【病例】食管静脉曲张1例X线CT影像
发布时间:2022-10-22
发布时间:2022-10-22
【病史临床】男,44岁,间断乏力4年,头晕1月,呕血一次。
【影像图片】


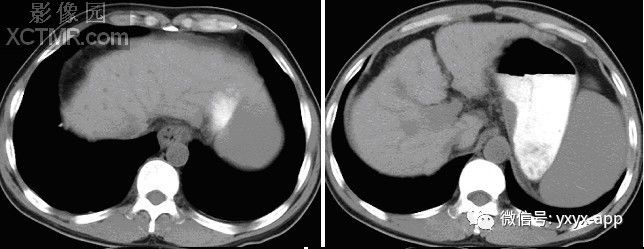
CT平扫


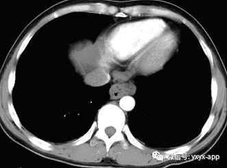
CT增强动脉期

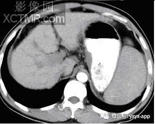
CT增强门脉期
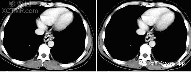
【影像表现】X线吞钡:食管下段迂曲,管壁呈锯齿状改变,粘膜皱襞增宽、增粗,扭曲呈蚯蚓状,并可见串珠状充盈缺损,食管稍扩张,管壁轮廓凹凸不平,钡剂排空延迟。管壁柔软,舒缩功能良好。 CT平扫及增强扫描可见食管内多发类圆形稍低密度病灶,动脉期未见明显强化,门脉期强化明显,与同层面主动脉强化程度相仿,显示病灶为血管性病变。肝脏大小比例失调,肝表面结节样不平,肝内密度尚均匀,未见明显局灶性密度异常及异常强化。
【诊断】 食管静脉曲张
【鉴别诊断】 1.食管癌 2.气泡
【讨论】 食管静脉曲张(esophageal varices)是指食管粘膜下层的静脉丛异常迂曲呈瘤样扩张。食管静脉曲张可分两型,即上行性和下行性,前者多见。上行性食管静脉曲张主要为门静脉高压所致。下行性极少见,主要病因为上腔静脉阻塞或纵隔纤维化。上行性静脉曲张的临床表现有肝硬化、脾大、脾功能亢进及腹水等门脉高压症状。
影像学诊断要点:
X线:食管吞钡造影:早期显示食管中下段黏膜皱襞增粗,不光整,迂曲,管壁轮廓呈锯齿状;中期病变迁延至食管中段,黏膜皱襞粗大,扭曲呈蚯蚓状,并可见串珠状充盈缺损,食管稍扩张,管壁轮廓凹凸不平,钡剂排空延迟;晚期范围明显延长,可累及食管全段,曲张形成明显的充盈缺损。管壁凹凸不平及管腔扩张,张力减低,可合并胃底静脉曲张。
CT:增强三维重建可以明确曲张的范围及程度,尤其对食管旁静脉曲张及静脉曲张硬化治疗后随访有一定价值。影像表现为管壁增厚,管腔不规则,常合并胃底静脉曲张,除食管黏膜下或食管旁区外,肝胃韧带区可以出现卵圆形或葡萄状软组织影,增强扫描可以显示明显强化的迂曲血管团,呈持续强化,延迟性强化。
MRI:MR门脉造影加MIP重建可显示曲张的食管静脉网,其效果近似于血管造影,典型的食管静脉曲张可表现为食管下段周围静脉、胃冠状静脉、胃短静脉及奇静脉呈圆条状、蚯蚓状扩张、迂曲。
DSA:多采用经肠系膜上动脉插管的间接门脉造影,表现为门静脉的延迟显影、主管增宽,肝内分支呈枯树枝状,造影剂经胃冠状静脉逆行至迂曲扩张的食道静脉。DSA对于静脉固化栓塞十分必要。
与气泡相鉴别:动态观察,后者造成的充盈缺损可消失。与第三蠕动波相鉴别:后者表现为黏膜皱襞正常,常见于贲门失迟缓或老年人。与食管癌(静脉曲张样食管癌):后者多发生于食管中段,表现为黏膜皱襞中断破坏,管壁僵硬,管腔恒久狭窄,病变段与正常食管分界截然等,且后者有进行性吞咽困难病史,而前者多有肝硬化病史。
【问题】
Ture OR False?
(1)食管吞钡表现为明显的占位效应(充盈缺损) 对: 错
(2)粘膜像表现为粘膜突然中断,粘膜纠集,为恶性征象 对: 错
(3)CT图像门脉期病灶表现无明显强化 对: 错
(4)CT增强扫描显示食管占位性病变 对: 错
(5)肝脏体积缩小,密度欠均匀,可见小结节影 对: 错
正确答案: 1:× 2:× 3:× 4:× 5:√
最可能的诊断?
A.食管平滑肌瘤
B.食管癌
C.食管静脉曲张
D.食管异物
E.以上均错 (请指出你的诊断)
正确答案:C
上一篇:3分钟读懂胸片上肺纹理的改变
下一篇:诊断乳腺的病变的主要可靠征象