【病例】右位主动脉弓并迷走左锁骨下动脉1例
发布时间:2022-10-22
发布时间:2022-10-22
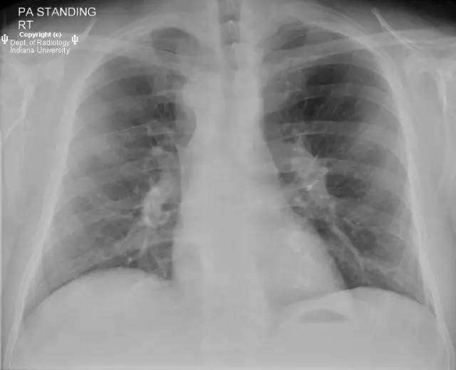
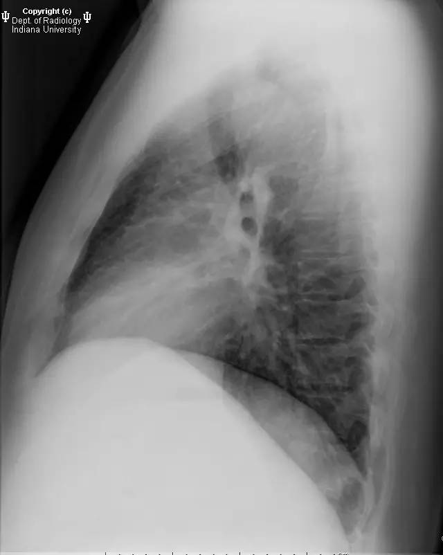
【病史】男性,胸痛。

问题1.最明显的异常位于?
A.纵膈软组织
B.气道
C.左肺基底部
D.右肺基底部
E.胸壁

2.气管旁异常可能为?
A.血管,先天性
B.食管起源
C.肺,先天性
D.肿瘤,转移性
E.淋巴增生性,原发性









请判断正误
3.左锁骨下动脉走形于食管后。
A.正确
B.错误
4.左颈总动脉走形于气管前。
A.正确
B.错误
5.可见Kommerell憩室。
A.正确
B.错误
6.可见血管环。
A.正确
B.错误
【答案】1.A 2.A 3.A 4.A 5.A 6.A
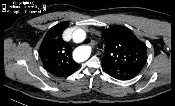
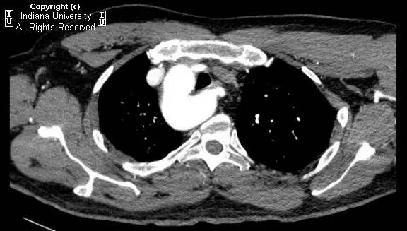
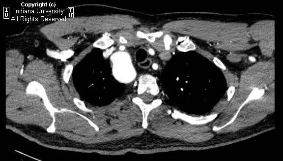
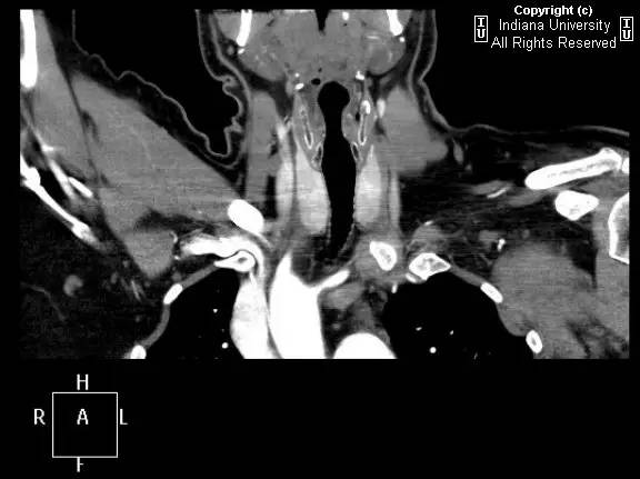
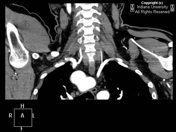
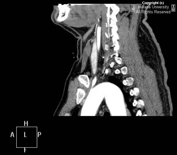
【影像学表现】胸部平片示右位主动脉弓,肺动脉突出,双肺清晰。CT示右位主动脉弓,并右位降主动脉,迷走左锁骨下动脉起自后方,从食管后走形形成血管环。迷走左锁骨下动脉与憩室相关(Kommerell)。食管因左锁骨下动脉及憩室而向前移位。
【诊断】右位主动脉弓并血管环形成、迷走左锁骨下动脉并Kommerell憩室
Right-sided aorticarch, with vascular ring and aberrant left subclavian with Kommerell\’sdiverticulum
【关键点】
影像学表现包括: