【病例】气道侵袭性肺曲霉菌病1例CT影像表现
发布时间:2022-10-22
发布时间:2022-10-22
【临床资料】
男,31岁
呼吸困难和咳嗽。体重6个月减轻30公斤。
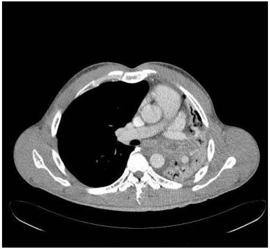
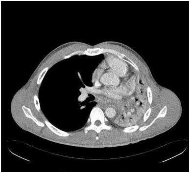
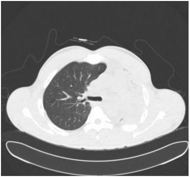
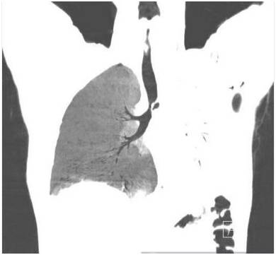
【影像图像】








【影像表现】
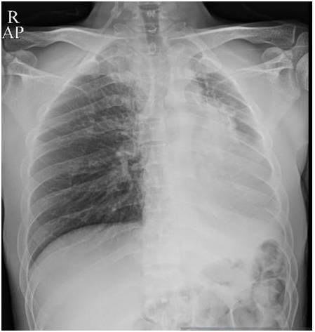
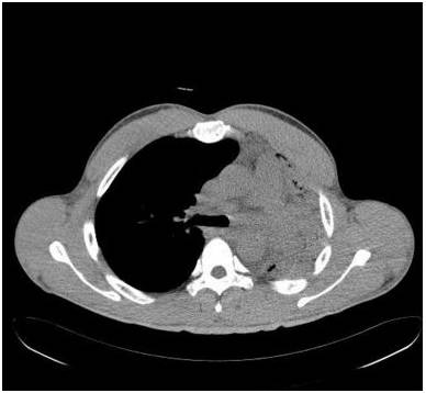
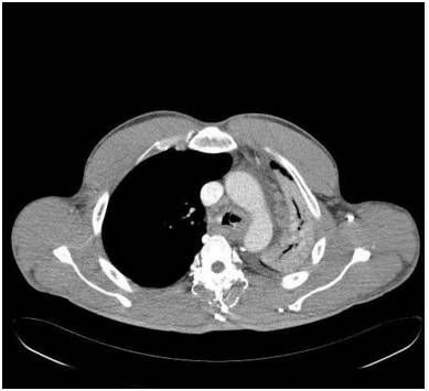
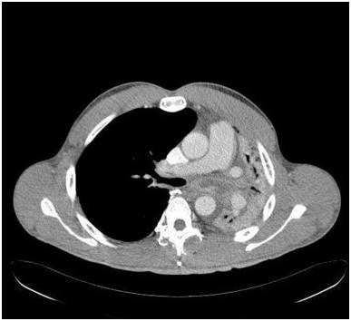
胸部前后位示弥漫不均匀的异常密度影,左肺体积缩小,左肺门区肿块样影与心膈角呈钝角。未增强纵隔窗CT示左肺肺不张,左主支气管完全受阻。增强CT示左主支气管及其段支气管内非强化的肿块。最小密度投影示左肺叶远端支气管重度狭窄,左主支气管及以下层面受阻。
【病理表现】


———-♀【病例讲堂】分割线♀———
小编留言:这些患者是别人的,但这些症状你工作中也可能会遇到,学习才是前进的唯一路径,有思考才有进步哦!
【最终诊断】
气道侵袭性肺曲霉菌病
【讨论】
概念
气道侵袭性曲霉病(invasive airway aspergillosis)是肺侵袭性曲霉病(invasive pulmonary aspergillosis,IPA)的一种亚型,目前没有明确的定义,多数文献描述为曲霉感染局限于气管、支气管,或以气管、支气管感染为主,曲霉侵袭气道壁,甚至穿过气道壁波及周围肺实质及肺动脉。与肺实质及全身播散性曲霉病相比,气道侵袭性曲霉病的文献不多。随着接受支气管镜检查人群的增多,气道侵袭性曲霉病逐渐被认识,并引起临床医生的重视。
临床症状及体征
气道侵袭性曲霉病的临床症状无特异性,可呈慢性或急性表现。有学者认为最常见的症状是发热、干咳、呼吸困难、气短、呼气喘鸣、咯血、咳痰及胸痛。多数患者表现为进行性加重的呼吸困难和咯血。
咯血常因曲霉侵袭气管、支气管壁周围血管所致,常可致命,尤其多见于肺移植及艾滋病患者;有时患者会咳出支气管铸型的痰栓,痰栓中可见曲霉菌丝及孢子;部分肺移植及艾滋病患者可无任何临床表现,在例行支气管镜检查时发现气道曲霉感染。
气道侵袭性曲霉病的体征亦无特异性,对诊断帮助不大,最常见的是肺部l罗音,尤其是呼气哮鸣音,有时是提示诊断的惟一线索mJ。当含有曲霉菌丝的痰栓堵塞支气管时,会出现肺叶不张。
影像学表现
侵袭性肺曲菌病的CT特征主要取决于患者的免疫状况及其与曲霉菌的相互作用。近年来研究最多、最具有诊断价值的CT特征是晕轮征和新月征,而对曲霉菌沿气道侵袭性病变的研究一直未受到重视,相关文献报道也较少。气道侵袭性曲霉病从临床病理特征可以分为曲霉菌支气管炎、支气管肺炎,CT表现差异较大。
1995年Denning首先提出曲霉菌气管一支气管炎,并将其分为3种类型,即阻塞型、假膜型和溃疡型。目前国际上仍然采用上述分类方法。胸部影像学可表现为急性气管一支气管炎、细支气管炎、支气管肺炎,早期仅表现为双肺纹理增重,病情进展后可出现双肺多发渗出、空洞、结节影,胸部影像学随着病情进展可迅速发生变化。
只有极少数曲霉菌支气管炎在CT上有特征性改变,主要是以小气道的病理改变为主的细支气管炎,包括沿细支气管渗出阴影、分散的小结节影、粟粒影、树芽征(细小支气管分枝所形成的节段状不透光影)、网状磨玻璃样改变等。
还有一部分病例可表现为阻塞性支气管肺曲霉病,曲霉在气道管腔内呈团块状生长,导致支气管阻塞、扩张,病情进展迅速,随着病程发展可见肺实质内结节和空洞形成。
临床上发现,侵袭性肺曲菌病还可以表现为急性肺间质炎症,主要病理改变是炎性渗出、增殖,晚期可发生纤维性硬化。如曲霉菌同时沿肺血管和气道侵袭,上述两种病变共存,病情常复杂严重。
除少数典型者外,CT在曲霉菌支气管炎的诊断价值较差,经常需联合支气管镜检查并活检以进一步确诊。同时病变的预后主要依赖于基础疾病、机体免疫状况和诊断时机等因素,不完全取决于胸部CT的严重程度。
总结
气道侵袭性曲霉病是一种少见的侵袭性曲霉病.其危险因素与IPA相似,临床表现和胸部影像学改变无特异性,故易漏诊或延迟诊断。内镜下表现有一定特征性,黏膜活检发现曲霉侵袭气道壁为确诊的依据。该病的全身治疗同IPA,气道内治疗对改善气道阻塞及呼吸困难十分重要。总体而言,该病预后不佳,宿主因素是决定预后的重要因素。