【病例】前纵隔孤立性纤维瘤1例

发布时间:2022-10-22

【病例】前纵隔孤立性纤维瘤1例

【病例】前纵隔孤立性纤维瘤1例
【病例】前纵隔孤立性纤维瘤1例【病例】前纵隔孤立性纤维瘤1例【病例】前纵隔孤立性纤维瘤1例

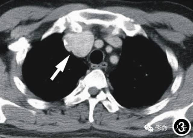
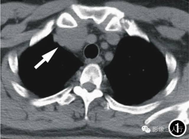
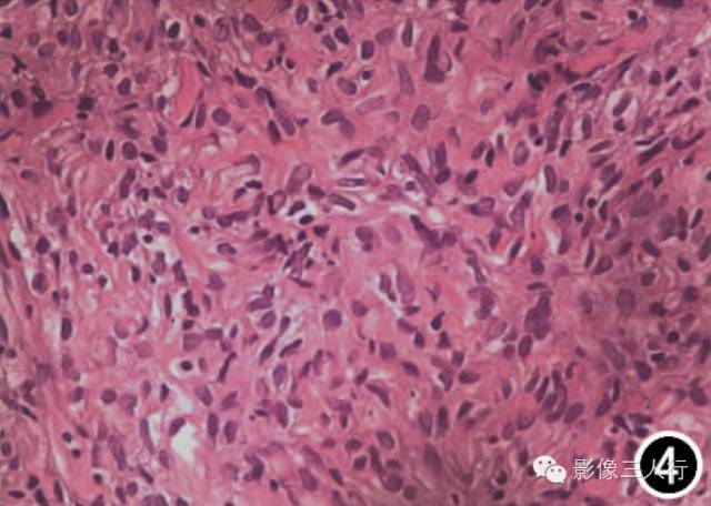
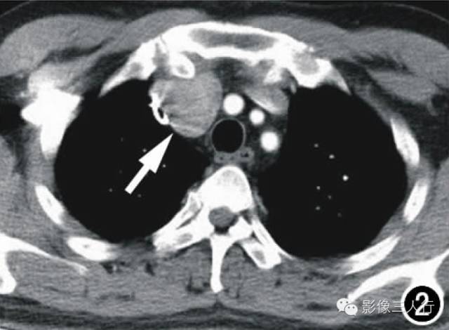
图1横轴面CT平扫示前上纵隔偏右侧一团块影(箭),大小约3.5cmX3.2cm,边界尚清,密度均匀,CT值约44HU,局部血管受压推移。图2横轴面CT增强扫描动脉期示肿块显著均匀强化(箭),CT值为95HU。图3横轴面CT增强扫描延迟期示肿块持续强化(箭),CT值为158HU。图4镜下示细胞排列呈编织状、旋涡状,疏密不均,细胞呈梭形、短圆形,胞核红染,部分细胞出现不典型增生(X400,HE)。

【病例】前纵隔孤立性纤维瘤1例

精彩图片

热门精选