【病例】肺内小结节,估计80%的同行都没考虑这个诊断
发布时间:2022-10-22
发布时间:2022-10-22
病史
女性,61岁,肺小结节会诊
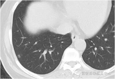
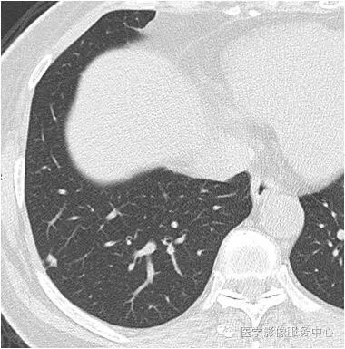
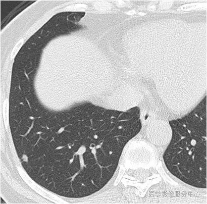
影像图片



不是肺癌、不是肺癌、不是肺癌,重要事情说三遍!
你的诊断是什么?
估计80%的同行没有考虑这个!
结果:肺内淋巴结
黄勇主任解读:肺内淋巴结以老年人和吸烟者多见。
影像上常见于胸膜或叶间胸膜下,迄今为止,所有的报道均距胸膜或叶间胸膜小于2.0cm。也可以表现为与胸膜或叶间胸膜相贴的结节。绝大多数位于中下叶(气管隆突水平以下),上叶也可见到,但较少见。
长径均小于12mm。典型的形状为三角形,也可以为梭形、圆形或椭圆形。诊断的关键在于见到1-5条细线与胸膜、叶间胸膜相连,或注入肺静脉,但厚层CT显示欠佳。有作者病理对照线状影为小叶间隔,有作者病理对照为淋巴管。其实是统一的,因为淋巴管走行于小叶间隔内。
需要与小肺癌、肺转移瘤进行鉴别。肺内淋巴结除细线状影外,边缘清晰无分叶,无毛刺,是与肺癌鉴别的关键。有作者对9例胸膜下的小于1cm的肺转移瘤进行对照,后者均为圆形,且无线状影与胸膜或肺静脉相连。
对怀疑肺内淋巴结的病例,必须行薄层扫描,推荐1.5mm及以下层厚。因为在5mm层厚图像,肺内淋巴结可以由于部分容积效应表现为磨玻璃密度结节,而且对线状影及病变形状的显示也欠清晰。
诊断肺内淋巴结最关键指出在于薄层扫描见到细线状影与胸膜、叶间胸膜及肺静脉相连。

【专家讲坛】肺内淋巴结的CT表现与鉴别诊断
下一篇:【病例】胸腺囊肿1例CT