肺内磨玻璃样结节的影像诊断与处理对策

发布时间:2022-11-18

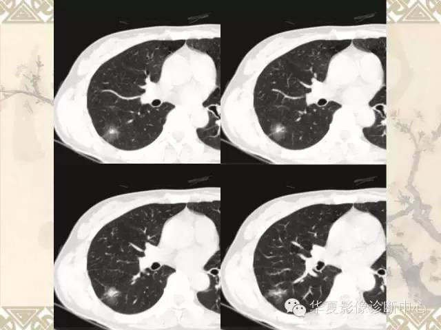
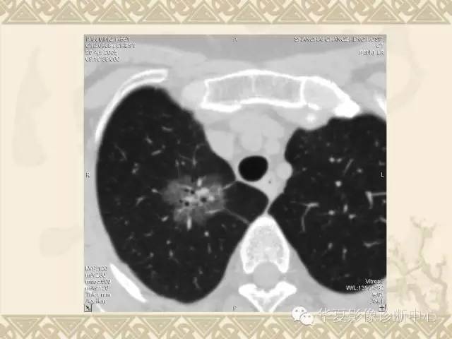
【PPT】肺内磨玻璃样结节的影像诊断与处理对策

【PPT】肺内磨玻璃样结节的影像诊断与处理对策

【PPT】肺内磨玻璃样结节的影像诊断与处理对策

【PPT】肺内磨玻璃样结节的影像诊断与处理对策

【PPT】肺内磨玻璃样结节的影像诊断与处理对策

【PPT】肺内磨玻璃样结节的影像诊断与处理对策

【PPT】肺内磨玻璃样结节的影像诊断与处理对策

【PPT】肺内磨玻璃样结节的影像诊断与处理对策

【PPT】肺内磨玻璃样结节的影像诊断与处理对策

【PPT】肺内磨玻璃样结节的影像诊断与处理对策

【PPT】肺内磨玻璃样结节的影像诊断与处理对策

【PPT】肺内磨玻璃样结节的影像诊断与处理对策

【PPT】肺内磨玻璃样结节的影像诊断与处理对策

【PPT】肺内磨玻璃样结节的影像诊断与处理对策

【PPT】肺内磨玻璃样结节的影像诊断与处理对策

【PPT】肺内磨玻璃样结节的影像诊断与处理对策

【PPT】肺内磨玻璃样结节的影像诊断与处理对策

【PPT】肺内磨玻璃样结节的影像诊断与处理对策

【PPT】肺内磨玻璃样结节的影像诊断与处理对策

【PPT】肺内磨玻璃样结节的影像诊断与处理对策

【PPT】肺内磨玻璃样结节的影像诊断与处理对策

【PPT】肺内磨玻璃样结节的影像诊断与处理对策

【PPT】肺内磨玻璃样结节的影像诊断与处理对策

精彩图片

热门精选