胸腺瘤、胸腺恶性肿瘤影像表现
发布时间:2022-10-22
发布时间:2022-10-22
胸腺瘤
Thymoma
概述
影像表现:
X线:
CT:
MRI:
鉴别诊断

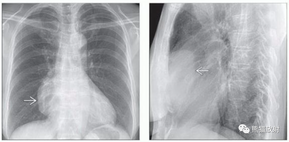
(左) 胸腺瘤患者的胸片显示纵隔偏右侧肿块(箭),边界清楚,轻度分叶。在正位胸片上胸腺瘤常表现为纵隔轮廓异常。
(右) 同一病人的侧位胸片显示肿块位于前纵隔。侧位胸片可以定位纵隔肿块的分区。

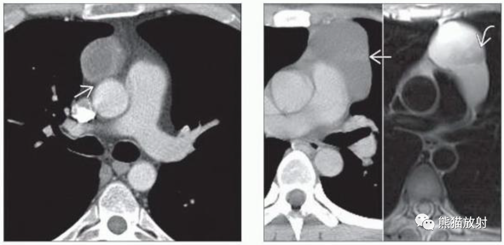
(左) 胸腺瘤患者的CT显示前纵隔肿块,表现为不均质强化,病变位于左前纵隔,紧靠邻近的肺动脉干,未见明显的血管侵犯。胸部CT上缺乏组织分界并不能可靠地提示局部浸润。
(右) 胸腺瘤的形态学特征,胸腺瘤是一种原发性肿瘤,典型表现为肿瘤起源于胸腺的1个叶,通常表现为单侧生长。

(左) 胸腺瘤,增强CT显示右前纵隔球形肿块,由于坏死中心呈低密度。与邻近升主动脉分界清晰(箭)。
(右) CECT和轴位T2WI显示左前纵隔囊性胸腺瘤并结节样软组织分隔,在MR上更为明显。纵隔囊肿出现壁结节应提示囊性肿瘤。

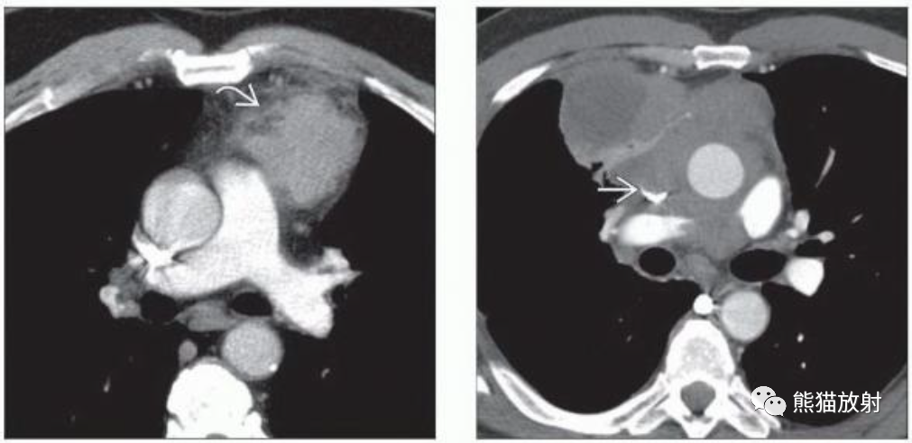
(左) 轴位ct显示左前纵隔胸腺瘤,边缘不规则,邻近纵隔脂肪浸润。手术中证实纵隔脂肪浸润 (IIa期) 。
(右) 侵袭性胸腺瘤。CT显示纵隔巨大分叶状肿块,包绕纵隔血管并侵犯上腔静脉。考虑到为III期疾病的影像学表现,患者应接受术前新辅助化疗。

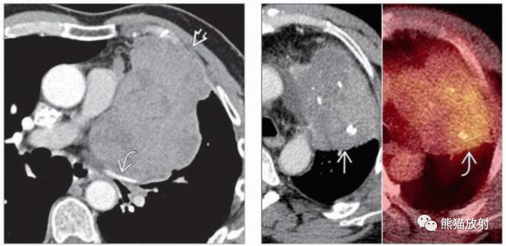
(左) 侵袭性胸腺瘤。CT增强显示巨大右前纵隔分叶状肿块伴钙化,同侧膈肌和纵隔胸膜多发转移,提示IVa期。
(右) 同一病人的PET/CT显示病灶FDG代谢增高 (SUV为4.5)。虽然PET/CT在胸腺瘤评估中的作用尚未明确,但它可能有助于明确部分病例的转移灶。
胸腺恶性肿瘤
Thymic Malignancy
胸腺恶性肿瘤
X线:前纵隔肿块
CT:
MRI: 表现类似胸腺瘤,局部侵犯
PET/CT:发现转移灶/监测
鉴别诊断:

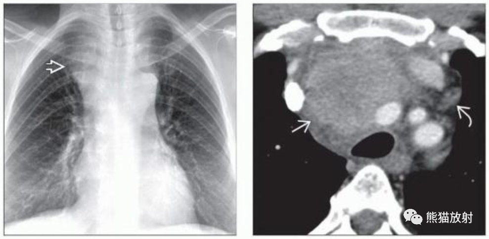
(左) 胸腺癌。胸片显示软组织肿块导致上纵隔增宽。
(右) 轴位CT显示一个不规则不均质强化的前纵隔肿块,周围见软组织条索影并增大淋巴结。虽然胸腺恶性肿瘤在影像学上很难与胸腺瘤相鉴别,但淋巴结病和远处转移提示胸腺癌或胸腺类癌。

(左) 胸腺癌。CT显示一个巨大不均质强化的左前纵隔肿块,侵犯左前胸壁,对纵隔血管产生占位效应。胸膜转移可见于胸腺恶性肿瘤,但它是侵袭性胸腺瘤的特征。
(右) 胸腺类癌。轴位CECT和PET/CT图像显示左前纵隔肿块伴钙化、明显不均质强化,PET/CT的FDG代谢增高。
↓ 内容摘译自:
