【病例】Schatzki环(舍茨基环)并滑动性食管裂孔疝1例
发布时间:2022-10-22
发布时间:2022-10-22
【病史】青少年,疼痛。




问题1.最明显的异常为?
A.吞入硬币
B.吞入违禁品
C.食管憩室
D.淋巴结钙化
E.以上都不对
2.以下选项最符合影像学表现的为?
A.先天性食管蹼
B.膈上憩室
C.食管裂孔疝
D.腐蚀性食物残留
E.正常蠕动
请判断正误
3.食管远段局部环形狭窄最符合环形消化道狭窄。
A.正确
B.错误
4.食管远段局部环形狭窄直径小于13mm。
A.正确
B.错误
【答案】1.E 2.C 3.B 4.A
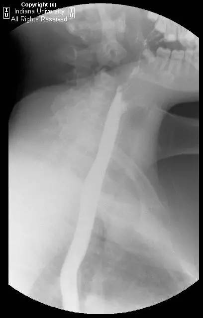
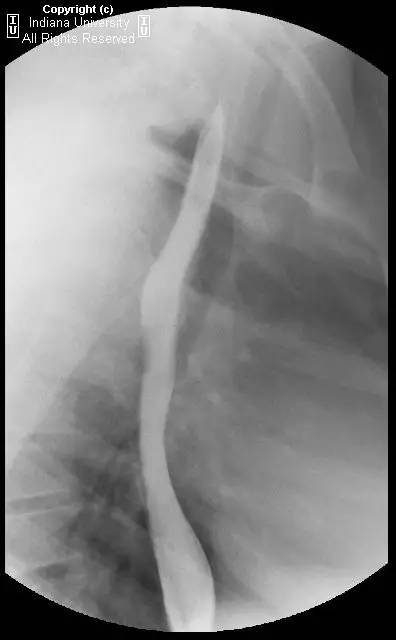
【影像学表现】可见小滑动性食管裂孔疝,食管远端胃食管连接处上方亦见一小的边界清晰的环形充盈缺损,钡剂通过顺利,但直径13mm不透射线的药片吞水后仍在充盈缺损上方崁顿,数分钟后进入胃。
【鉴别诊断】
【诊断】Schatzki环(舍茨基环)并滑动性食管裂孔疝
Schatzki ring andsliding hiatal hernia.
【讨论】
上一篇:【PPT】隐源性机化性肺炎