【病例】肺吸虫病1例X线及CT影像表现
发布时间:2022-10-22
发布时间:2022-10-22
【临床资料】
男,59岁,主诉咳嗽和痰中带血
【影像图像】






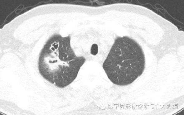
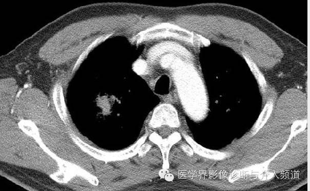
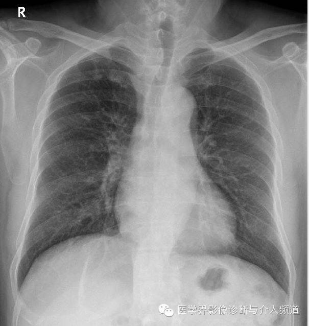
治疗前

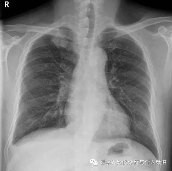
治疗后

【影像表现】
CT显示右肺上叶实性团块病灶内不规则空洞形成,周围可见GGO,右侧胸腔少量积液。患者外周血嗜酸性粒细胞增多和Pw抗体阳性。治疗后X线平片显示右上肺结节影缩小。治疗前X线片显示病灶位于右肺上野,右侧肋膈角变钝。此外,X线平片示主支气管节段性偏心性狭窄,这是由于胸内甲状腺肿外在压迫所造成。
———-♀【病例讲堂】分割线♀———
小编留言:这些患者是别人的,但这些症状你工作中也可能会遇到,学习才是前进的唯一路径,有思考才有进步哦!
【最终诊断】
肺血吸虫病
【鉴别诊断】
本病无特异性X线所见,与肺结核鉴别有时较困难,应结合临床,病人有食未熟螃蟹、蛤蜊史,肺吸虫皮内试验与补体结合试验阳性,痰内查到肺吸虫卵即可确诊。
【讨论】
病因病理
肺吸虫病是由于肺吸虫幼虫在肺内游动、成长和产卵形成的疾病。流行于亚洲东南部。我国见于浙江、台湾、长春及延边等地区。
临床表现
多有咳嗽、胸痛、咯血或咯果酱样痰。痰中可查到肺吸虫卵。
影像学表现
1.出血破坏期表现为中下肺野片状、圆形或椭圆形浸润阴影,密度较淡,边缘模糊,约1~3 cm大小。
2.囊肿期表现为肺门周围和下肺野浸润阴影内单房或多房性透明区,其周围可见索条状阴影伸向肺野,此为肺吸虫的较特征性麦现.
3.囊肿后期,肺野内散在分布的圆形或椭圆形结节阴影,境界注楚。结节中心部可见透明区,也可聚集成片或团块状。
4.病变愈合期见病灶缩小,呈大小不等的结节影,密度高,边缘清楚。部分可呈点状、环状或小片状钙化。
5.常有两肺门阴影增大、肺纹理增多紊乱。常有少量胸水与胸膜肥厚粘连。平片、体层摄影与CT为常用的X线检查方法。
下一篇:【病例】矽肺1例CT影像表现