原发性肺黏液腺癌CT表现、病理基础
发布时间:2022-12-08
发布时间:2022-12-08
原发性肺黏液腺癌( primary pulmonary mucinous adenocarcinoma,PPMA) 属肺内罕见的恶性肿瘤性疾病,2011年国际肺腺癌多学科分类将其作为最新病理类型分出。
临床表现往往缺乏特异性,其主要表现多为长期咳白色黏液样痰、痰中带血丝,刺激性干咳、乏力、消瘦、胸闷气短等。
恶性程度较其他类型肺癌低,患者5年生存率更长,但病灶直径>3cm的PPMA、尤其是伴有淋巴结或气道转移时,预后往往较差。
任何年龄段均可发生,以中老年人比较多见,可能与吸烟没有明确的相关性。
CT表现:
增粗的支气管动脉或肺动脉形成了血管集束征,该征象大多依赖肿瘤细胞产生的促血管生成因子,使病灶供血血管及新生毛细血管反应性增粗、增生。



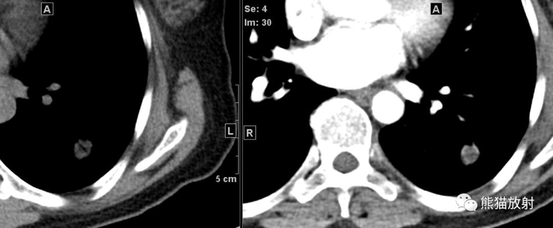
男, 61岁,原发性肺黏液腺癌。左肺下叶被段孤立性周围型肿块,边缘呈“浅分叶”及“毛刺征”,边界尚清,密度欠均匀,平扫CT值约23HU( 白↑) ; 增强动脉期及静脉期CT值分别约35HU、45HU,实质部分呈轻度不均匀强化,静脉期呈“延迟强化”表现。
PPMA 与原发于胃肠道的黏液腺癌在组织结构存在一致性,大部分癌细胞排列呈腺泡样结构,少部分呈实性及乳头样结构,细胞内有黏液分泌。因此,依赖镜下病理组织学表现难以鉴别PPMA 和胃肠道转移性肺黏液腺癌,临床确诊时必须结合病史排除胃肠道原发灶存在的可能。
PPMA 镜下病理表现为肿瘤癌细胞排列呈腺泡样结构,该腺泡样结构血供丰富与CT 增强扫描延迟强化可能有一定相关性。
综上所述,PPMA 的影像表现有一定特征性,CT表现为肺内单发、靠近胸膜的周围型肿块,平扫呈现分叶及毛刺征,空洞及钙化较少见,可有不同程度囊样变,增强扫描实性部分呈轻到中度“延迟”样强化表现,诊断时应考虑存在PPMA的可能,但最终确诊仍需结合临床病史、病理组织学及免疫组织化学染色检查。
↓ 再看一例:




女,55岁,左下肺黏液腺癌。
左下肺孤立性结节,可见浅分叶、毛刺征、血管集束征、空气支气管征;增强扫描实性部分呈轻到中度渐进性强化,中心轻度坏死。



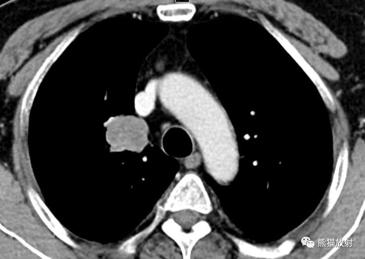
男,57岁,右肺上叶肺鳞癌(实性、有分叶、中度强化),右肺中叶黏液腺癌(病灶近胸膜,形态不规则,术前诊断有难度)。

上一篇:胸腺上皮性肿瘤的影像诊断及鉴别
下一篇:主动脉壁间血肿的CT诊断