腹膜后畸胎瘤1例CT影像表现
发布时间:2022-11-25
发布时间:2022-11-25

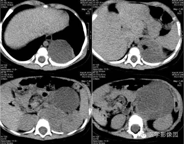
1——平扫

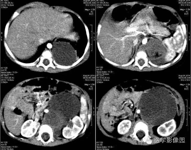
2——增强

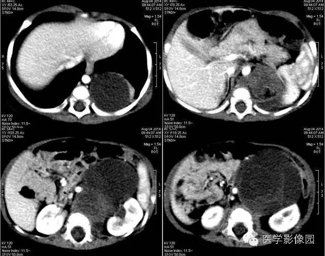
3——增强

4——增强

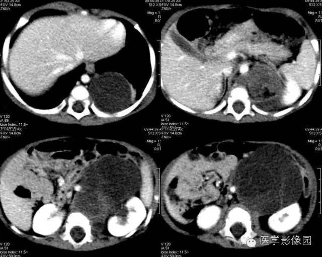
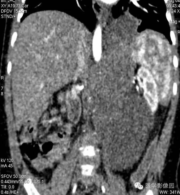
5——增强冠状位重建

6——增强冠状位重建

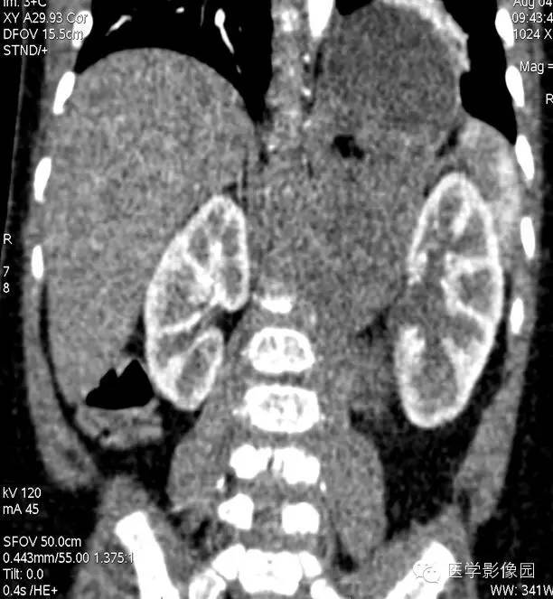
7——增强冠状位重建
小儿畸胎瘤好发于身体中线及两旁,多发生在骶尾部、腹膜后、纵隔、卵巢等部位,是腹膜后常见的实体瘤之一,发病率仅次于肾母细胞瘤和神经母细胞瘤。
畸胎瘤是由两个或三个原始胚层组织演化而来的胚胎性肿瘤,大体上囊性、实性或囊实性兼有。囊性畸胎瘤又称皮样囊肿,仅含表皮及其附属成分,基本上均为良性。实性畸胎瘤含有三个胚层成分。按组织学分类可分为良性畸胎瘤和恶性畸胎瘤。良性畸胎瘤由分化良好的成熟组织构成,故又称为成熟畸胎瘤,瘤体囊性部分多于实质部分,小儿中绝大部分均为良性畸胎瘤。恶性畸胎瘤由胚胎发生时期的未成熟组织构成,实质部分常多于囊性部分,恶性畸胎瘤在小儿中十分少见。小儿畸胎瘤以女性多见,男女之比约为1:3-4,腹部包块和腹胀为腹膜后畸胎瘤主要的临床表现,患儿一般状况良好。
恶性畸胎瘤瘤体以实体为主,病变边界模糊不清,可侵犯周围组织,肿块大小对鉴别良恶性意义不大。
下一篇:CT在食管癌诊疗中的应用