【病例】右上肺炎性假瘤1例CT影像表现
发布时间:2022-10-22
发布时间:2022-10-22
临床资料
患者男性,46岁,临床未提供病史。





















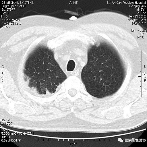
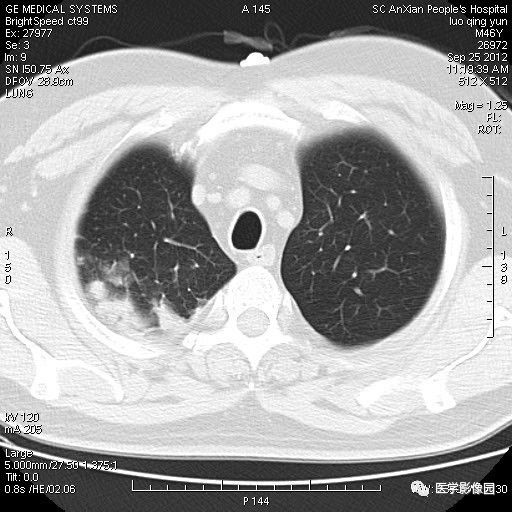
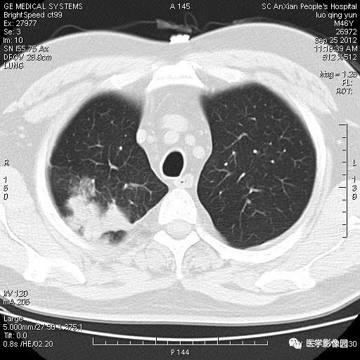
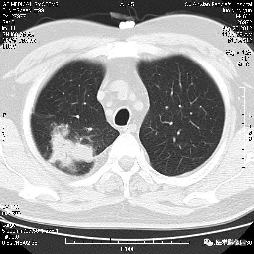
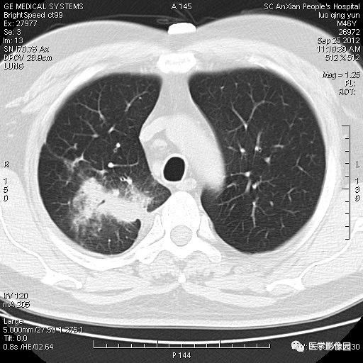
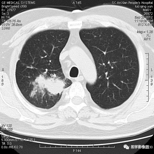
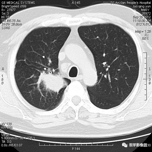
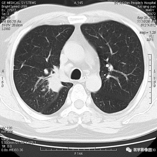
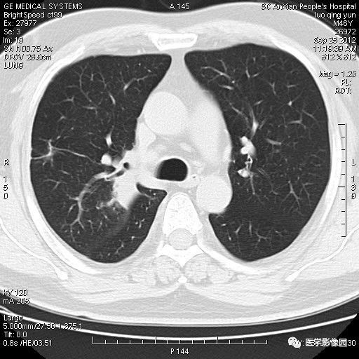
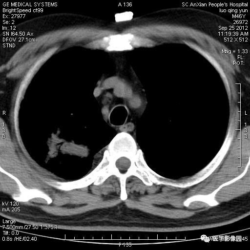
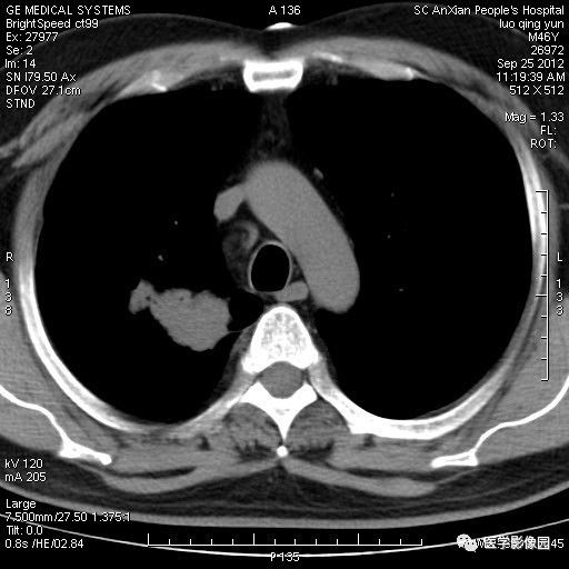
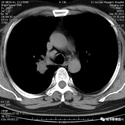
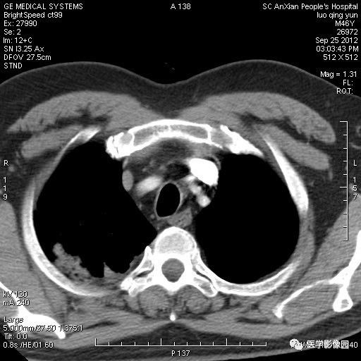
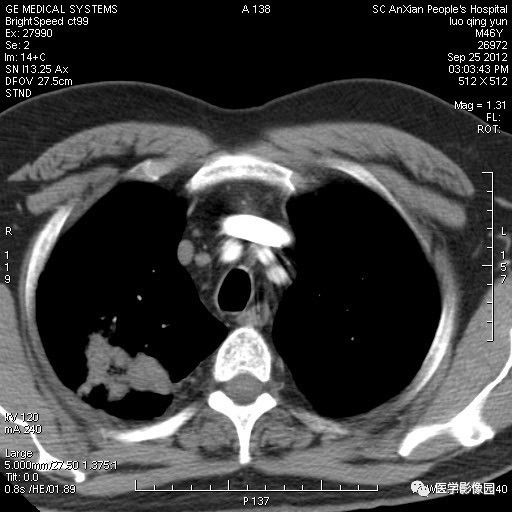
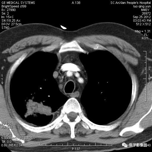
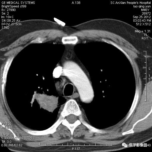
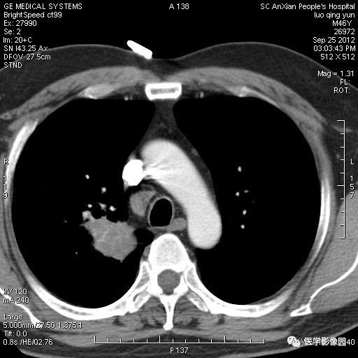
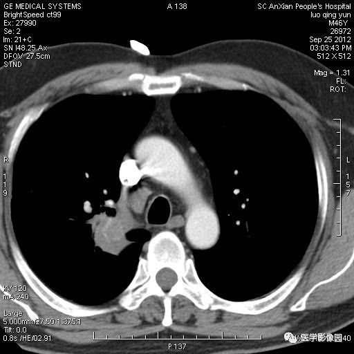
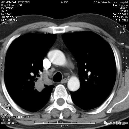
影像学表现:右上肺见不规则团块状高密度阴影,略有分叶级毛刺,边缘模糊,邻近胸膜增厚,增强扫描呈轻中度强化。
诊断结果:右上肺炎性假瘤
肺炎性假瘤是肺内良性肿块,是由肺内慢性炎症产生的肉芽肿、机化、纤维结缔组织增生及相关的继发病变形成的肿块,并非真正肿瘤。它是由各种炎症细胞及间叶组织构成,其中包括浆细胞、淋巴细胞、组织细胞、肥大细胞及梭型间叶细胞。多数人认为,此病与呼吸道的细菌、病毒感染有关,而抗菌素的不规则应用使肺部炎性病灶局限化,或延迟吸收,使得发病增加。
肺炎性假瘤患者多数年龄在50岁以下,女性多于男性。1/3的患者没有临床症状,仅偶然在X线检查时发现,2/3的患者有慢性支气管炎、肺炎、肺化脓症的病史,以及相应的临床症状,如咳嗽、咳痰、低热,部分患者还有胸痛、血痰,甚至咯血,但咯血量一般较少。
本病影像学表现无绝对特征性。单发多见,多位于肺表浅部位,多呈圆形或椭圆形,直径多在2-5cm或更大;多有假包膜,边缘多清晰光整,有时也毛糙,并可有分叶或毛刺;邻近胸膜局限性增厚、牵拉,病灶边缘呈桃尖样突起即桃尖征(尖端指向胸膜);增强扫描多呈中度均匀强化,持续时间较长。亦可显著强化。