【病例】肺错构瘤1例CT影像表现
发布时间:2022-10-22
发布时间:2022-10-22
【临床资料】
男性,63岁。体检发现肺部病变。
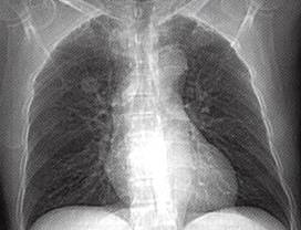
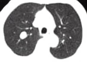
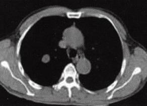
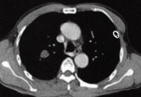
图1肺错构瘤

A

B

C

D
【影像学检查】
A.X线胸片示右上肺野孤立结节,边缘光整;
B.CT平扫肺窗示右肺上叶孤立结节,无分叶,边缘光整,周围肺野清晰;
C.纵隔窗示结节内多个点条状钙化,中心斑点状脂肪样密度区;
D.增强扫描结节灶无明显强化
【最后诊断】
肺错构瘤(术后病理)。
【诊断要点】
肺错构瘤(pulmonary hamartoma)由软骨、结缔组织、脂肪、平滑肌及气管上皮等多种组织成分在肺内不正常混合构成,目前认为起源于肺间质,是肺内最常见的良性肿瘤。依据发生部位分为两型,肺段支气管以下者称为周围型(占80%〜90%),段支气管以上者称为中央型(占10%〜20%)。本病成年人多见。
1.临床表现:周围型错构瘤多为偶然发现,肿块较大时可引起咳痰、咯血。中央型错构瘤主要表现为阻塞性肺炎而引起的咳嗽、咳痰、发热及胸痛。
2.X线平片:
1)周围型:多为孤立性肺结节,少数为较大肿块,病灶边缘光整,无分叶,部分病灶内见钙化,典型钙化呈“爆米花样”。
2)中央型:主要表现为错构瘤及其引起的阻塞性肺炎、阻塞性肺不张等征象。
3.CT表现:
1)周围型:
(1)病灶直径多<2.5 cm,边缘光滑,可浅分叶。 (2)病灶密度不均匀,可见短条状钙化,典型征象为“爆米花样”钙化,部分见脂肪密度影。 (3)增强扫描病灶无明显强化。 2)中央型: (1)支气管腔内结节,边缘光整,可见钙化。 (2)附着处支气管壁无侵蚀增厚。 (3)远端支气管阻塞性肺炎和/或肺不张改变。 4.MRI表现: 周围型结节显示信号不均勻,脂肪成分显示优于CT,可确诊。影像学检查显示肺周围境界光整的孤立性结节,见有“爆米花样”钙化或脂肪组织即可确诊。 【分析思路】 诊断依据: 1.患者为男性,63岁。无症状,偶然发现。 2.右肺孤立性结节,边缘光滑,无分叶,结节内多个点条状钙化,有脂肪样密度影,增强扫描病灶无明显强化。 3.无肺门、纵隔淋巴结增大及胸腔积液。 鉴别诊断: 1.周围型肺癌:①多为大于3 cm的肿块。②结节型多边缘毛糙,见“短毛刺征”“分叶征”。③病灶密度多不均勻,可见“空泡征”。④偶见点状钙化。增强多为明显强化。⑤本例结节灶未见肺癌常见征象,也未见肺门及纵隔淋巴结肿大、胸腔积液,所以不符合肺癌影像学表现。 2.结核球:①多位于两上肺。②结节灶单发多见,边缘锐利,无分叶,多有钙化等良性征象。③结核结节周围常见“卫星灶”,结节中央干酪样坏死密度低,钙化为点簇、层环样表现,增强如有强化则多呈环状强化。④本例结节内钙化形态呈短条样且见脂肪密度影,病灶周围肺野清晰,所以不支持结核球诊断。 3.肺内其他良性肿瘤:①与此例类似征象如:结节灶光整,无分叶。②无此例结节灶内所见钙化形态、数量和脂肪样密度征象,所以不考虑其他罕见良性肿瘤诊断。 4.肺动静脉瘘:①与此例类似征象如:孤立结节、边界光整、无分叶。②动静脉瘘增强扫描可见特征性的病灶明显强化及引流血管影征象,所以不符。
上一篇:【病例】食道纵隔胸膜瘘1例CT
下一篇:【病例】纵隔恶性神经鞘瘤1例CT