“爆米花样钙化征” 的影像表现与临床意义
发布时间:2022-10-23
发布时间:2022-10-23
【名词】
爆米花样钙化征
英文:popcorn calcification。
又名:爆玉米花状钙化灶。
【影像表现】
一、X线表现
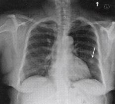
顾名思义,爆米花样钙化征指病灶内钙化呈爆米花样改变,常见于错构瘤,是错构瘤的 特征性改变。错构瘤的胸部X线表现多样:①肺野内边缘清楚的圆形、卵团形孤立结节阴 影,直径大多<3cm;②部分病变有浅分叶状、切迹,多数密度均匀。少数病变内有斑点状 钙化影,典型者呈“爆米花”样钙化。见图1。

图1爆米花样钙化征:左中下肺野可见边缘规则的球形病灶,其内可见钙化灶
二、CT表现
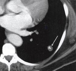
爆米花样钙化征在CT影像中为不规则爆米花样改变的钙化灶,是错构瘤的特征性改 变。错构瘤的其他CT表现为:①肺内球形肿块,可分叶,直径多<4cm,但也可达10cm; ②肿块呈软组织密度,多较均匀;③可有钙化,呈爆米花状、点状、线状或环状;④肿块内 可有脂肪低密度影,CT值<-40HU,此为CT上错构瘤的重要诊断标准;⑤病变多邻近胸 膜或叶间胸膜。见图2。

图2爆米花样钙化征:左下肺边缘规则球形病灶,其内可见爆米花样钙化灶
【病理机制】
肺错构瘤是肺内最常见的良性肿瘤,占所有肺结节的6%。过去认为它是一种先天性的 病变,近来多数学者认为它是一种真正的肿瘤,因为错构瘤多数发生在中老年人,且生长缓 慢。光镜下病变成分主要为软骨、平滑肌组织、支气管腺体及纤维结缔组织,其分布不均导 致影像学上爆米花样钙化表现。
【临床意义】
X线表现为肺部孤立性球形阴影,边缘光滑,其内可见到爆米花样钙化,常见于肺错构 瘤,多为良性。
【鉴别诊断】
(1)周围型肺癌肺癌病灶多有短毛刺,轮廓可呈分叶样分布,肿块内可见“空泡征” 或“支气管充气征”,边缘可见“胸膜凹陷征”,并很少发生钙化。病理活检可鉴别。
(2)结核瘤病变多位于上叶尖后段与下叶背段,边缘清楚,无分叶或有包膜,内可有 钙化,呈斑片状或不规则状钙化,周围肺野有卫星病灶,增强无强化或周边包膜钙化。病理 检查为干酪样坏死性肉芽肿。
下一篇:纵隔气肿的影像学表现