【病例】肺隔离症1例CT影像表现

发布时间:2022-10-22

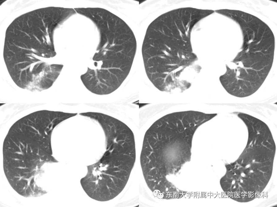
病史

女,38岁,因“间断咯血2月余”入院。

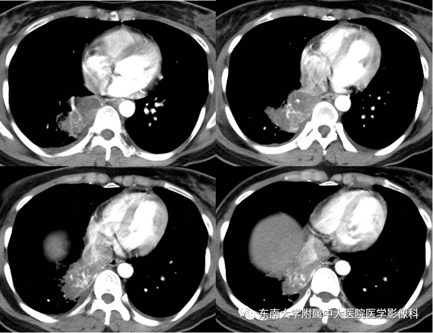
CT增强

【病例】肺隔离症1例CT影像表现

【病例】肺隔离症1例CT影像表现

MIP

【病例】肺隔离症1例CT影像表现

VR

【病例】肺隔离症1例CT影像表现

【病例】肺隔离症1例CT影像表现

【病例】肺隔离症1例CT影像表现

【病例】肺隔离症1例CT影像表现

【病例】肺隔离症1例CT影像表现

【病例】肺隔离症1例CT影像表现

【病例】肺隔离症1例CT影像表现

【病例】肺隔离症1例CT影像表现

【病例】肺隔离症1例CT影像表现

【病例】肺隔离症1例CT影像表现

【病例】肺隔离症1例CT影像表现

【病例】肺隔离症1例CT影像表现

【病例】肺隔离症1例CT影像表现

【病例】肺隔离症1例CT影像表现

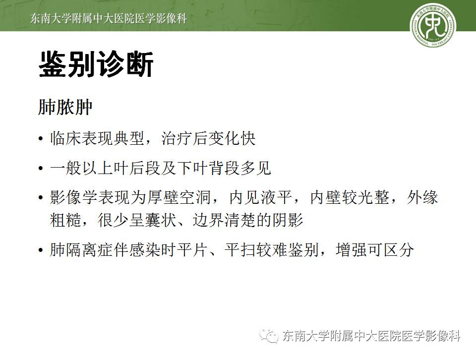
精彩图片

热门精选