室周假性囊肿

发布时间:2022-10-23

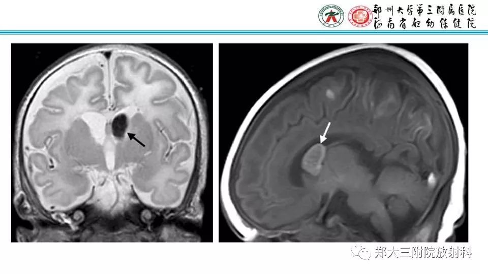
【PPT】室周假性囊肿-1

【PPT】室周假性囊肿-2

【PPT】室周假性囊肿-3

【PPT】室周假性囊肿-4

【PPT】室周假性囊肿-5

【PPT】室周假性囊肿-6

【PPT】室周假性囊肿-7

【PPT】室周假性囊肿-8

【PPT】室周假性囊肿-9

【PPT】室周假性囊肿-10

【PPT】室周假性囊肿-11

【PPT】室周假性囊肿-12

【PPT】室周假性囊肿-13

【PPT】室周假性囊肿-14

【PPT】室周假性囊肿-15

【PPT】室周假性囊肿-16

【PPT】室周假性囊肿-17

【PPT】室周假性囊肿-18

【PPT】室周假性囊肿-19

【PPT】室周假性囊肿-20

【PPT】室周假性囊肿-21

【PPT】室周假性囊肿-22

【PPT】室周假性囊肿-23

【PPT】室周假性囊肿-24

精彩图片

热门精选