发布时间:2022-10-22
上一篇:乳腺BI-RADS分级
下一篇:高分化胎儿型肺腺瘤1例CT
猜你喜欢
【PPT】多小脑回畸形的影像表现
HCC影像诊断思路
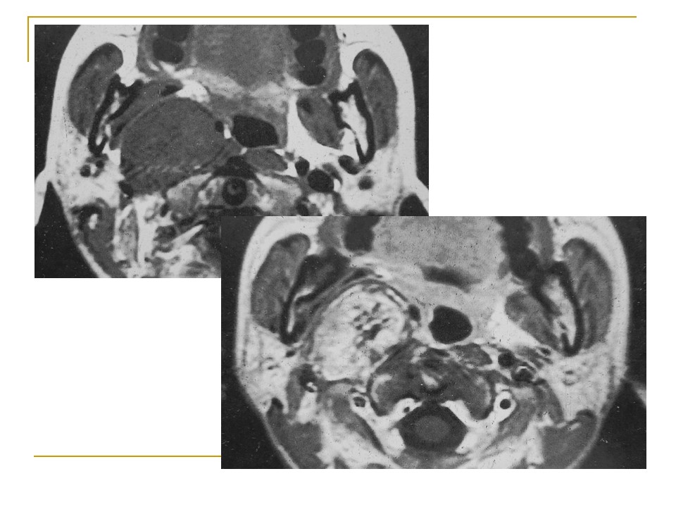
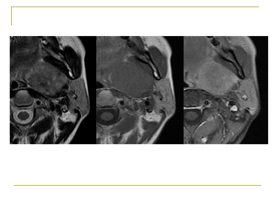
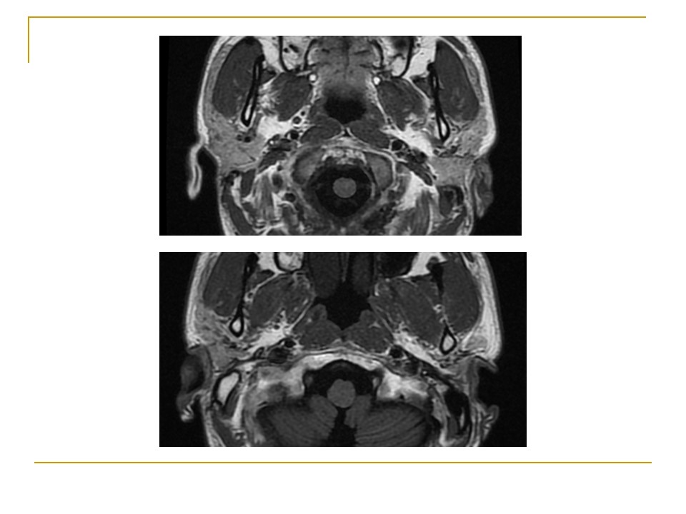
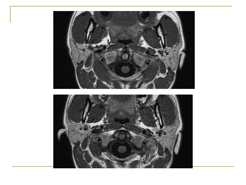
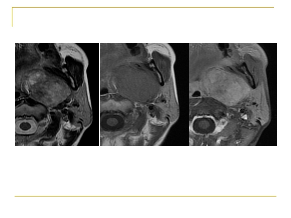
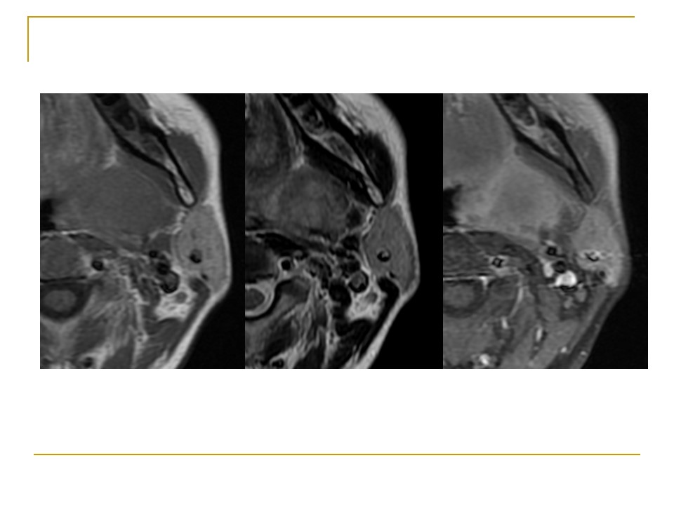
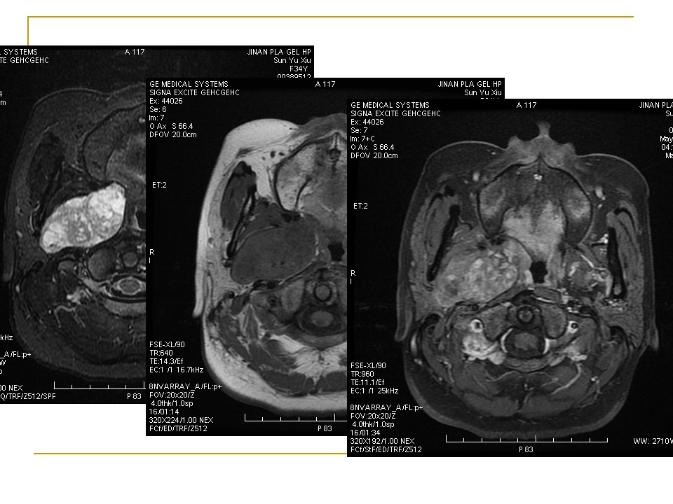
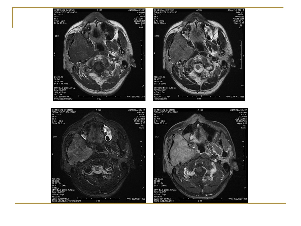
【PPT】鼻腔鼻窦肿瘤与肿瘤样病变的影像学诊断
术后脊柱-为了外科医生和患者安全着想的金属图
局灶性机化性肺炎与周围型肺癌的鉴别
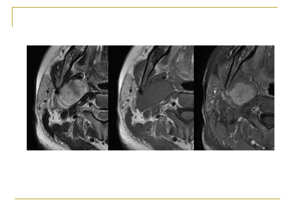
半月板损伤术前及修补术后MR影像学评价