【病例】肺曲菌球1例X线CT
发布时间:2022-10-22
发布时间:2022-10-22
病史:患者女性,慢性咳嗽就诊


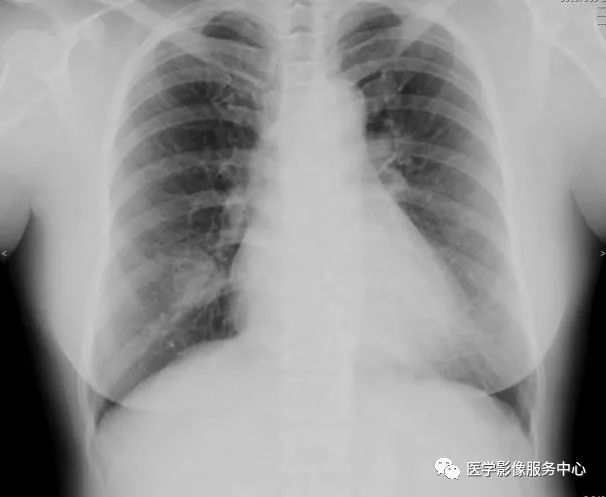
胸片正侧位:右肺中叶见一圆形边界清楚的高密度结节影。 病变中似有“空气新月征”。



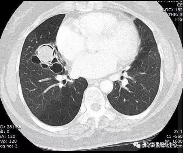
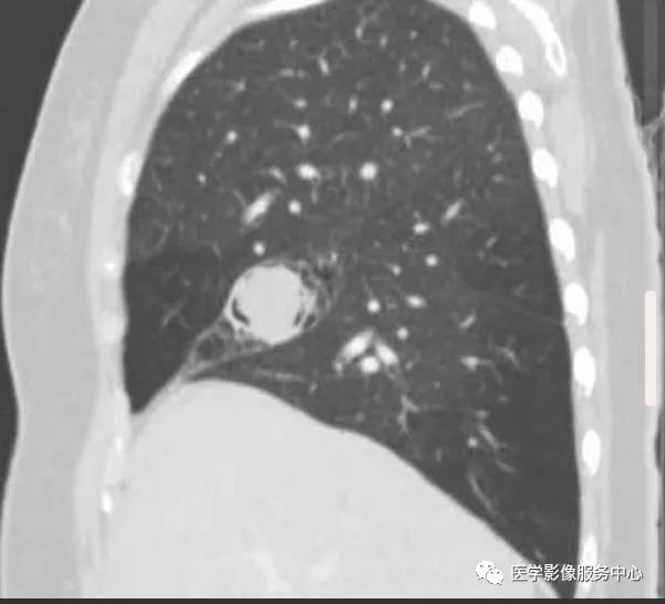
CT:右肺中叶见一个球形软组织密度影,周围见空气新月征
需注意要点:
(1)致密阴影在空洞内随体位的改变而移动。在直立的胸部x线片,空气新月征位于致密阴影上;然而,在患者仰卧的CT图像上,空气新月征位于致密阴影前。
(2)周围支气管的变化
该患者右肺中叶切除术后,病理:肺曲菌球
讨论:曲菌球,常继发于支气管囊肿、支气管扩张、肺脓肿和肺结核空洞。是曲霉在慢性肺部疾病原有的空腔内繁殖、蓄积,与纤维蛋白、粘液及细胞碎屑凝聚成曲霉肿。可发生任何年龄,痰中带血或咯血为主要临床特点,其他临床症状无特异性。
CT:初为肺部局限性炎症,表现为斑片状模糊阴影,继发周围炎症吸收,表现为团块状或结节状阴影,周围环以浅淡的磨玻璃样的晕,当肺组织液化,坏死物咳出后,则表现为:新月状的空气所包绕的一致密阴影,该致密阴影边缘光整,密度较均匀,增强无强化,且致密阴影在空洞内随体位的改变而移动。
结论:工作中虽然少见,但影像诊断上有特异性,主要与肺肿瘤、肺结核、肺脓肿等鉴别,关键看病变是否随体位改变而移动,临床上,此病多见于免疫功能低下和长期应用抗菌素、激素的病人以及糖尿病患者。