乳腺9大基本病变,必须掌握的基础
发布时间:2022-10-22
发布时间:2022-10-22

乳腺良性肿块X线图像
右乳CC位片示肿块圆形,边缘光滑、清晰,见透亮线环绕(白箭)

乳腺恶性肿块X线图像
a. 左乳CC位和b. MLO位片示肿块边缘分叶状,见数个长毛刺,周围血管增粗(白箭)

乳腺恶性肿块X线图像
左乳MLO位片示,肿块边缘分叶状,见长短不一毛刺,局部皮肤凹陷(白箭)

乳腺恶性肿块X线图像
左乳MLO位片示,肿块分叶状边缘,周围见透明晕(白箭)
MRl对肿块的分析与X线片有相似之处。平扫检查,病灶形态不规则,呈星芒状或蟹足样,边缘不清晰或呈毛刺样为恶性病变;反之,形态规则,边缘清晰则提示为良性。但少数病变和小的病变可表现不典型。平扫T1WI上肿块多呈中低信号;T2WI上肿块信号各异;纤维成分含量多的肿块呈中信号低,细胞及含水量多的肿块呈高信号。一般良性病变内部信号强度多较均匀;恶性病变内部可有液化、坏死、囊变或纤维化,甚至出血,可表现为高中低混杂信号。
动态增强检查恶性病变强化不均匀或呈边缘强化,强化方式亦多由边缘环状强化向中心渗透,呈向心样强化;而良性病变的强化多均匀一致或呈弥漫性斑片样强化,部分病变的强化方式由中心向外围扩散,而呈离心样强化。动态增强血流动力学表现:通常乳腺恶性病变增强后信号强度趋向快速明显增高且快速下降;而良性病变则表现为延缓的均匀强化或渐进性强化,病变的信号强度在增强晚期仍具有上升趋势。

乳腺癌的MRI增强图像
左乳MRI矢状位,呈边缘环状强化向中心渗透,呈向心样强化(白箭)

乳腺良性钙化X线图像
右乳CC位片示腺体内见散在颗粒状、小环形钙化(白箭)

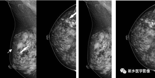
乳腺恶性钙化X线图像
A和b. 右乳MLO位和CC位片示外上象限见密集细小砂粒状,呈簇状钙化(白箭)

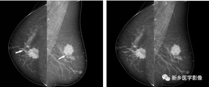
乳腺局限性不对称致密(乳腺癌)X线图像
a和b. 右侧和左侧双乳MLO位片示右乳外上象限见片状不对称致密影,伴小砂粒状,呈簇状钙化(白箭)
乳腺疾病最后诊断可根据美国放射学会提的BI-RADS作出评估与分类:包括BI-RADS不完全的评估:分类0;完全的评估:分类1~6类。0类:需要其他的影像评价和/(或)先前的乳腺影像片做比较;1类:阴性,建议进行常规随访;2类:良性发现;3类:可能良性的发现,建议初期的短期随访;4类:怀疑异常,应考虑活检; 5类:高度怀疑恶性,应采用合适的治疗; 6类:活检证实为恶性病变,应采取合适的治疗。