尘肺

发布时间:2022-10-23

幻灯片1

幻灯片2

幻灯片3

幻灯片4

幻灯片5

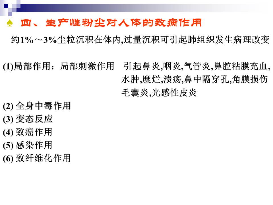
幻灯片6

幻灯片7

幻灯片8

幻灯片9

幻灯片10

幻灯片11

幻灯片12

幻灯片13

幻灯片14

幻灯片15

幻灯片16

幻灯片17

幻灯片18

幻灯片19

幻灯片20

幻灯片21

幻灯片22

幻灯片23

幻灯片24

幻灯片25

幻灯片26

幻灯片27

幻灯片28

幻灯片29

幻灯片30

幻灯片31

幻灯片32

幻灯片33

幻灯片34

幻灯片35

幻灯片36

幻灯片37

幻灯片38

精彩图片

热门精选