【病例】支气管异物1例CT影像表现

发布时间:2022-10-22

临床资料

患儿男,8个月,呛咳,发热一周。实验室检查白细胞及中性粒细胞增高。

【病例】支气管异物1例CT影像表现

【病例】支气管异物1例CT影像表现

【病例】支气管异物1例CT影像表现

【病例】支气管异物1例CT影像表现

【病例】支气管异物1例CT影像表现

【病例】支气管异物1例CT影像表现

【病例】支气管异物1例CT影像表现

【病例】支气管异物1例CT影像表现

【病例】支气管异物1例CT影像表现

【病例】支气管异物1例CT影像表现

【病例】支气管异物1例CT影像表现

【病例】支气管异物1例CT影像表现

【病例】支气管异物1例CT影像表现

【病例】支气管异物1例CT影像表现

【病例】支气管异物1例CT影像表现

【病例】支气管异物1例CT影像表现

【病例】支气管异物1例CT影像表现

【病例】支气管异物1例CT影像表现

【病例】支气管异物1例CT影像表现

【病例】支气管异物1例CT影像表现

【病例】支气管异物1例CT影像表现

【病例】支气管异物1例CT影像表现

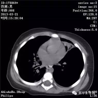
影像学表现

两肺肺纹理增多、增粗,右肺可见斑片状、片絮状模糊影,边界欠清;左肺上叶见楔形高密度影,内可见支气管征,尖端指向肺门;左肺下叶肺野透亮度增强;另见左肺主支气管内可见块状软组织密度影。

结果

支气管异物(花生米)伴两肺炎症(追问病史,患儿奶奶层于一周前喂食患儿花生米,当时疑似“呛进去”,后来见好了也就没留意)。

讨论

气管、支气管异物为儿科常见急危疾病之一,多见于5岁以下儿童,因为

小儿的咀嚼功能及喉反射功能不健全,较硬食物未经嚼啐而咽下,容易误吸;

喜欢将小玩具或食物含在口中,在突然惊吓、哭闹时,易将口含物吸入。严重性取决于异物的性质和造成气道阻塞的程度,轻者可致肺部损害,重者可窒息死亡。异物分内源性和外源性。内源性异物乃因呼吸道炎症发生的伪膜、干痂、血块、脓液、呕吐物等。外源性异物系经口吸入的各种物体。

精彩图片

热门精选