【病例】小细胞肺癌?套细胞淋巴瘤?
发布时间:2022-10-22
发布时间:2022-10-22






















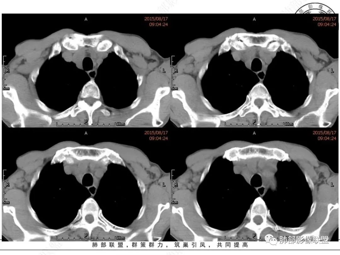
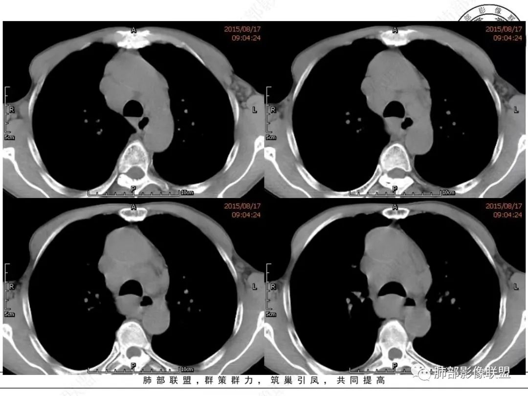
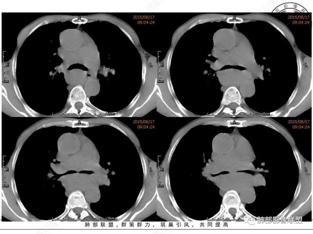
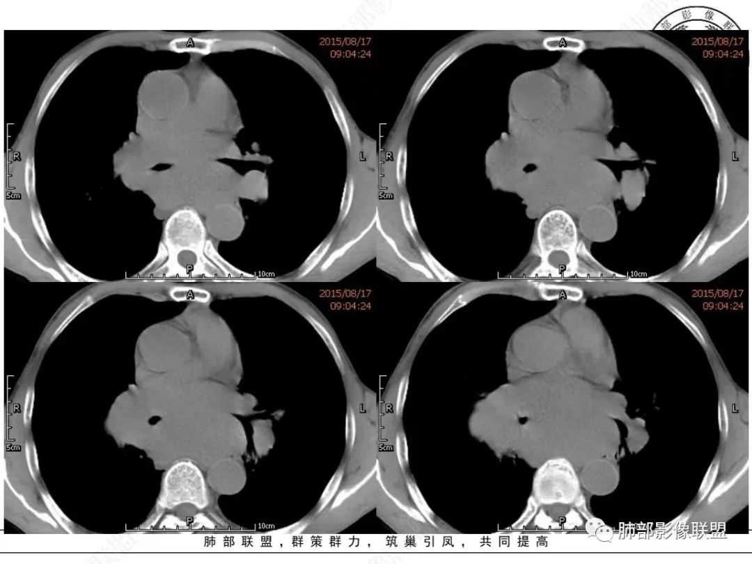
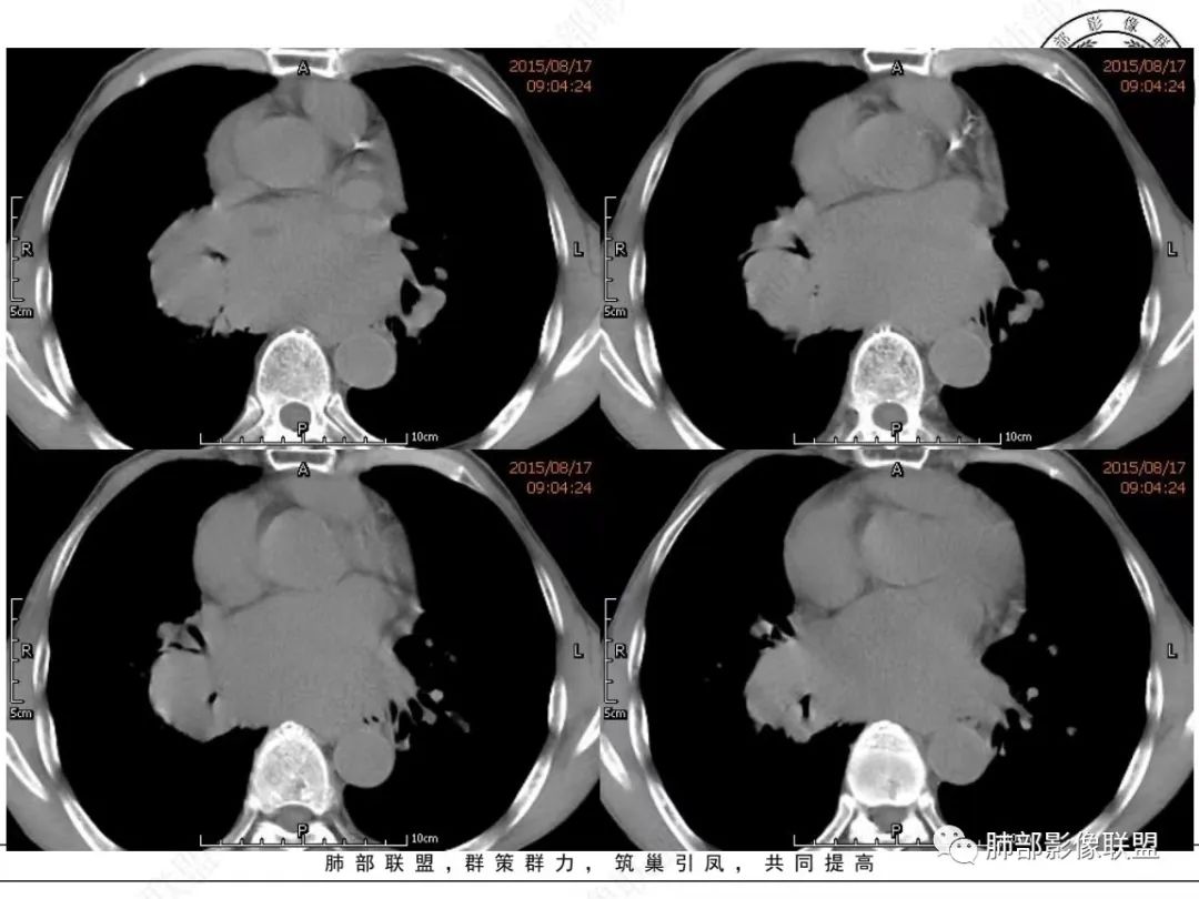
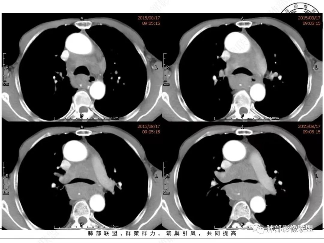
放射小白:老年男性,右侧肺门可见团块状占位包绕气管,气管受压变窄,纵隔见巨大团块状占位,另纵隔可见肿大淋巴结,增强肺门及纵隔肿块强化不明显,内部可见血管影,周围结构只是受压移位,另颌下淋巴结穿刺慢性淋巴结炎,首先考虑小细胞癌,鉴别淋巴瘤、结节病。

宇宙:右肺下叶小结节,右肺门及中后纵膈淋巴结肿大融合,强化均匀,主支气管、中间段及下叶支气管受压变窄,右下肺静脉受压变窄,考虑小细胞癌,鉴别淋巴瘤

丽:老年男性,纵隔及肺门多发肿大淋巴结,相互融合呈团块状,包绕支气管官腔,呈针尖样狭窄,增强后轻度强化,考虑小细胞肺癌

放射线:纵隔及肺门淋巴结肿大相互融合呈冰冻纵膈,支气管受压变窄呈针孔样,老年男性吸烟患者,考虑小细胞肺癌。

采莲:老年男性,有吸烟史,双颈部肿块,双肺纵隔淋巴结多发淋巴结肿大并融合成块,气管及右肺下叶支气管受压狭窄,考虑恶性,淋巴瘤可能,鉴别小细胞肺癌。

崔少钢:老年男性,有吸烟史,右肺下叶背段示小结节,纵隔、腋窝及右肺门淋巴结节肿大,气管受压狭窄,后纵隔软组织内示血管走行,考虑小细胞>淋巴瘤。

我只是邓较瘦:晨读老年男性,长期吸烟。右肺门、纵隔多发肿大淋巴结、融合成团块,中间支气管、右肺下叶支气管受压变窄,增强扫描强化程度较轻,血管包埋。另两侧腋窝亦见多发肿大淋巴结。常规恶性没问题,小细胞?淋巴瘤?但是於老师的病例总感觉没那么简单。

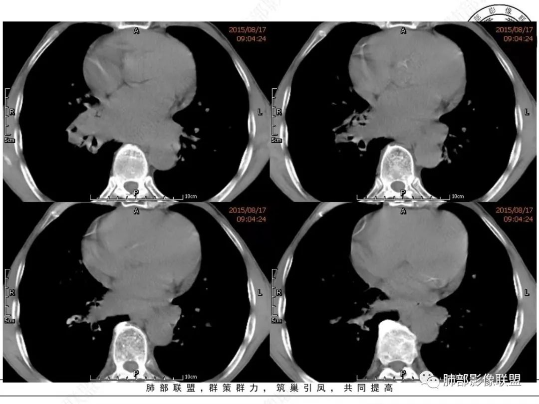
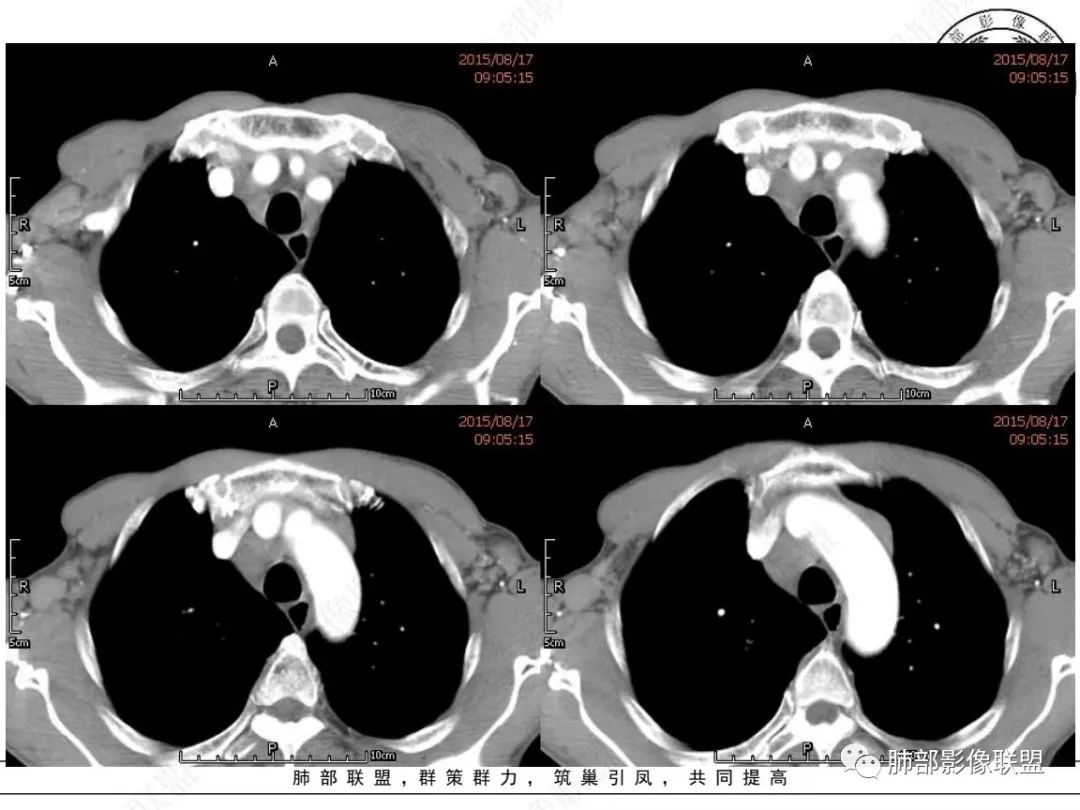
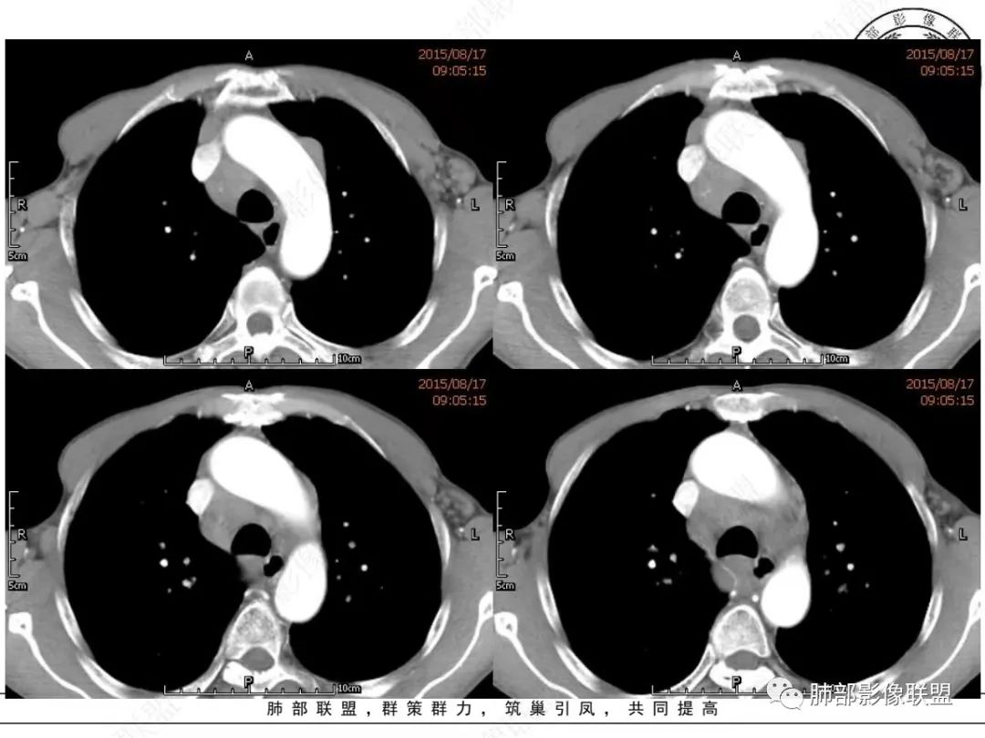
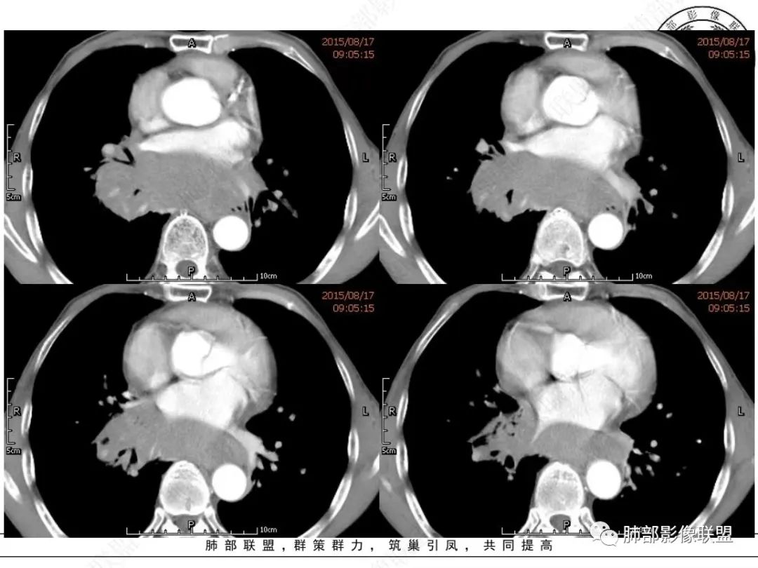
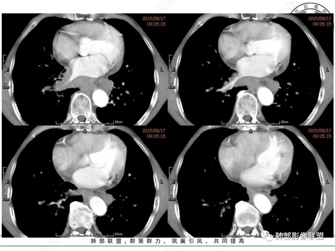
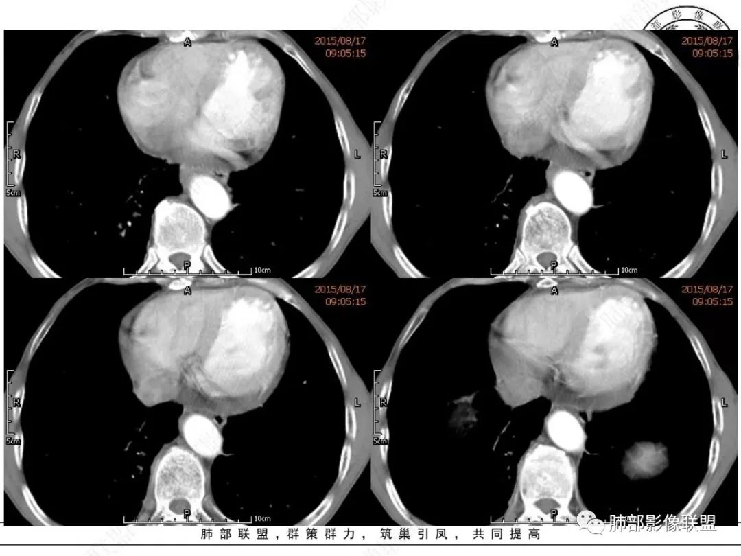
谢加平:纵隔内中后纵隔及右肺门淋巴结肿大,形成大肿块,整体密度均匀,并轻度强化,见“血管飘浮”征,包绕气管分叉及右主支气管及中间段支气管明显受压狭窄,并包埋右肺门血管束,无侵蚀破坏,右肺动脉后壁见压迹影,右肺下叶背段有阻塞性炎症,首选淋巴瘤,支气管超声内镜活检,明确诊断!

尘缘:淋巴瘤可能大于小细胞。
理由:四点,1、整个病灶位于纵隔中央后主,且以后纵隔为主,2、病灶内血管漂浮,3、肺内无原发灶,没找到“娘”。4、颌下淋巴结穿刺未找到小细胞癌。所以肯定先考虑淋巴瘤。

南边:
老年男性,颈部淋巴结而来,双侧对称,长期吸烟,双侧腋窝淋巴结肿大
,纵隔淋巴结肿大,特别是后纵隔,食道推移包绕,右肺门区支气管被包绕、受压狭窄。恶性应该没问题,问题是如何鉴别小细胞与淋巴瘤?
1、颈部、腋窝双侧淋巴结对称
2、右肺门区淋巴结肿大,但是没有沿支气管朝外延伸
3、食道没有梗阻
4、血管漂浮,走形自然
支持淋巴瘤
赖晓宇:
小细胞不会全身淋巴播散这么广泛
南边:
我们做消化道淋巴瘤最明显,其他肿瘤都梗阻,淋巴瘤不会,很有特色!
病理上套细胞淋巴瘤与小细胞猛一看非常像!侵袭力也非常强,破坏力很弱,周围腺体大多没破坏。只是干净一点,细胞碎屑少
主要靠免疫组化鉴别
我想CT上,侵袭力强也是特征,破坏力弱表现在血管包绕但形态基本不变,和比较软的感觉。
另外小细胞癌中央区肿块通常没那么圆,有鸭蹼状凸起,周围也不是特别干净,常有小结节或其它阴影
相关文献复习
套细胞淋巴瘤( mantle cell lymphoma,MCL) 是一种伴有特征性的 t(11;14)( q13;q32) 易位的成熟B 细胞淋巴瘤,肿瘤细胞通常表达 cyclin D1、CD5 和SOX11[ 1-2] 。 占 非 霍 奇 金 淋 巴 瘤 ( non-Hodgkin lymphomas, NHL) 的 3 ~ 10%。
MCL是一种起源于淋巴结滤泡套区内的小B细胞,在2000年WHO分类中被作为一类独立的疾病而命名为MCL,既往文献报道。其特点为老年男性多见,就诊时多为疾病晚期,75%~100%表现为广泛淋巴结受侵,结外病变发生率较高。
MCL 好发于淋巴结,大多数患者就诊时临床分期为Ⅲ~ Ⅳ期,多伴有淋巴结外侵犯。 MCL是一种非常独特的病理类型,一方面按照其侵袭性的生物学行为和自然史应归为侵袭性NHL,而另一方面,它对治疗的反应类似惰性淋巴瘤(indolent lymphoma),采用目前的标准治疗方法是不可治愈的。常规治疗很难治愈, 患者的中位生存时间仅为 3 ~ 5 年,甚至有些复发难治患者总生存时间仅为1 ~ 2年 。
MCL的CT表现为分布无规律的全身多区域淋巴结受侵,少有单一区域淋巴结受累,结外器官受侵多见;MCL有一般NHL淋巴结受累基本CT表现,平扫CT表现为病变密度均匀,受累淋巴结区内呈融合状生长,边界清楚,增强后病灶呈均匀、中等强化,一般病变内无低密度坏死区。确诊需要病理及免疫组化,根据肿瘤组织形态学和免疫组织化学 CD5 及cyclin D1 的表达绝大多数 MCL 可做出明确病理诊。
鉴别诊断
1.小细胞肺CA:好发吸烟老年男性。常有血液NSE及胃泌素释放肽前体升高。Syn、CgA、CD56阳性。其CT特点可有:冰冻纵隔、冰冻肺门。血管包埋征。针尖样支气管。鸭蹼状凸起。娘小崽大。脂肪间隙消失(常指纵隔及肺门内)。阻塞性炎症不重。侵袭性强。破坏力不强。收缩力弱,内无空泡。沼泽样强化,坏死散而小,坏死不彻底,强化偏低。表面圆钝,角状及条状凸起,蠕虫样表现,腊肠样尾巴(朝肺门侧或背离肺门侧均可以)。胸水多“清澈”(可以理解为淋巴液回流障碍导致的胸水)。点簇状钙化(类似盐与胡椒样)。多见癌性淋巴管炎。另外黄勇老师提出胸膜下的小细胞肺癌具有“山丘征”的特点。






来源于肺部影像联盟公众号文章 :黄勇老师经验分享之二:病例诠析小细胞癌、鳞癌、骨髓瘤
2.结节病: 好发女性。是一种原因不明的可以累及多个系统的、以非干酪样坏死性上皮样细胞肉芽肿为病理特征的疾病。典型的影像学表现:双侧肺门对称性淋巴结肿大,边界清楚,密度均匀,一般无融合。可以有纵隔淋巴结肿大。病变累及肺部时主要表现为中轴血管束的增粗,多发或弥漫性淋巴管周围(沿支气管血管束、叶间裂、胸膜分布)分布的、直径2~5 mm、边界清晰或模糊的小结节,可见”星系征”、“反晕征”。激素治疗后明显好转。
3.肺结核: 青年人多见,临床有结核中毒症状,双肺病变好发部分位于两肺上叶尖后段及下叶背段,具有多态性、多灶性等特点。累及双肺门、胸内淋巴结时,多不对称,可以融合,增强后显示环形强化。病理显示干酪样坏死,抗酸染色阳性。
4.转移瘤: 常有原发肿瘤病史。常常不对称。强化特点常与原发肿瘤强化特点类似。
5.尘肺: 纵隔及肺门淋巴结多有钙化,临床有职业史及粉尘接触史。
下一篇:【PPT】脂质性肺炎