转移至上腹部淋巴结,少见肺转移。CT增强扫描可见瘤体轻度强化。较大瘤体呈不均匀强化,常合并低密度的坏死灶,较小瘤体强化均匀。

下段食管癌CT图像
下段食管腔消失,呈肿块样改变,平扫呈等密度,增强后有明显强化
MRI表现:
与CT表现近似,MRI能清楚显示正常上段和下段食管,中段食管由于在左心房后方受压而常不能显示。
MRI能较清晰的显示肿瘤的大小、向周围侵犯的程度和是否侵及邻近器官,更易于对肿瘤进行分期。平扫时肿瘤呈等T1长、T2信号;增强扫描时肿瘤明显强化。
3、鉴别诊断
食管癌主要与食管静脉曲张及食管良性狭窄、返流性食管炎鉴别。食管癌患者管壁僵硬、黏膜破坏、腔内充盈缺损和不规则腔内龛影、上段食管扩张等影像表现可供鉴别。良性病变管壁柔软,随吞咽管腔大小、形态有变化,不表现腔内龛影。
上一篇:乳腺导管内乳头状瘤MRI表现
下一篇:胸膜病变