肺囊性病变的鉴别诊断
发布时间:2022-10-22
发布时间:2022-10-22
肺囊性病变的鉴别诊断
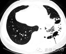
| 支气管扩张
(图1) |
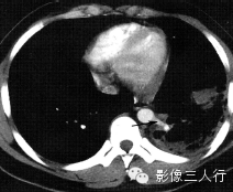
肺隔离症
(图2) |
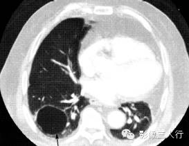
先天性肺囊肿(图3) | 棘球蚴病
(图4) |
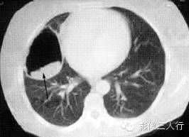
肺脓肿
(图5) |
|
| 临床特点 | 少数先天性,病史较长,半数有咯血病史 | 年龄轻、多无症状或肺炎反复发作史 | 30岁以下多见,可合并感染 | 牧区常见,有家畜接触史,补体试验阳性 | 高热、寒战、咳嗽、胸痛、咳大量脓痰 |
| 好发部位 | 两肺中下野 | 左肺下叶后段 | 肺野中外带 | 右肺下野 | 两肺下叶 |
| 病灶形态 | 囊状、柱状、或混合型,常多发,呈蜂窝状 | 囊性、实性或囊实性,常多发,形态多样 | 薄壁囊状,合并感染时囊壁变厚,单发或多发 | 单发囊性多见,囊壁可钙化,囊壁破裂有“水上浮莲”典型表现 | 类圆形,洞壁厚、模糊,内壁较光滑 |
| 液平面 | 可有 | 可有 | 多见 | 可有 | 多见 |
| 病灶边缘 | 较光滑 | 光滑 | 光滑 | 清楚 | 多模糊 |
| 病变周围 | 与血管伴行,周围常见斑片影 | 可有斑片影、索条影或合并肺气肿 | 反复感染后周围可见慢性炎症 | 对气管血管束压迫征象 | 周围多伴有模糊片影 |
| 增强 | 一般无需增强 | 可见来自体循环的供血动脉 | 无强化 | 无强化 | 脓肿壁强化 |


(A)平扫

(B)增强



下一篇:【病例】肺孢子菌肺炎影像表现1例