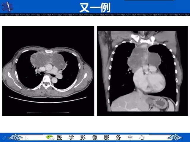
【病例】纵隔内胚窦瘤1例CT影像表现

发布时间:2022-10-22

【病例】纵隔内胚窦瘤1例CT影像表现

【病例】纵隔内胚窦瘤1例CT影像表现

【病例】纵隔内胚窦瘤1例CT影像表现

【病例】纵隔内胚窦瘤1例CT影像表现

【病例】纵隔内胚窦瘤1例CT影像表现

【病例】纵隔内胚窦瘤1例CT影像表现

【病例】纵隔内胚窦瘤1例CT影像表现

【病例】纵隔内胚窦瘤1例CT影像表现

【病例】纵隔内胚窦瘤1例CT影像表现

【病例】纵隔内胚窦瘤1例CT影像表现

【病例】纵隔内胚窦瘤1例CT影像表现

【病例】纵隔内胚窦瘤1例CT影像表现

【病例】纵隔内胚窦瘤1例CT影像表现

【病例】纵隔内胚窦瘤1例CT影像表现

【病例】纵隔内胚窦瘤1例CT影像表现

【病例】纵隔内胚窦瘤1例CT影像表现

精彩图片

热门精选