【病例学习】肺错构瘤一例
发布时间:2022-10-22
发布时间:2022-10-22
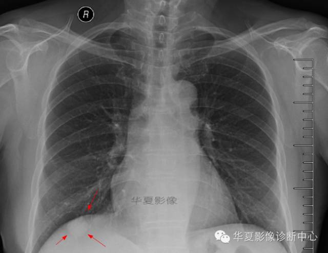
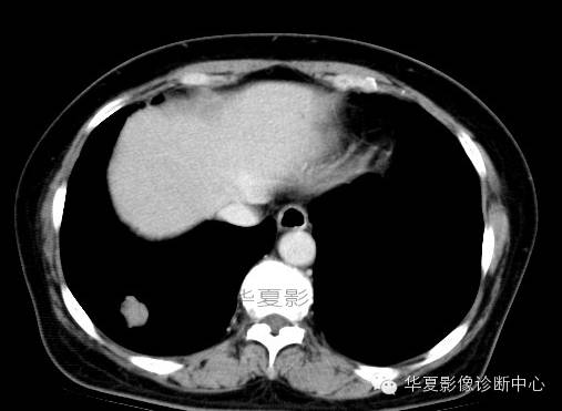
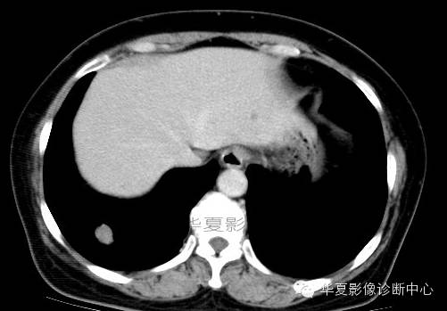
简要病史:女,66岁,因“咳嗽10天”入院。
病例特点:患者10天前受凉后出现咳嗽,干咳为主,偶咳少量黄色粘痰,咳嗽剧烈时感胸痛,无发热、咯血、盗汗、胸闷、气喘、心前区不适、恶心、呕吐、腹痛、腹泻、尿频、尿急等不适,在家自服感冒药,咳嗽缓解不明显,肿瘤全套:癌胚抗原高1.92ng /ml 神经元烯醇化酶 10.11ng /ml 细胞角蛋白19片断2.64ng /ml 给予抗感染(可乐必妥)等对症处理后,以“右肺占位”收入我科。患者目前精神尚可,体力正常,食欲正常,睡眠正常,体重无明显变化,大便正常,排尿正常。
既往未诉特殊病史,无药物过敏史。
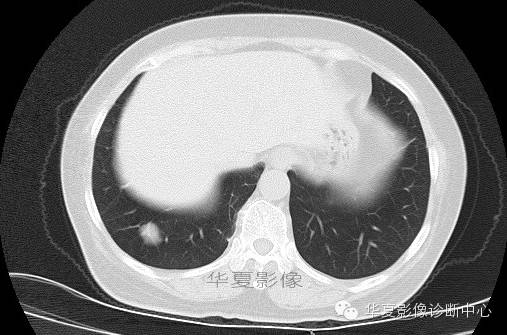
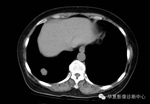
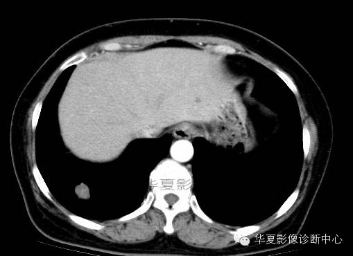
影像资料:






病理结果:
术中切除(右下)部分肺组织7x6x2cm,切面见一灰白色肿物,直径2cm,质较脆,与周围组织界限清,略呈分叶状,无包膜。
印象:
(右下肺)错构瘤(以软骨成份为主)
讨论:
肺错构瘤多发生在胸膜下肺表浅部位,呈球形、椭圆形,有完整的包膜,质硬,易与周围肺组织分开。肺错构瘤的直径0.5~12cm,多数小于3cm。肿瘤剖面呈灰白色,质硬,有黏液和囊腔。主要成分有软骨、腺体、平滑肌、脂肪及纤维组织等。肿瘤可发生钙化,多位于中心,分布较均匀,此种钙化结构常像爆米花样或核桃肉样。
上一篇:HRCT树芽征的诊断价值