【病例】肺隔离症1例CT影像表现
发布时间:2022-10-22
发布时间:2022-10-22
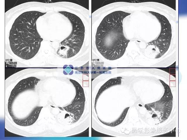
女性,36岁。反复发热、咳嗽、咳痰一年。




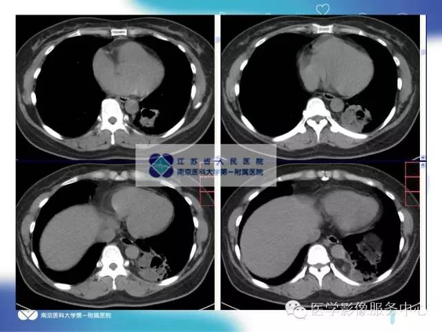
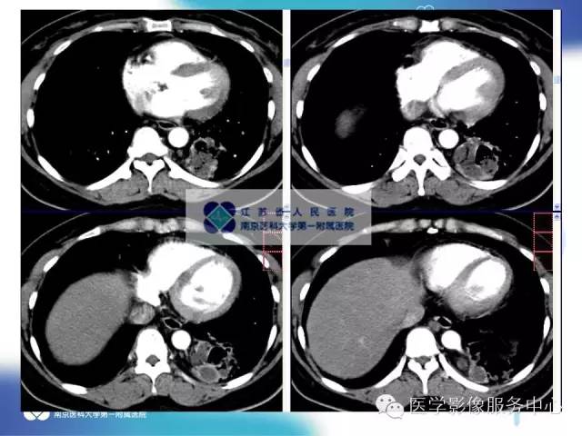
影像分析:
本病例较典型,结合图像后处理技术( MPR、MIP、VR)可以确诊!

肺隔离症是一种少见的先天性肺发育畸形,多见于儿童或青少年,主要特点为肺内存在一部分无功能的肺组织,其与正常肺组织分隔,单独发育并由体循环的异常动脉供血。分为肺叶内型和肺叶外型,以肺叶内型多见,最常发生于左肺下叶后基底段,以反复发作性咳嗽、咳痰(咳黄痰、脓痰甚至痰中带血)、发热、咯血及反复肺部感染等为主要临床表现。
X线:肺叶内型表现为圆形、卵圆形团块影或下野不规则渗出性斑片影,肺叶外型表现为三角形分叶状影。病变多位于左肺下野,边界清楚、密度均匀增高,合并感染后与支气管相通,可形成单发或多发含气囊肿,甚至出现气液平面,密度不均匀,边界模糊。
CT:主要表现为三种类型:含有气体和液体的囊肿或软组织肿块;围绕囊肿或肿块周围的肺气肿改变;局限性肺多血管征。病变周围肺组织还可伴有支气管扩张,肺组织实变等。增强扫描病变实质可见轻度或明显不规则强化,囊性病灶可见环形强化,结合图像后处理技术( MPR、MIP、VR)多可见异常供血动脉及引流静脉,在一定程度上可以取代动脉造影。隔离肺组织供血动脉多为胸主动脉和腹主动脉,少数为隔下动脉、肋间动脉、脾动脉等。引流静脉多为肺静脉。
MR:病变呈囊性或实质性改变,囊内可见分隔,边界清晰,光滑,T1加权像呈中等或高信号,中等信号时与肌肉相仿,T2加权像则呈高信号,信号常不均匀。由于MRI的血管流空效应和多平面的成像能力,能清楚显示出异常供血动脉及引流静脉,冠状面成像能清楚显示病灶与纵隔、横隔的关系。
1、支气管囊肿:多为囊性密度影,CT值10-20HU,合并感染、出血等时,CT 值可增高至30-100HU以上。增强扫描多无强化是本病的特征。
2、肺脓肿:患者常有典型高热后多量脓臭痰病史,经抗感染治疗后症状好转,影像学检查病灶范围减小。
3、支气管扩张:可合并肺隔离症,但支气管扩张无异常供血动脉。多不贴近隔肌。
4、肺癌:一般病程短,症状进行性加重,CT检查呈大小不等的结节状或块状阴影,边缘常有毛刺或分叶,同时伴有肺门淋巴结肿大。有空洞者为偏心空洞,壁厚不规则。
5、肺结核:好发于肺尖及下叶背段,周围肺组织可见牵拉的条索影。