新月征、印戒征……盘点呼吸系统那些“听上去很美”的影像征象
发布时间:2022-11-18
发布时间:2022-11-18
树芽征(tree-in-bud pattern)
多见于弥漫性泛细支气管炎、肺结核支气管播散等。在HRCT检查时可见直径3~5mm的结节状和短线状影像,并与支气管血管束相连,使病变的支气管树状如枝芽,病理上为腺泡结节、小叶中心或小叶范围内实变,病理基础可为渗出、干酪坏死、肉芽组织增生。

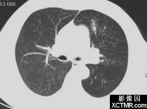
新月征:(Crescent sign)
局限性曲霉菌病,常见于净化空洞内,以曲菌球和空洞形成的新月样间隙得名。

影像表现:印戒征见于胸部CT扫描。它是由一小圆形软组织密度影邻接一围绕大圆形低密度空气影的环状软组织密度影构成。

说明:在横断面CT扫描上,环状软组织密度影代表扩张的支气管壁,圆形低密度空气影代表扩张的支气管内气体。与环邻接的圆形软组织密度影代表与扩张支气管伴行的肺动脉的横断面影像。
讨论:印戒征是支气管扩张患者的CT表现。支气管扩张定义为不可逆性支气管异常扩张。扩张的支气管一般在中等大小的支气管最广泛。同时,可以发生支气管肌肉萎缩,支气管壁破坏,支气管周围炎症和纤维化。由于纤毛活动减弱和支气管动力学异常,大量粘液聚集在这些扩张的支气管内。
支气管扩张常由于坏死性病毒性或细菌性支气管炎后支气管壁损伤引起,常发生在婴幼儿期。支气管扩张也可发生在阻塞的支气管远端,当分泌物聚集在阻塞支气管的远端导致它们扩张。进展期肺纤维化或放射性肺损伤也能引起支气管扩张。囊性纤维化;通气压增高,例如正压通气;纤毛功能紊乱,如Kartagener综合症以及各种免疫缺陷都同样与支气管扩张有关。
支气管扩张一般分为三种形态学类型。柱状支气管扩张,最轻的形式,特征是支气管轻度均匀扩张。静脉曲张样支气管扩张是指支气管中度扩张,呈不规则串珠样。囊状扩张是最严重的,支气管显著囊样扩张,伴有数量不等的分泌物池。
支气管扩张的临床表现常为非特异性的。慢性咳嗽,过量痰,反复肺部感染,咯血都可以出现。尽管胸部平片可以显示扩张的支气管,CT可以提高我们发现支气管扩张的能力。事实上,CT已经取代支气管造影,成为评估支气管扩张可能的研究选择。薄层CT对发现支气管扩张的敏感性为87%-97%,特异性为93%-100%。
支气管扩张的胸部平片表现包括扩张的充气支气管,支气管壁增厚,肺实质体积减小,支气管聚集。也能见到由于肺炎或纤维化所致的肺透亮度异常。在薄层CT可见到支气管扩张,缺乏支气管尖端变细,在胸膜1cm内见到支气管,支气管壁增厚和印戒征等。支气管与动脉比率随不同参数而变化,例如CT扫描的海拔高度,因此,仅发现支气管直径大于相邻动脉不足以诊断支气管扩张。
以CT为基础诊断支气管扩张有几个缺陷,包括呼吸运动或心脏搏动所致的运动伪影,与层厚和窗相关的技术因素。因此常需要用薄层CT来诊断支气管扩张。
肿块边缘不同程度棘状或毛刺样突起,仅见于肿块和肺实质交界面。(一般地,周围型肺癌的毛刺为短毛刺,而结核瘤、慢性炎症的长而稀疏毛刺称长毛刺。
毛刺征(放射冠、索条征、模糊征、充血征、毛刺间含气征)
肿块边缘不同程度棘状或毛刺样突起,仅见于肿块和肺实质交界面。
毛刺状边缘由3种因素形成:①病灶周围的小叶间隔水肿;②病灶外围的小血管、小淋巴管、小支气管周围有癌性或炎性浸润;③小血管、小淋巴管、小支气管阻塞或伴阻塞后扩张,这些结构向肿瘤排列形成毛刺。
CT表现为结节或肿块边缘的小棘状突起,呈细线状或密集毛刷状。在肺窗上观察病灶周围边缘短细毛刺呈放射状排列为小肺癌的表现。在部分边缘呈梳齿状向一个方向排列的毛刺多为结核瘤的CT表现。

毛刺征――表现为自结节边缘向周围伸展的、放射状的、无分支的、直而有力的细短线条影,近结节端略粗;同义词有毛刷征,典型者也称放射冠。部分结节可见周围环绕的气肿带,晕轮状,衬托出明显的毛刺样改变。部分毛刺较长,也称长毛刺。
上一篇:磨玻璃结节良恶性影像分析策略