【病例】肺隐球菌病1例CT影像表现
发布时间:2022-10-22
发布时间:2022-10-22
女性,31岁,患者受凉后出现咳嗽,少量黄痰,伴咽喉痛,早晨起床症状明显,咳嗽时伴后背不适,自服头孢类抗生素,症状有所缓解,渐出现胸闷,无体力活动受限,至我院急诊就诊。


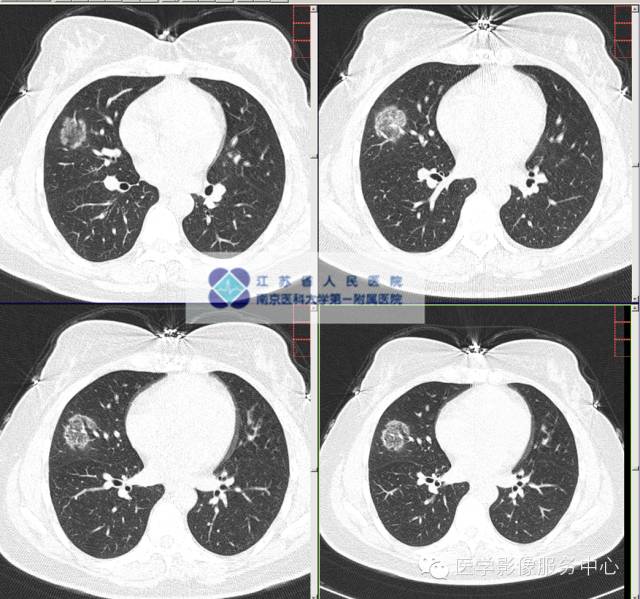
影像分析:右中肺团片状磨玻璃影,境界清晰:纤维组织增生?原位肿瘤?其他?


影像分析:右中肺多发病灶,较大病灶较2015-03-21片变实,感染?COP?建议穿刺活检明确病灶性质。

影像分析:右肺中叶多发病灶,较大病灶较2015-03-27片增大、变实,考虑为CA?感染?COP?建议穿刺活检明确病灶性质。

肺隐球菌病(pulmonary cryptococcosis,PC)是一种侵袭性肺部真菌疾病,主要由新生隐球菌或格特隐球菌引起。PC的临床症状多样,影像改变形态各异,主要表现为结节肿块型、浸润实变型、弥漫性粟粒型及弥漫混合病变型,其中以结节肿块型最为多见,可达57%~82%。以男性群体多见,常发于中青年群体。病灶分布以双下肺外带及胸膜下为主。
结节和肿块性病灶均伴随多种CT征象:
1、晕征、近端支气管充气征对PC的诊断具有特征。
“晕征”表现为病灶周围环绕磨玻璃样密度增高影,为周围炎性渗出所致。
“细支气管充气征” 指在病变的肺组织内仍见透亮的细支气管影,可见于恶性肿瘤或炎症等。CT表现为病变的肺叶中可见扩张、扭曲变形或截断的细支气管,分支稀少。
2、部分病灶可出现分叶征、毛刺征、胸膜凹陷征、血管集束征或厚壁不规则空洞等类肺癌征象,易与周围型肺癌相混淆,但上述征象的发生率均较低。
3、在空泡或空洞:多数空洞壁薄,内见分隔带,部分空洞内见附壁结节,典型者呈“空气新月征”,提示真菌感染。
4、极少数病例伴少量胸腔积液。
5、增强后较多呈中等程度强化(CT净增值20~57 HU)和均匀强化,部分可出现液化坏死区。
1、周围型肺癌:表现为结节或肿块病灶随机分布,分叶征、毛刺征、血管集束征、空泡征、胸膜凹陷征等发生率高,且多数分叶较深,部分可见支气管截断、血管包埋征象,晚期可有肺门纵隔淋巴结明显肿大、胸腔积液;空洞型周围型肺癌表现为厚壁不规则空洞,伴有壁结节,亦与肺隐球菌病不同。
2、肺转移瘤:多数呈类圆形,大小较一致,或差别不大,边缘光滑,无明显晕征,分布以双下肺为著,常有原发恶性肿瘤证据,可资鉴别。
3、结核性肉芽肿:好发于上叶尖后段及下叶背段,常见钙化及周围卫星灶,通常无强化、轻度强化或环形强化,胸腔积液较常见,与本病较易鉴别。
4、肺炎性假瘤:病灶边缘“桃尖征”和“平直征”为其特征性CT表现,由于肺炎性假瘤有较丰富肉芽组织,强化一般较显著,增强扫描后大部分病灶CT值在90 HU以上,小部分在120 HU以上。