纵隔糖葫芦征—髓外造血
发布时间:2022-10-14
发布时间:2022-10-14
髓外造血是骨髓红系造血功能衰竭的响应。髓外造血发生在血红蛋白病,骨髓增生性疾病或骨髓浸润性疾病。它大多发生在脾脏和肝脏,偶尔在淋巴结中出现。不常见的器官包括胸膜、肺、胃肠道、乳腺、皮肤、脑、肾和肾上腺。
病理病因
.慢性粒细胞性白血病
.真性红细胞增多症
.原发性血小板增多症
.骨髓纤维化伴髓样化生
.镰状细胞病
影像学特征
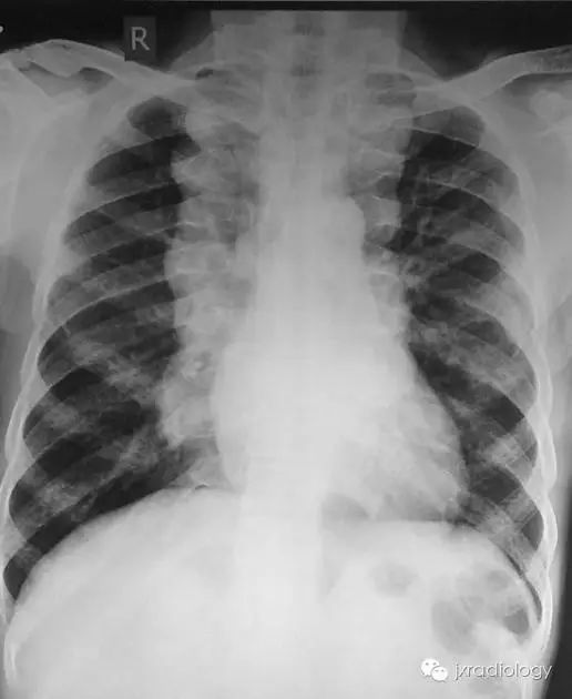
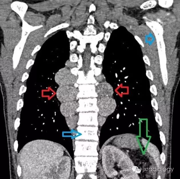
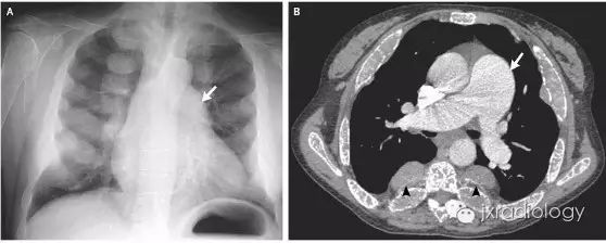
髓外造血器官,影像学上通常表现为器官增大,如超声、CT或MRI上表现为肝肿大、脾大。然而,在不常见的情况下,髓外造血可以发生在胸腔内,呈后纵隔肿块,变现为单侧或双侧脊柱旁肿块,边缘光滑,轮廓分明,常呈分叶状边缘。
病例图片




(图源:N Engl J Med 2010; 362:253)
上一篇:没有了
下一篇:乳腺导管内乳头状瘤MRI表现