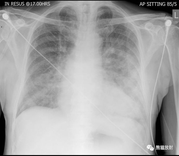
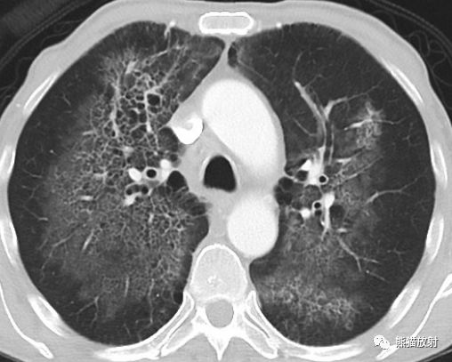
肺部之“蝙蝠翼征”
发布时间:2022-12-05
发布时间:2022-12-05

蝙蝠翼征 或 蝶翼征
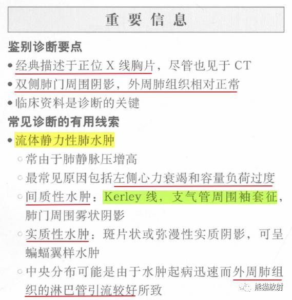
蝙蝠翼样肺部影是指双侧肺门周围的阴影。
通常在正位胸片上用来描述相关表现,也可指胸部CT上的表现。
鉴别诊断
蝙蝠翼样肺部影可由以下原因引起:
↓ Pulmonary oedema 肺水肿

↓ 卡氏肺囊虫肺炎














上一篇:胸部钙化临床意义和疾病谱
下一篇:支气管CT解剖