急性主动脉夹层的临床特征和影像学
发布时间:2022-11-17
发布时间:2022-11-17
●急性主动脉夹层
急性主动脉夹层是一种相对少见但具有灾难性的急性疾病。主动脉夹层的诱发事件是主动脉内膜撕裂,导致剧烈疼痛。夹层的传播可以发生在初始撕裂的近端(逆行)或远端(顺行),涉及主动脉瓣或胸主动脉和/或腹主动脉的分支。夹层的扩散导致其他临床表现,包括主动脉瓣关闭不全、心脏压塞和终末器官缺血(冠状动脉、大脑、脊髓或内脏、四肢)。
●危险因素
急性主动脉夹层的危险因素包括年龄较大、男性、全身性高血压、既往主动脉瘤或主动脉夹层变异型以及动脉粥样硬化的危险因素。已经注意到主动脉夹层发生率的季节性变化。对于 40 岁以下的人,这些风险因素不太常见,但通常存在其他易感因素,例如结缔组织疾病、血管炎、二尖瓣主动脉瓣、主动脉缩窄、特纳综合征、既往主动脉瓣手术、血管器械、创伤、高强度举重或其他运动,以及使用可卡因。
●临床表现
急性主动脉夹层通常表现为升主动脉夹层前胸痛,或当夹层进展至左锁骨下动脉远端时,出现严重、剧烈或“撕裂”的后胸或背痛。疼痛可以是孤立的症状或与晕厥、中风的症状或体征、心肌梗塞 (MI)、心力衰竭或终末器官缺血的其他临床症状(内脏缺血、肾功能不全、四肢缺血、脊髓缺血)有关。与升主动脉夹层相比,降主动脉夹层更常见于初始临床表现的高血压。
●诊断
急性主动脉夹层的诊断取决于影像学检查对夹层的证实,影像学检查确定了主动脉受累的程度,并确定了进入和折返的部位、分支血管受累、主动脉瓣关闭不全和心包积液。没有一项研究能够获得全面评估主动脉夹层所需的所有信息,因此通常会获得多项研究的组合。
•D-二聚体– D-二聚体可能成为胸痛环境中有用的筛查工具,在这种情况下,广泛成像的成本会令人望而却步。D-二聚体 <500 ng/mL 可能表明一部分患者不太可能从主动脉成像中受益。D-二聚体水平可能最适合主动脉夹层风险低但仍存在临床诊断不确定性的患者。
•血管影像学——最初选择的影像学检查取决于患者的血流动力学状态和机构资源。快速区分急性升胸主动脉夹层(一种心脏外科急症)与降胸主动脉夹层非常重要,后者在血流动力学稳定且无终末器官并发症的患者中进行药物治疗。
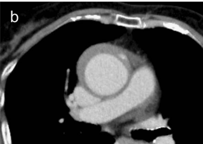
血流动力学稳定的患者–计算机断层扫描 (CT) 血管造影术通常被用作血流动力学稳定的疑似主动脉夹层患者的初步筛查研究,因为它具有广泛的可用性和图像采集速度,尤其是对于急诊科的患者。如果 CT 不明确或需要进一步勾画夹层,成像可能涉及经食道超声心动图 (TEE)、磁共振 (MR) 血管造影或数字减影主动脉造影,当强烈怀疑升主动脉夹层时也可能需要这些检查.
-血流动力学不稳定的患者–对于血流动力学不稳定的疑似急性主动脉夹层的胸痛患者,我们建议在床边或急诊室(或手术室)进行多平面 TEE 以确定诊断并评估夹层位置。
●分类
根据内膜撕裂的位置,无论原发性内膜撕裂的部位如何,主动脉夹层通常被分为 A 型和 B 型(斯坦福系统(Stanford system)图 1))。血管外科学会和胸外科学会的分类系统类似于斯坦福系统,根据受累程度区分 A 型和 B 型,但它也指定了夹层的远端范围(图 2)。A型主动脉夹层几乎是B型主动脉夹层的两倍。也可能发生孤立的腹主动脉夹层。

图1

图2
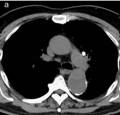
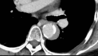
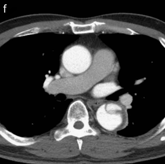
病例1

图3
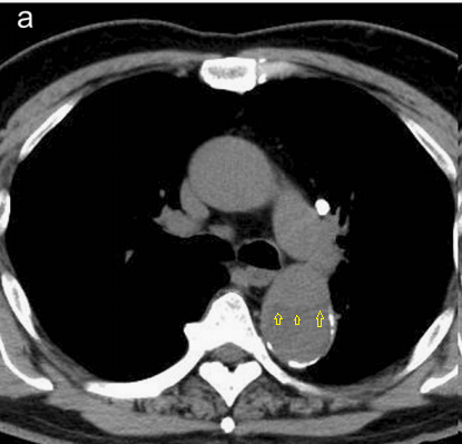
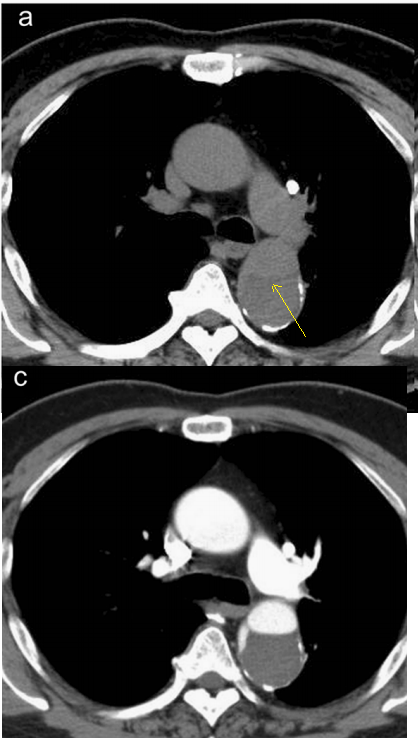
病例2
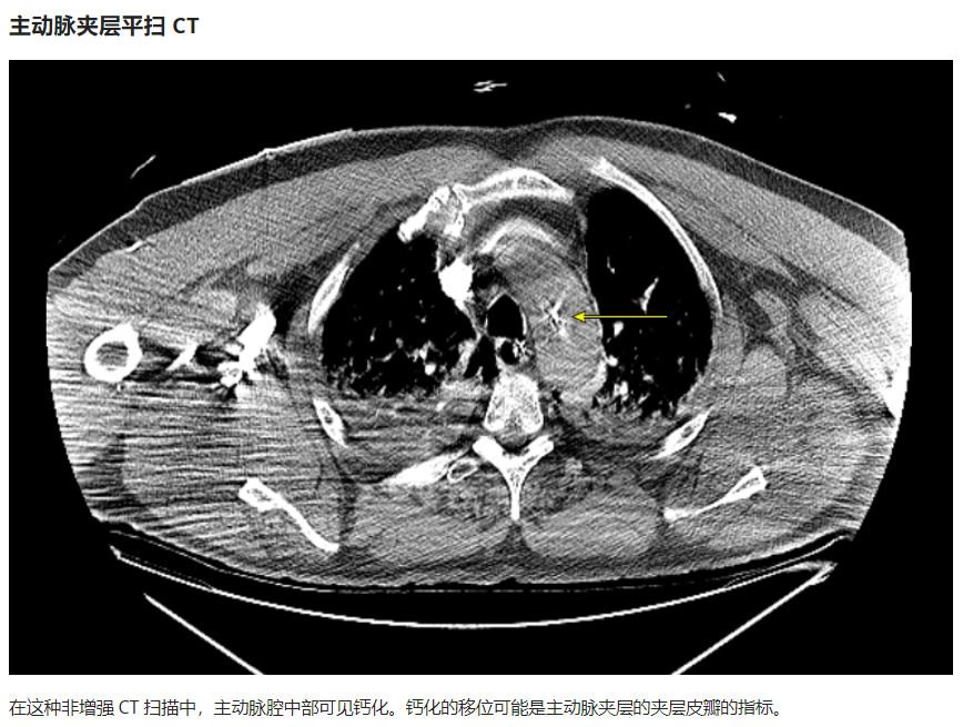
下图的胸部CT平扫,有什么大问题?

图4
仔细一看,主动脉里面有线样高密度阴影!这个要高度警惕主动脉夹层!

图5
增强CT一看,吓到一大片!太惊悚了!

图6
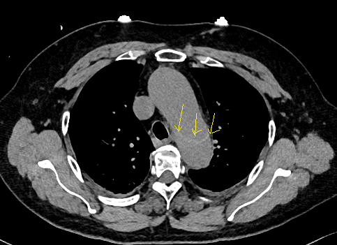
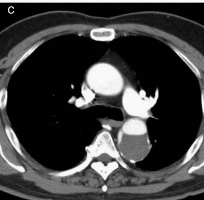
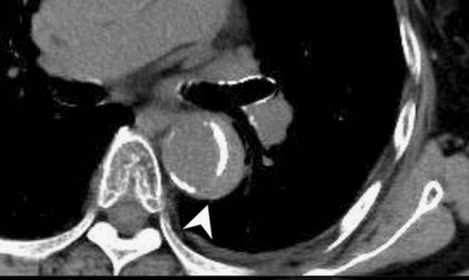
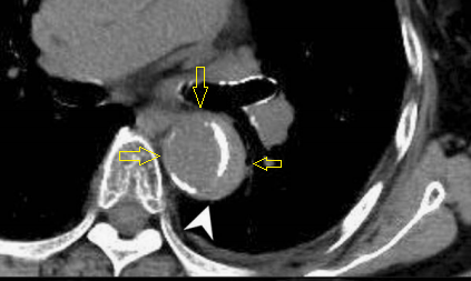
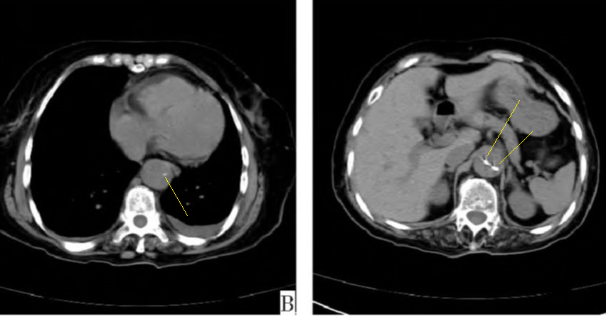
病例3
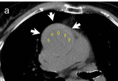
下图的胸部CT平扫,有什么致命的问题?

图7
仔细一看,主动脉里面有线样阴影!并且,线样阴影两边的密度一高一低!

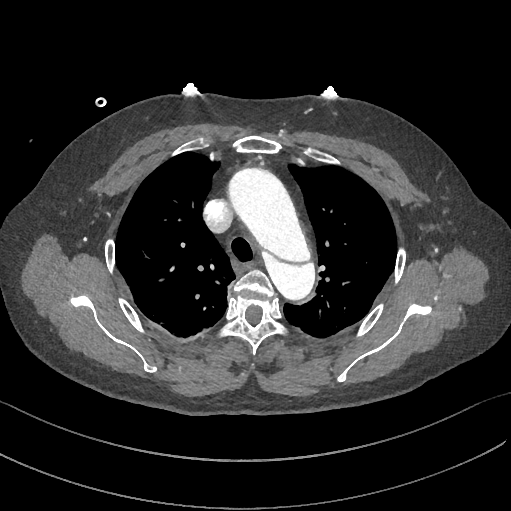
图8
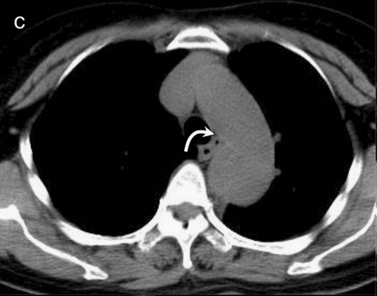
增强CT一看,主动脉夹层,密度相对高的是流动的血液!

图9
病例4
鲁迅说:孔乙己大约的确已经挂了!
下图的胸部CT平扫,基本上大约肯定可以看到一条线样阴影,将主动脉一分为二!

图10
增强CT一看,主动脉裂开了!

图11
病例5
鲁迅说:孔乙己大约的确已经嗝屁了!
下面的CT平扫,我感觉吧,我隐隐约约基本肯定看到主动脉夹层了!

图12
不行,你再看看,越看越像!

图13
增强CT一看,主动脉的确裂开了!

图14
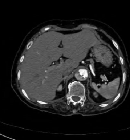
病例6
有些小伙伴开始着急了:鲁迅你别说了,我们家的CT分辨率低,平扫绝对看不出动脉夹层!
下图的胸部CT平扫,有什么致命的问题?

图15
血管壁钙化啊,老年人很常见啊,能说明个锤子!
注意,看下面,钙化在血管的里面,不是在管壁!难道是血液钙化了?血液钙化?什么鬼?

图16
这不是血液钙化,这是主动脉夹层导致的血管钙化内移!血液不会钙化,因为动脉夹层,导致钙化的内膜被压迫进入血管!
增强CT一看,就一清二楚了!

图17
病例7
你看,我家的CT这么模糊,平扫怎么看主动脉夹层?

图18
不着急!仔细看,血管里面的“血液”居然钙化了!这叫血管钙化内移,要警惕主动脉夹层!有研究发现,血管钙化内移诊断动脉夹层的特异性高达90%。

图19
赶紧做个增强CT!主动脉裂开了!

图20
病例8
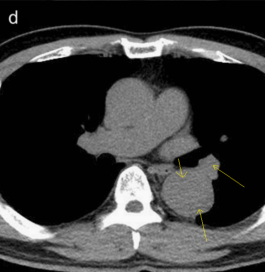
查到一篇文献,作者虽然用箭头标记了,并且是增强CT,但是鲁迅说:我大约肯定没有看出来,这是主动脉夹层!

图21
病例9
下面这个CT平扫,似乎有大问题!

图22
什么问题?似乎这里有大问题!

图23
同学,你眼神太好使了!
很可惜,这个不是问题,很多CT平扫都有这种线样阴影!
做个增强CT一看,哇,同学,你不光眼神好,运气也不是一般的好!

图24
总结
血管钙化内移,高度警惕动脉夹层,但不是绝对的!
血管内线样阴影,警惕警惕动脉夹层。记住,鲁迅说了,大约肯定有血管内线样阴影,才要怀疑动脉夹层,如果隐隐约约不肯定,不要过度诊断!
下图是:大约肯定有血管内线样阴影!

图25
下图是:隐隐约约不肯定有血管内线样阴影!

图26
上一篇:贫血—胸部CT平扫的诊断价值
下一篇:肺部反晕征影像诊断思维