肺磨玻璃变实性结节,3个月的发展过程可定性
发布时间:2022-12-12
发布时间:2022-12-12
这个病例比较简单,提示的注意点主要是:磨玻璃几个月内快速变成实性结节,恶性可能非常小。
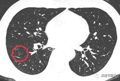
中年男性,不吸烟,2022.9月体检首次发现右下肺磨玻璃结节6mm,无前片对比。

患者口服头孢治疗2周,后三个月复查来诊。薄层CT显示,右下肺磨玻璃结节变成了相邻的数枚实性小结节。




磨玻璃变实性,患者很担心。但是从这个结节的发展过程,基本可以排除恶性。告知患者不用紧张。
另外,CT显示为靠近胸膜,斑斑点点的相邻病灶,不符合结核卫星灶,符合隐球菌感染表现。
查血液隐球菌抗原阳性,1:40

新型隐球菌肺炎诊断明确,无需鉴别,患者免疫功能正常,给予氟康唑口服治疗。
肿瘤性磨玻璃结节生长缓慢,基本不可能三个月变实性。因此本例从病程上,即可判断为炎症性,这个情况不要着急手术。后续根据CT影像特点,给予相应血液检查得以确诊。
下一篇:食管裂孔疝CT影像表现