心脏冠状动脉CT解剖中文详细标注
发布时间:2022-10-22
发布时间:2022-10-22
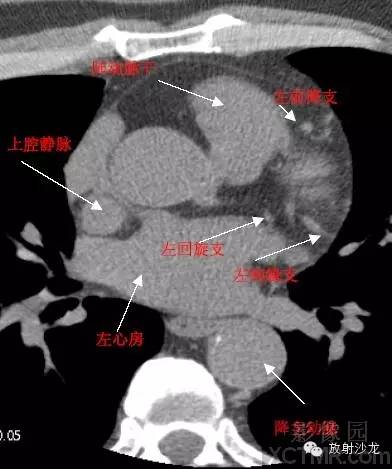
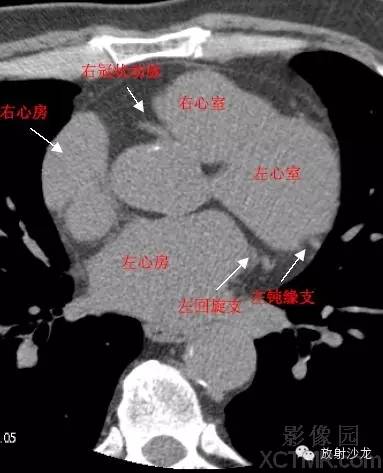
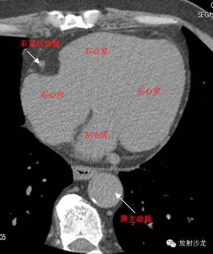
LA -Left Atrium左心房
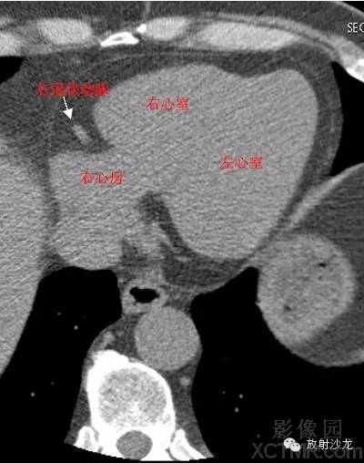
RA -Right Atrium右心房
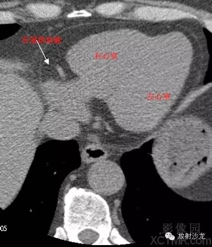
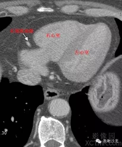
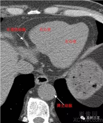
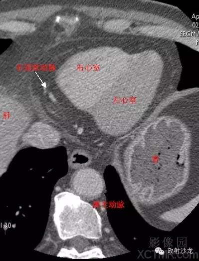
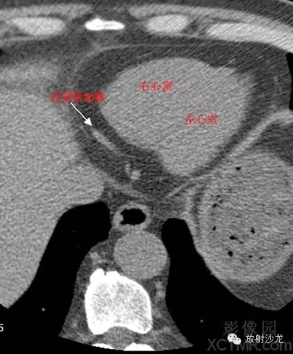
LV -Left Ventricle左心室
RV -Right Ventricle右心室
MitralValve二尖瓣
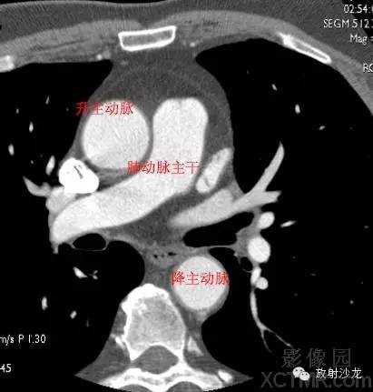
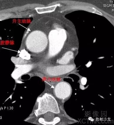
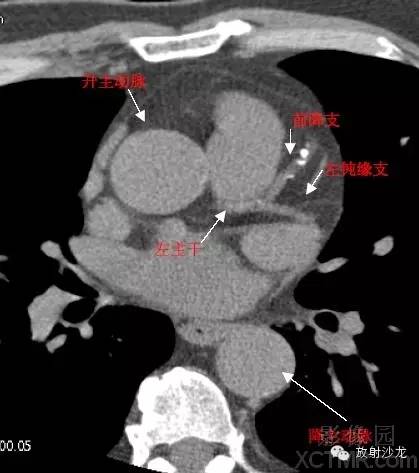
A.Aorta-Ascending Aorta升主动脉
D. Aorta-Descending Aorta降主动脉
SVC –Superior Vena Cava上腔静脉
IVC –Inferior Vena Cava下腔静脉
PA -Pulmonary Artery肺动脉
PV -Pulmonary Vein肺静脉
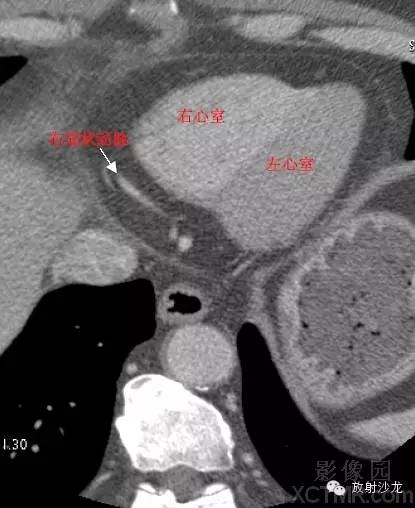
LMA -Left Main Artery冠状动脉左主干
LAD -Left Anterior Descending Artery左前降支
LCX -Left Circumflex Artery左回旋支
LMB -Left Obtuse Marginal Branch 左边缘支(钝缘支)
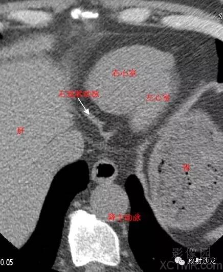
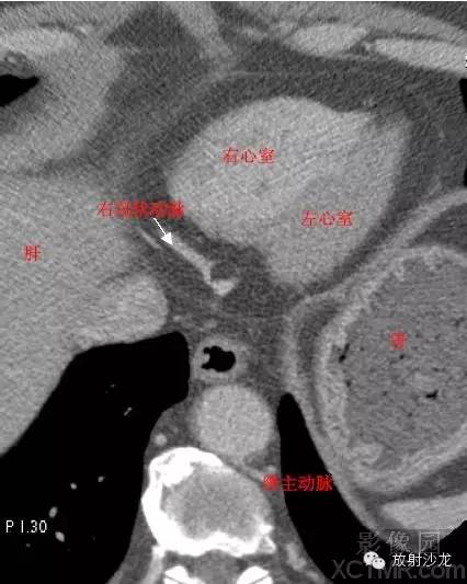
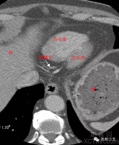
RCA -Right Coronary Artery 右冠状动脉
PDA -Posterior Descending Artery后降支
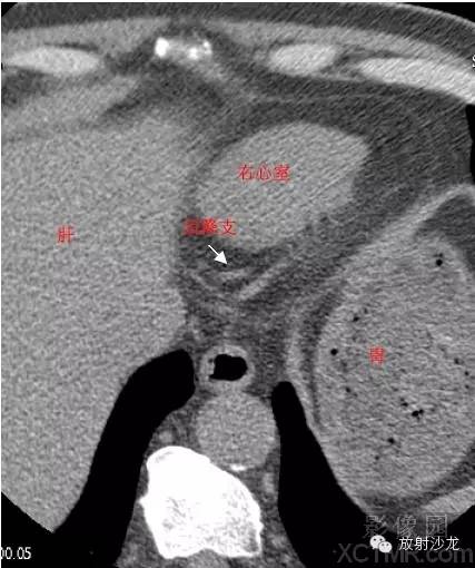
ConusBranch右动脉圆锥支
LAA –Left AtrialAppendage左心耳
RAA –Right AtrialAppendage右心耳
CS -Coronary Sinus冠状窦
MCV –Middle Cardiac Vein心中静脉
GCV–Great Cardiac Vein心大静脉
PIVV –Posterior IntraventricularVein后室间静脉(心中静脉)
PLVV –Posterior Left Ventricular Vein 左室后静脉
PLV –Posterior Lateral Vein左室后侧静脉(边缘静脉)





















































