【病例】肺曲菌病1例CT影像表现

发布时间:2022-10-22

病史

女,80岁,发热咳嗽。

【病例】肺曲菌病1例CT影像表现

【病例】肺曲菌病1例CT影像表现

【病例】肺曲菌病1例CT影像表现

【病例】肺曲菌病1例CT影像表现

【病例】肺曲菌病1例CT影像表现

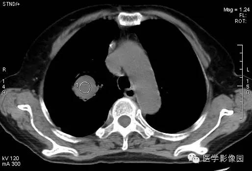
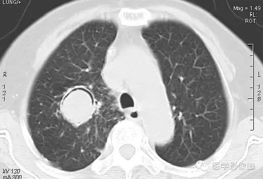
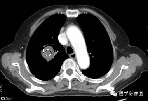
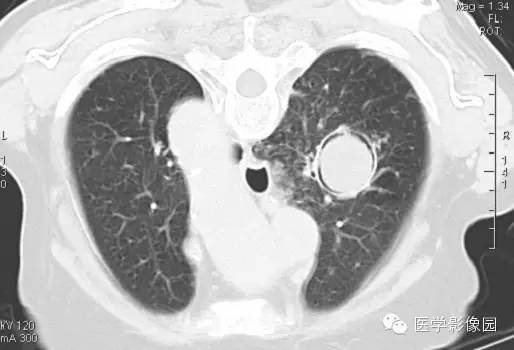
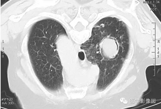
CT表现
右肺内见一圆形空洞病灶,内有圆形曲菌球,边缘光滑,可随体位改变而变动,曲菌球与洞壁之间可见“新月征”。

小结
曲菌病是肺真菌感染中的一种,可分局限性曲霉菌病和侵入性曲霉菌病二种;曲菌球最常寄生于肺结核净化空洞、支气管囊肿或囊状支气管扩张内。由菌丝、纤维、黏液和细胞残渣在腔内结合一体形成曲菌球。

侵入性曲霉菌病与长期应用激素、抗菌素和免疫抑制剂等有关。

影像表现为肺内空洞病灶内有圆形软组织密度影,改变体位后曲菌球位置可变动,曲菌球与洞壁见出现一新月形间隙,称为“新月征”。

鉴别诊断
慢性肺脓肿,有急性肺脓肿病史,常单发,洞壁较厚,可有气液平面,常伴脓胸或胸膜增厚。

精彩图片

热门精选