肺动静脉畸形及类似病变的CT表现
发布时间:2022-11-13
发布时间:2022-11-13
概述
肺动静脉畸形(PAVM)是肺动脉与肺静脉之间的瘘管性连接,它绕过了正常的肺毛细血管床,从而导致了右向左分流。由于矛盾性栓子出现的风险,当供血动脉超过3mm或患者出现症状时应对PAVM进行治疗。PAVM通常见于罹患遗传性出血性毛细血管扩张症的患者,散发性病例不常见。血管性或非血管性肺部病变均可能类似PAVM,例如纤维性纵膈炎,静脉静脉侧枝血管,动脉侧枝血管,肺动脉假性动脉瘤,肝肺血管,Sheehan血管,肺静脉迂曲,肺静脉曲张,肉芽肿,结节,粘液囊肿,支气管囊肿,磨玻璃密度影及肺不张。
教学要点
(1) 肺动静脉畸形(PAVM)是肺动脉与肺静脉之间的瘘管性连接,它绕过了正常的肺毛细血管床,从而导致了右向左分流。
(2) 遗传学出血性毛细血管扩张症是最常见的关联疾病,占所有PAVM病例的80%至90%。
(3) PAVM供血动脉的直径是治疗决策的重点。对于供血动脉直径大于3mm的PAVM,建议使用经导管的弹簧圈栓塞。
(4) 在平扫CT或常规增强CT中偶然发现的病变可能显示与PAVM不一致的影像学表现,因此需要专门的PAVM方案进行CT评估或经胸增强心脏超声随访。在经胸增强心脏超声检查结果为阴性时,可以排除PAVM的存在。
(5) 肉芽肿是最常遇见的肺结节,通常伴有小的肺动脉。尽管肉芽肿可能具有供血动脉,但不会出现引流静脉。所有的PAVM均有供血动脉及引流静脉。胸部CT平扫可以鉴别结节中的钙化以及PAVM强化的病灶。在笔者经验中,PAVM不倾向于出现钙化。多个微小的卫星结节也强烈提示肉芽肿性病变。

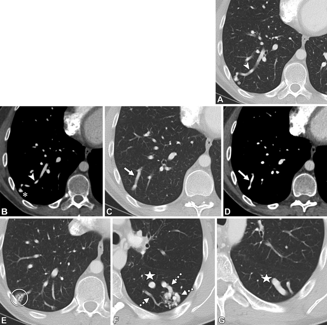
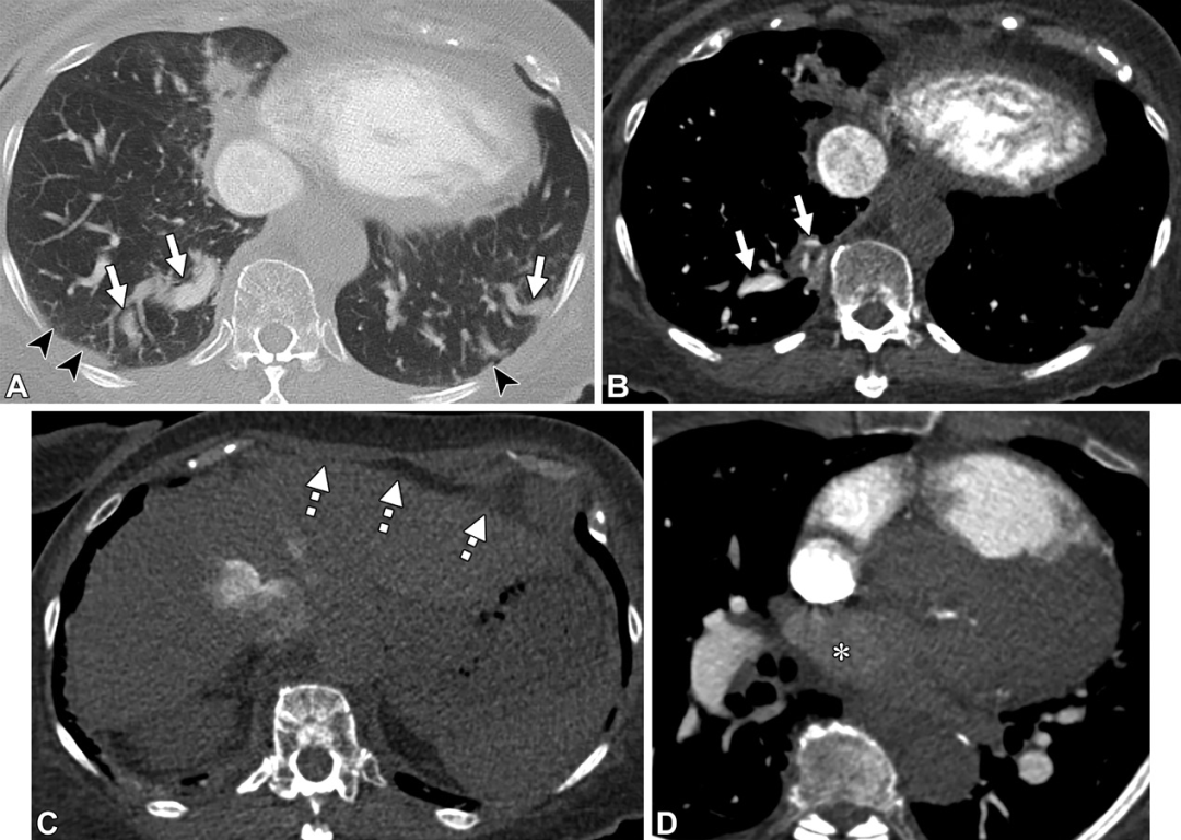
PAVM。轴位CT图,32岁男性,遗传性出血性毛细血管扩张症,因右向左分流导致的慢性低氧血症。(A,B)轴位CT图,可见右肺下叶PAVM的病灶(白色信号)及引流静脉(白色箭头)。(C,D)轴位CT图,可见供血动脉大于3mm(白色箭头)。(E)右肺下叶另见一个PAVM,在供血动脉及引流静脉之间的磨玻璃密度影(白色圆圈),提示显微镜下毛细血管扩张。(F,G)一个复杂的PAVM位于左肺下叶,可见三个供血动脉(F图中白色虚线箭头)以及一个粗大的引流静脉(白色星号),注意观察引流静脉比供血动脉大。

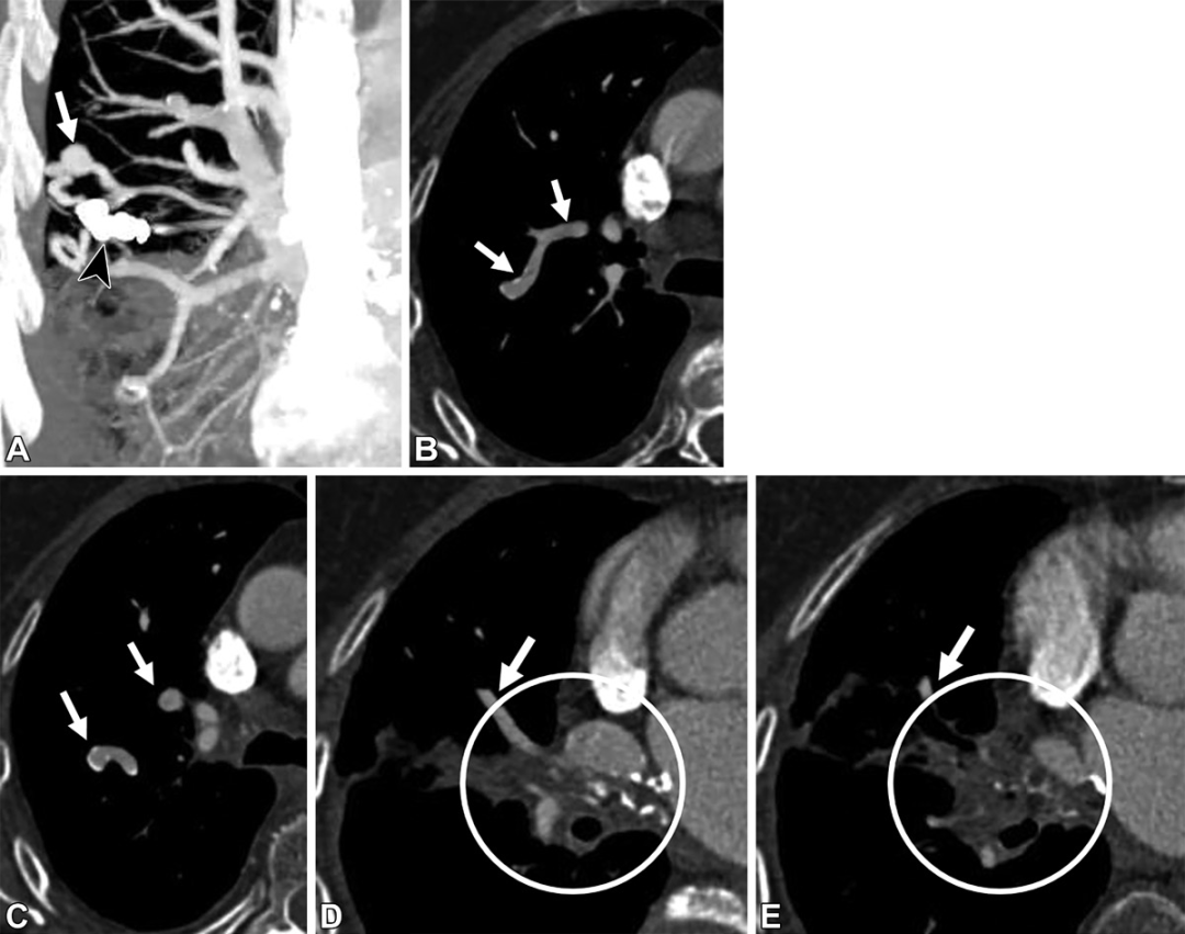
静脉静脉侧枝血管。39岁女性,8年前PAVM治疗史。(A)冠状位CT的最大密度投影图,可见右肺上叶血管内的弹簧圈(黑色短箭头),以及邻近的粗大血管结构(白色箭头)。(B至E)轴位CT图,可见扩张的静脉结构(白色箭头),但没有病灶或供血动脉。右肺门可见软组织增厚及钙化(白色圆圈),累及了静脉血管及支气管,符合纤维性纵膈炎表现。右上中肺静脉的阻塞会导致静脉结构扩张,称为静脉静脉侧枝血管。

动脉动脉侧枝血管。48岁男性,有肺栓塞病史。轴位CT图,可见左肺上叶一个弯曲走行的血管结构(白色箭头),注意观察没有引流静脉或病灶。这一表现最符合继发于先前肺栓塞的动脉动脉侧枝血管形成。

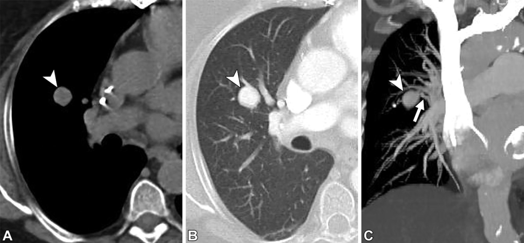
肺动脉假性动脉瘤。56岁男性,既往Swan-Ganz导管置入史。(A)轴位平扫CT图,右肺上叶圆形结构(白色箭头)。(B)轴位增强CT图,圆形血管结构(白色箭头),注意观察没有引流静脉。(C)冠状位最大密度投影图,此结构与邻近的肺动脉相连(白色长箭头),符合肺动脉假性动脉瘤(白色短箭头)表现。

肝肺综合征。72岁男性,气短。(A,B)按照肺栓塞扫描程序进行的轴位增强CT,可见双肺下叶扩张的胸膜下血管(黑色箭头),扩张的结节形及螺旋形血管(白色箭头)与胸膜相连。(C)上腹部CT图,可见肝表面呈结节状(白色虚线箭头),符合肝硬化表现。(D)轴位CT,可见左心房的右侧早期显影(白色星号),符合右向左分流表现。以上表现符合肝肺综合征。

Sheehan血管。55岁女性,肺动脉高压。(A)轴位增强CT,外周血管扩张(白色箭头),胸膜侧逐渐变细,以及磨玻璃密度影(黑色箭头)。(B)三维重建图,可见外周血管显著扩张(白色箭头),符合肺动脉高压引起的Sheehan血管。

肺静脉迂曲。9岁男孩。轴位CT增强图,可见右侧胸廓内一个显著的血管结构(白色箭头),引流进入左心房。未见供血动脉或病灶。符合肺静脉迂曲表现。

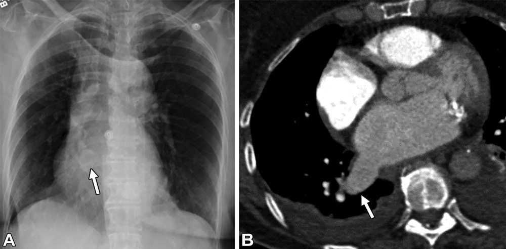
肺静脉曲张。54岁男性,胸片异常。(A)前后位胸片可见右肺下叶异常扩张的血管结构(白色箭头)。(B)轴位CT增强图,可见右肺下叶肺静脉曲张。

肉芽肿。36岁男性。轴位CT图,可见簇状结节(白色圆圈),中心呈高密度,外周可见小动脉(白色箭头)。以上表现最提示肉芽肿。后续基因检测及头颅磁共振均为阴性,患者也没有遗传性出血性毛细血管扩张症的家族史。

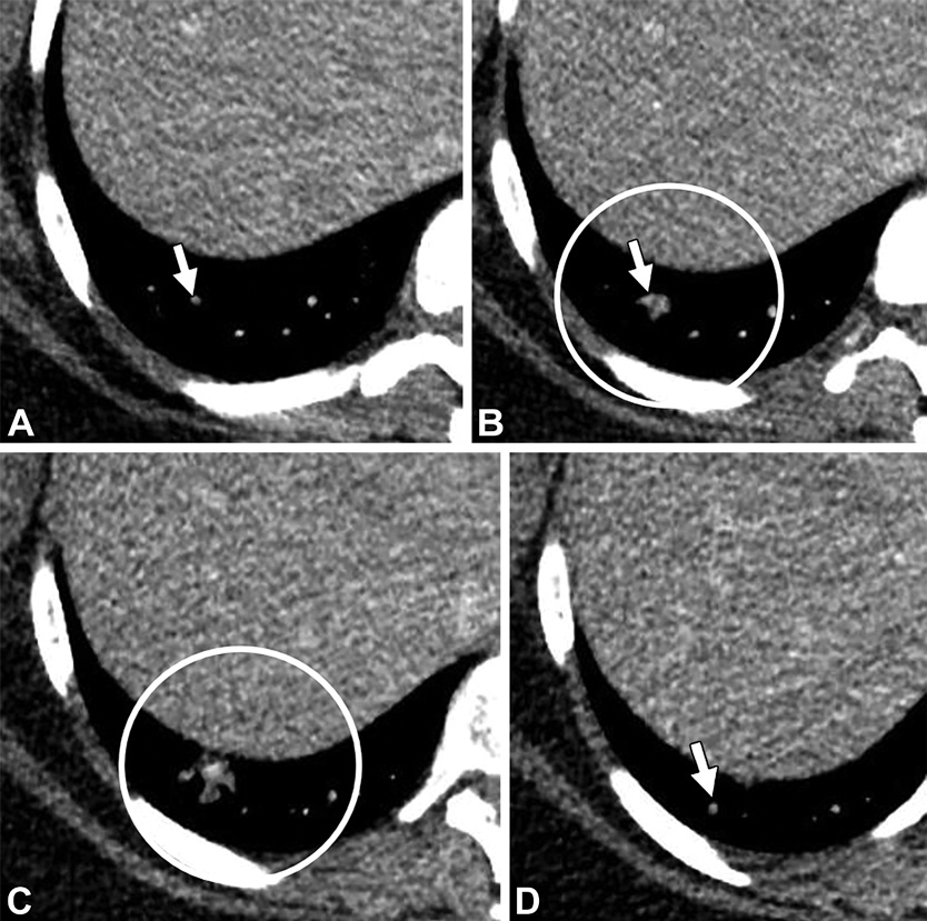
肉芽肿。31岁男性,有遗传性出血性毛细血管扩张症家族史。(A至C)轴位CT增强图,可见左肺下叶病变,伴供血动脉(白色箭头)以及中心高密度(白色星号),未见引流静脉。(D)随诊CT5年后,病变变小(白色星号),开始钙化。提示肉芽肿。

肉芽肿性病变。38岁女性。(A,B)轴位CT增强图,无强化的结节(白色箭头)伴多发邻近的卫星结节(黑色圆圈)。(C)轴位最大密度投影图,可见供血动脉(黑色箭头)及多发卫星结节(黑色圆圈),未见引流静脉或病灶。以上表现符合肉芽肿性病变。

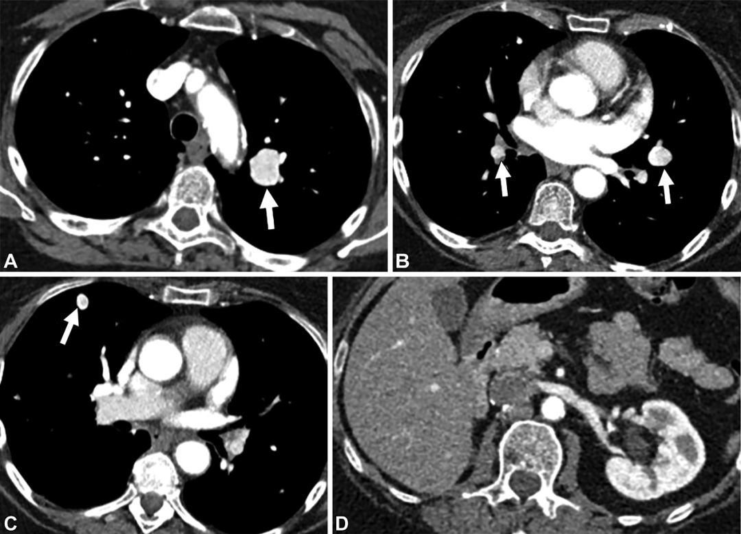
多发强化病变。47岁女性。(A至C)轴位CT增强图,可见肺内多发强化病变,与血管邻近。未见供血动脉及引流静脉。(D)腹部CT增强图,可见有肾切除术后改变。符合肾细胞癌的富血供转移。

粘液囊肿。68岁男性。(A,B)轴位CT图可见右肺中叶内一个分枝管状结构(白色箭头)。(C)可见近端含气的支气管(白色箭头)。(D)轴位增强CT,病变无强化(白色箭头)。未见引流静脉或供血动脉。以上表现符合粘液囊肿。

肺透光度增加,空气潴留。34岁女性。(A,B)分枝病变(白色箭头)伴周围肺透光度增加及空气潴留(白色圆圈)。(C)病变无强化(白色箭头)。分枝结构提示扩张的支气管,无强化的病变提示粘液栓。

线样肺不张。61岁患者,有遗传性出血性毛细血管扩张症病史。轴位CT增强图,左肺下叶一个没有强化的扩张管状结构(白色箭头),未见病灶,供血动脉及引流静脉。以上表现最符合线样肺不张。
参考文献:
Demetrios A,Ryan S,et al. CT Appearance of Pulmonary Arteriovenous Malformations and Mimics. RadioGraphics 2022; 42:56–68
上一篇:囊腔性肺癌的影像特征和鉴别诊断
下一篇:心脏血管瘤