肺平滑肌瘤一例CT影像表现
发布时间:2022-11-28
发布时间:2022-11-28
患者女,39岁,发现双肺结节7月,气短2月 ,为求进一步诊治入院
【现病史】
2015年10月因右上肢摔伤,于264医院查胸部CT示双肺多发结节。无咳嗽、咳痰、气短、咯血等,精神、食欲好,就诊于山西省肿瘤医院,PET/CT示:左侧卵巢囊实性占位,双肺多发结节,并行CT引导下肺穿刺活检免疫组化提示平滑肌源性组织,未行特殊治疗。后转诊于中国医学科学院肿瘤医院,行肺穿刺、全麻下行胸腔镜左肺叶肿物楔形组织病理免疫组化,考虑良性平滑肌增生可能性大,建议出院观察,未予治疗。近2月出现活动后气短,伴咽部异物感,偶有咳嗽、咳痰,痰液为白色粘痰,不易咳出,无发热、盗汗、咯血,无心悸、胸痛,无腹痛、腹胀。今为求进一步诊治收住我科。自此次发病以来精神、食欲、睡眠可,大小便正常,近5月体重增加4kg。
【既往史】
20年前因子宫平滑肌瘤行子宫次全切除术。否认肝炎结核等传染病史,否认外伤史,否认输血史,否认食物、药物过敏史 。
【心电图示】
窦性心律,心电轴不偏,心电图正常范围。
【血气分析示】
PH 7.443,PCO2 28mmHg,PO2 82.2mmHg,SO2 96.8%。肺功能:扩张前中度阻塞性通气功能障碍,吸入支气管扩张剂后,FEV1/FVC 73.22%,FEV1/pred 64.7%,FEV1 增加3.14%,扩张试验(-),弥散功能显著减退(65.1%)。
化验血尿便常规、隐血试验、凝血功能、生化、术前免疫、甲状腺功能、多肿瘤标志物、抗酸杆菌涂片未见明显异常。性激素系列示:睾酮0.01nmol/L,孕酮29.72 nmol/L,促黄体生成素1.61IU/L,血清促卵泡刺激素3.18IU/L,血清泌乳素510.37mIU/L,雌二醇 610.00pmol/L,β-HCG0.09 mIU/ml,未结合雌三醇0.04 ng/ml。腹部彩超:肝、胆、胰、脾、双肾未见明显异常。






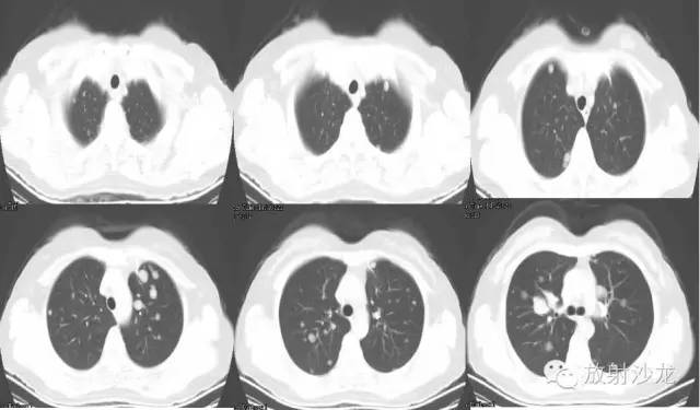
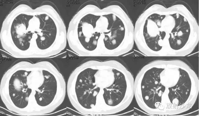
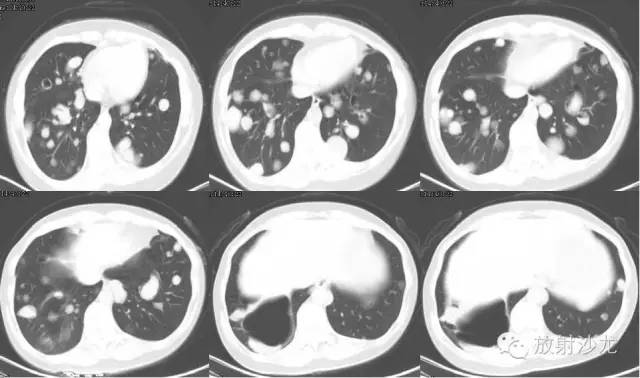
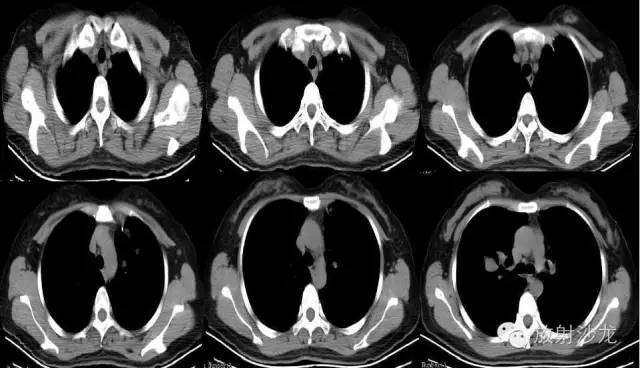
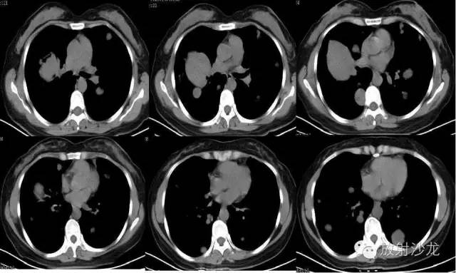
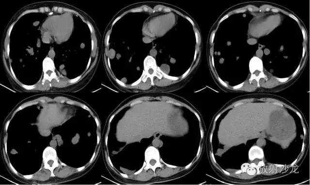
【影像表现】
双侧胸廓对称,纵隔居中。双肺可见散在多发大小不等类圆形软组织密度影,密度欠均,边界较清,最大者约5.32cm*7.88cm*6.75cm,右肺中叶、下叶可见一不规则形透亮影,内无肺纹理,纵隔未见明显肿大淋巴结,胸膜无增厚,右侧胸腔内可见弧形液体密度影。
【诊断结果】
双肺多发结节占位病变
右肺中下叶肺大泡
右侧胸腔积液
PET/CT(2015-10-30 XX肿瘤医院)示:
1.左侧卵巢囊实性占位,囊壁不均匀增厚并FDG摄取增高,符合卵巢癌征象:1)双肺多发MT;右肺下叶部分实变;2)右髂血管区多发FDG轻度摄取淋巴结,MT不除外;3)腹腔无FDG摄取结节影,MT不除外;
2.双侧上颌窦多发囊肿;
3.右侧气胸,双肺多发肺气肿;4.双侧骶髂关节退行性改变。
左肺下叶穿刺病理检查补充报告(2015-10-27 XX肿瘤医院)示:肺组织及横纹肌旁见少许细胞巢,细胞呈梭形、轻度异型,免疫组化结果:AE1/AE3(-),Vimentin(-),Syn(-),CGA(-),CD34(-),S-100(-),SMA( ),Calretinin(-),CK5/6(-),Ki67(个别细胞 )提示平滑肌源性组织,是否为肿瘤请结合临床。
左肺上叶舌段肿物等3个标本病理报告(2015-12-08 北京XX肿瘤医院)示:考虑多中心性良性平滑肌增生(平滑肌瘤性或纤维平滑肌啊瘤性错构瘤)可能性大。
化验血尿便常规、隐血试验、凝血功能、生化、术前免疫、甲状腺功能、多肿瘤标志物、抗酸杆菌涂片未见明显异常。
性激素系列示:睾酮0.01nmol/L,孕酮29.72 nmol/L,促黄体生成素1.61IU/L,血清促卵泡刺激素3.18IU/L,血清泌乳素510.37mIU/L,雌二醇 610.00pmol/L,β-HCG0.09 mIU/ml,未结合雌三醇0.04 ng/ml。
腹部彩超:肝、胆、胰、脾、双肾未见明显异常。
【讨论】
1. 患者中年,既往因子宫平滑肌瘤行子宫次全切除术,双肺多发结节病理示平滑肌源性。肺部平滑肌瘤曾有文献报道:“被命名为良性转移性平滑肌瘤(BML)”。
2. BML多发生于患子宫平滑肌瘤的妇女,合并远离子宫部位的转移,以肺多见,一般于子宫平滑肌瘤手术后或治疗后数年,在肺、腹腔等处出现多发性结节。 “BML发展过程缓慢,某些病例中疾病进展可持续数十年,肿瘤本身并不致命,但病变等的持续进展可能导致呼吸衰竭,危及生命。
3. 手术联合激素治疗是较理想等选择,切除卵巢或药物去势等激素治疗能够抑制甚至扭转BML的发展。目前,据此前病理结果,考虑该病可能性大,但对该病的治疗文献报道极少,多数报道行手术治疗,但仍有报道运用抗雌激素治疗的报道,向患者及家属沟通,表示考虑。同时完善风湿筛查、血管炎筛查、抗ENA多肽谱排查有无风湿结缔组织疾病,据病情变化调整治疗方案。
最后结合病史,考虑肺部结节发展引起气道阻塞性病变,目前考虑肺部平滑肌瘤的可能性大,有文献报道“该疾病表达雌激素和孕激素受体,控制雌激素水平是关键,不能手术的患者,通过控制雌激素水平可有效控制肿瘤生长,获得较好预后。”家属及患者表示愿意试验性抗雌激素治疗,3月后观察病情变化。
下一篇:【PPT】肺的分叶分段