脑脊液鼻漏影像学评估

发布时间:2022-10-22

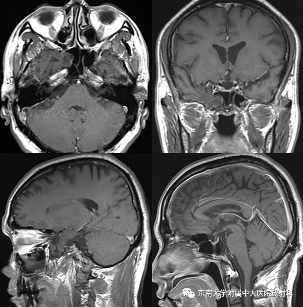
病史

• 男,53岁
• 反复右侧鼻腔流清水样鼻涕2年余,自觉流涕量增多4月余,咳嗽咳痰2周
• 感鼻塞,伴全身乏力,偶有头痛

CT平扫+MR增强

yxppt-2021-01-28_12-15-26_551738

yxppt-2021-01-28_12-15-28_947281

yxppt-2021-01-28_12-15-30_410378

yxppt-2021-01-28_12-15-32_339872

yxppt-2021-01-28_12-15-34_277010

yxppt-2021-01-28_12-15-36_191630

yxppt-2021-01-28_12-15-39_077403

yxppt-2021-01-28_12-15-41_269456

yxppt-2021-01-28_12-15-44_085034

yxppt-2021-01-28_12-15-46_210450

yxppt-2021-01-28_12-15-48_409373

yxppt-2021-01-28_12-15-50_236014

yxppt-2021-01-28_12-15-53_345392

yxppt-2021-01-28_12-15-55_722816

yxppt-2021-01-28_12-15-57_978511

yxppt-2021-01-28_12-16-00_128667

yxppt-2021-01-28_12-16-02_383938

yxppt-2021-01-28_12-16-04_878770

yxppt-2021-01-28_12-16-07_353183

yxppt-2021-01-28_12-16-09_977905

yxppt-2021-01-28_12-16-12_124149

yxppt-2021-01-28_12-16-14_133386

yxppt-2021-01-28_12-16-17_213620

yxppt-2021-01-28_12-16-19_725913

yxppt-2021-01-28_12-16-21_381104

yxppt-2021-01-28_12-16-23_183116

精彩图片

热门精选