垂体增生的影像表现

发布时间:2022-10-21

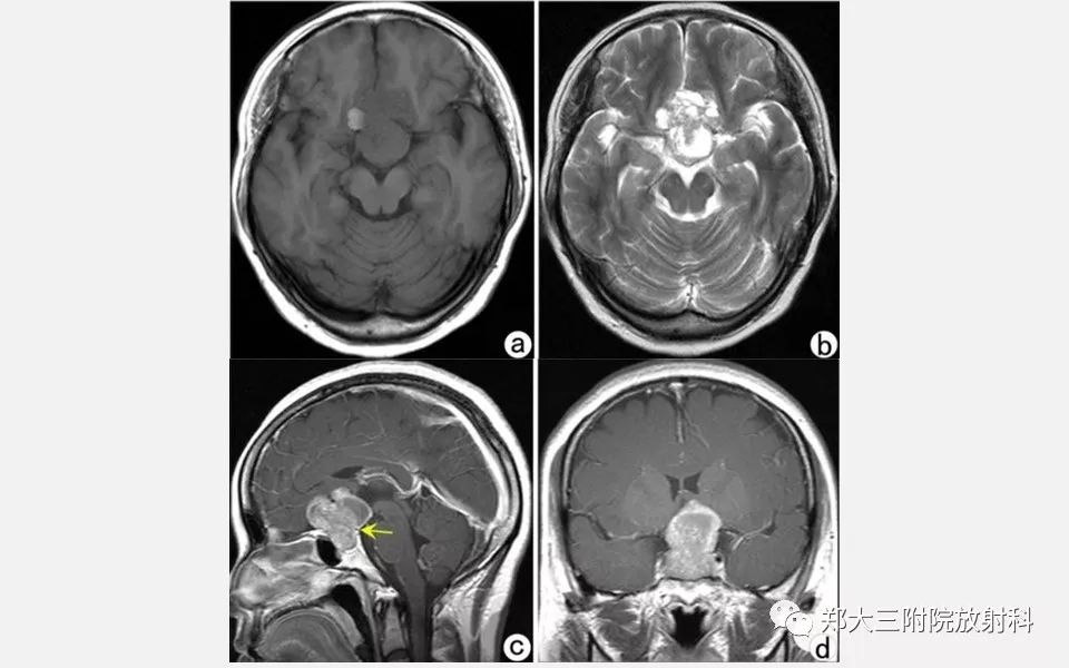
【PPT】垂体增生的影像表现
【PPT】垂体增生的影像表现
【PPT】垂体增生的影像表现
【PPT】垂体增生的影像表现
【PPT】垂体增生的影像表现
【PPT】垂体增生的影像表现
【PPT】垂体增生的影像表现
【PPT】垂体增生的影像表现
【PPT】垂体增生的影像表现
【PPT】垂体增生的影像表现
【PPT】垂体增生的影像表现
【PPT】垂体增生的影像表现
【PPT】垂体增生的影像表现
【PPT】垂体增生的影像表现
【PPT】垂体增生的影像表现
【PPT】垂体增生的影像表现
【PPT】垂体增生的影像表现
【PPT】垂体增生的影像表现
【PPT】垂体增生的影像表现

精彩图片

热门精选