【病例】组织胞浆菌病1例CT影像表现
发布时间:2022-10-22
发布时间:2022-10-22




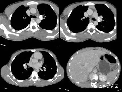
主要分布在美国密西西比河和俄亥俄河流域,国内报道较少。本菌所侵犯的各器官,病理改变基本一致。开始为中央部分增生,吞噬细胞内有或多或少的真菌。其后发生组织坏死,周围呈肉芽肿样变化,最后则愈合或纤维化。原发性接触性组织胞浆菌病呈非特异性炎性浸润,间或可见有巨细胞及坏死区。
X线检查、CT:可见肺、肝、脾等脏器可有许多钙化点。纵隔组织胞浆菌病还包括纵隔的肉芽肿和纤维化性纵隔炎。组织胞浆菌病大多数不需要特殊治疗,通常经过卧床休息、加强营养等支持疗法后,多在3个月至数年间自然痊愈。
上一篇:肺转移瘤的CT报告书写技巧与提示
下一篇:八种常见肺炎的X线诊断