【PPT】小脑扁桃体下疝畸形
发布时间:2022-10-21
发布时间:2022-10-21
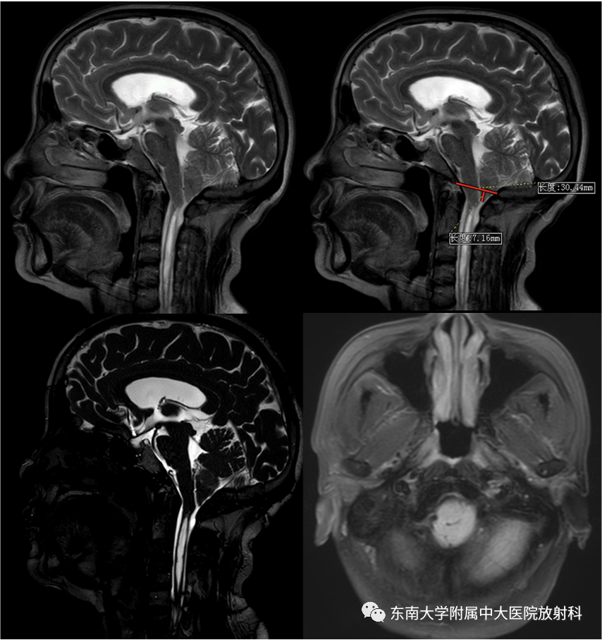
病史
女性,59岁
主诉:左侧肢体乏力、感觉减退20 余年
病史:患者20余年前无明显诱因下出现左侧肢体乏力,尚不影响体力活动,休息无明显缓解。左侧肢体感觉减退,表现为对疼痛不敏感,感觉不到热水的温度,左侧躯体皮肤出现烫伤而不自知。时有左下肢抽动样疼痛,数分钟后可缓解。有头痛,无头晕,无恶心呕吐,无黑蒙晕厥,无肩颈部疼痛,无明显肢体麻木,无饮水呛咳,无意识障碍,无大小便失禁。患者当时未予重视,未特殊治疗。现上述症状进行性加重,逐渐出现左上肢上抬受限






























上一篇:【PPT】后颅窝畸形
下一篇:脑血管的解剖基础