肺结节大小测量的推荐意见
发布时间:2022-10-26
发布时间:2022-10-26
背景

如上图,2000年-2019年呼吸系统癌症的死亡人数位于全球主要死因的第6位,因此评估肺结节的恶性风险显得尤为重要。
肺结节的恶性风险除与既往肺癌或胸腔外恶性肿瘤病史等危险因素有关外,还与结节大小和生长速度密切相关。目前许多指南指出结节大小对于疾病管理方案的制定十分重要。CT 肺结节测量应根据临床情况而定,某个指南的建议并不取代其他测量方法,如果最初选择了不同的结节测量方法,为了保持一致性,应该保留原先的方法。
2017年6月,Fleischner协会推出了标准化的肺结节测量方法。
此推荐意见均参照美国胸科医师学会(ACCP)临床指南进行证据分级
美国胸科医师学会(ACCP) 制定了一个分级系统的标准,用于所有ACCP指南,简单、透明、方法明确、分级方法的统一可以增强临床医生对指南实践操作的实用性。
| 1A/强推荐,高质量证据 | 强烈推荐,可以毫无保留地适用于大多数情况下的大多数患者 |
| 1B/强推荐,中等质量证据 | 强烈推荐,可以毫无保留地适用于大多数情况下的大多数患者 |
| 1C/强推荐,低质量或非常低质量的证据 | 强烈推荐,但当有更高质量的证据可用时,可能会改变 |
| 2A/弱建议,高质量证据 | 弱建议,最佳操作可能因患者或社会价值的具体情况而异 |
| 2B/弱建议,中等质量的证据 | 弱建议,最佳操作可能因患者或社会价值的具体情况而异 |
| 2C/弱建议、低质量或非常低质量的证据 | 非常弱的建议,其他替代方案可能同样合理 |
精确测量肺结节大小主要有以下目的:
(a) 评价基线CT影像结节的恶性风险
(b) 为病人制定合适的结节管理方案
(c) 监测随访 CT 影像结节的大小变化
肺结节大小测量的推荐意见
(12个问题)
1、实性结节和磨玻璃结节如何测量?(2B 级推荐)
| 肺小结节(<10 mm)的直径由同一平面内最长轴和垂直最短轴直径的平均值。(特别是用于风险评估) |
| 对于较大的结节和肿块,分别记录长轴和短轴直径。(特别是用于分期) |
因为平均尺寸测量可能比一次测量与肿瘤体积的相关性更好,特别是在细长的结节和短小的结节中。

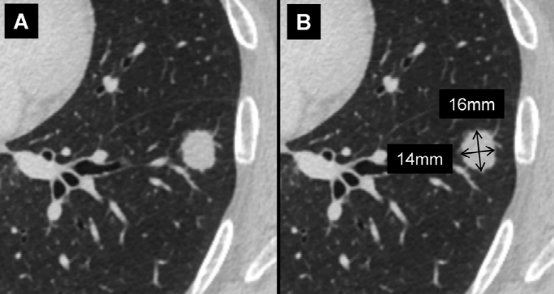
图A、左肺下叶实性结节。图B、最大长轴直径 (16mm,垂直箭头),垂直于长轴测量的最大短轴直径 (14mm,水平箭头)。结节的平均直径为15mm。
如肺小结节 (<10mm) 的尺寸应表示为同一平面内最大长轴和垂直最大短轴测量值的平均值。对于较大的结节或肿块 (>10mm),应记录长轴和短轴直径。因为该结节的平均直径>10mm,所以给出了长轴和短轴直径。

左肺上叶纯磨玻璃结节。前一病例的结节测量方法同样适用于此病例,此结节的平均直径为17mm。
2、部分实性结节如何测量?(2B 级推荐)
| 与实性结节一样,小的亚实性结节(<10 mm)需要记录结节(包括磨玻璃密度或囊性成分在内)的长、短轴直径的平均值。 |
| 大结节需要分别记录长、短轴的直径。 |
| 所有实性成分> 3 mm的亚实性结节需要测量实性成分的最长径。 |

右肺下叶亚实性结节。A、磨玻璃成分和实性成分都明确显示。B、首先,测量结节的总体尺寸,得到24mm的平均直径。C、然后,单独测量实性成分的长轴,得到7mm的直径。
3、应该使用哪个计量单位?(1B 级推荐)
| 测量结果和均值需记录为最接近的整毫米数,如5.7mm,记录为6mm |
研究认为,尽管肺结节的测量结果可以显示到0.1mm,但是考虑到有多种因素影响其测量结果的精度,这种表观精度具有欺骗性。
因此,长轴直径为4.5mm的结节应四舍五入至5mm。短轴直径为3.4mm的结节应四舍五入至3mm。结节的平均直径如下:( 5+3)/2 = 4mm。
如果长轴和短轴直径的平均值得出一个带有小数的数字,则应类似地四舍五入到最接近的整毫米。记录的长轴和短轴直径也应四舍五入到最接近的毫米。
基于手动测量或使用自动测量工具获得的平均直径可以考虑分数测量,但结果仍应记录为整数。
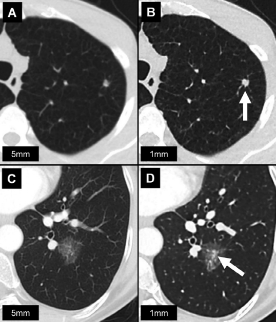
4、是否应该测量每个肺结节的大小?(1C 级推荐)
| 小于 3 mm 的肺结节不需要测量,推荐用“微结节”描述。 |
| 多发肺结节只需要测量最大或形态学最可疑的结节。 |
| 测量的每个肺结节均需准确描述其位置。 |

A、右肺上叶,B、左肺上叶,C、右肺下叶。3mm或更小的结节 (箭头)。
由于在确定病变是实性结节、亚实体结节还是磨玻璃结节时存在准确性和可变性的限制,因此不需要测量此类小结节。
5、测量肺结节应用多少层厚?(1B 级推荐)
| 测量肺小结节(<10 mm)和结节中的小的实性成分需使用薄层影像(≤ 1.5 mm)。 |
| 较大的结节和肿块可以使用较厚层的影像测量。 |

左肺上叶A、B,实性结节 (箭头)。左肺下叶C、D,亚实性结节 (箭头)。
与B和D相比,由于部分容积效应,A和C上的实性和亚实性结节边界显示较差。此外,D更好地显示出结节的实性成分。
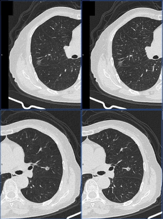
6、测量的截面方向应该是什么?(2B 级推荐)
| 常规应使用横断面影像测量。 |
| 除非结节最长径位于冠状面或矢状面上,在这种情况下,应在这些平面上进行测量并记录。 |
| 倾斜层面的测量难以复制,因此不推荐。 |

A、横断位,B、冠状位,C、矢状位。结节的长轴直径在A、B和C中分别为16mm、14mm和18mm。因此,应在该患者肺结节的矢状位中测量结节的长轴和短轴直径。
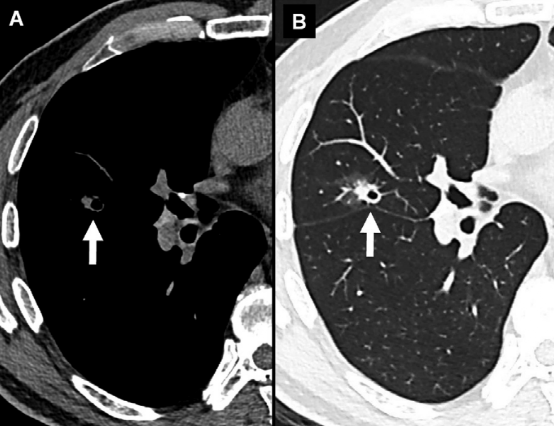
7、应该使用哪种重建算法?(1C级推荐)
| 小肺结节(<10 mm)的测量使用高空间分辨率(锐利)算法。 |
| 重建算法对于>10 mm的肺结节的测量影响较小。 |

右肺下叶小结节。A、未使用高空间分辨率 (锐利)算法。B、使用高空间分辨率(锐利)算法,其他技术参数保持相等。图B可提高解剖细节的可见性,尤其是肺结节 (箭头) 。
如若需测量CT值,锐利算法会影响CT值测量,因此测量CT值应选择非锐利软组织算法。
8、应该使用哪种窗宽窗位?(2B 级推荐)
| 推荐使用肺窗测量肺结节大小,包括亚实性结节的实性成分,尽管应用软组织窗评价结节密度随时间的变化有一定优势 |
| 肺窗(1500~2000HU,-700~-500HU),软组织窗(350~400HU,30~70HU) |

右肺上叶结节 (箭头)。A、纵隔窗图像仅显示结节实体成分的核心。B、肺窗图像可显示结节的整个实性成分、囊性和磨玻璃成分。
纵隔窗会减少亚实性结节磨玻璃成分的显示,因此,所有结节测量应使用肺窗的图像。
9、如何降低辐射剂量和使用图像降噪算法?(2B 级推荐)
| 降低辐射剂量时应保证影像质量。 |
| 过度降低辐射剂量以及应用降低噪声的迭代重建算法会对肺结节测量的产生较大影响。 |

右肺中叶磨玻璃结节及左肺上叶实性结节。左、低剂量(0.45mSv)结合西门子SAFIRE迭代算法。右、常规剂量(1.59mSv)未使用迭代重建。此病例应用西门子的迭代算法并没有影响结节的显示效果,因此迭代重建算法是否会对肺结节产生较大影响存在争议。
最小化辐射剂量的愿望和保持图像质量的愿望之间要保持平衡。
几项研究得出的结论是,可以在不影响结节测量精度的情况下大幅降低辐射剂量。然而,辐射剂量对体积测量误差的影响一直难以确定,许多研究未能证明存在显著差异。
然而,过度的剂量减少会通过降低结节边界的清晰度来影响图像质量。有研究指出,迭代重建算法的使用也会影响结节尺寸测量的准确性,尤其是磨玻璃结节,但需要更多的数据来评估当前各CT制造商的迭代重建算法。
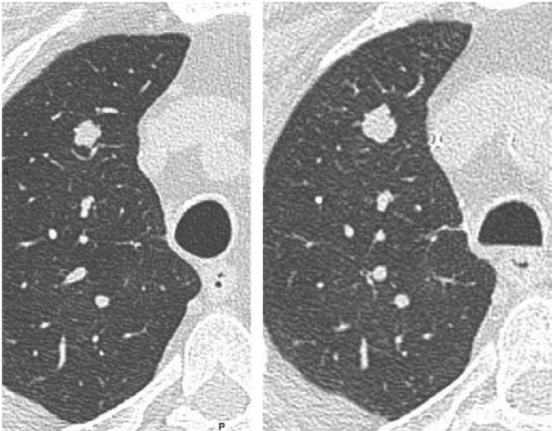
10、在哪个呼吸相扫描?(2B 级推荐)
| 应在深吸气时进行 CT 检查以测量肺结节 |

疑似转移的肺结节。左、呼气相,右肺上叶结节显示模糊,无法区分结节。右、吸气相,可以更好地区分单个结节。

孤立性肺结节。在吸气 (左) 和呼气 (右) 时显示右肺上叶有一个孤立性肺结节。结节在吸气和呼气之间的大小和形态都发生了变化,在吸气时为10.9mm X 9.3mm,在呼气时为12.3mm X 12.2mm。气管形状的差异可区分吸气和呼气。
11、怎样表明肺结节大小发生改变?(2A 级推荐)
| 当肺结节的平均直径增加或减少>2 mm(四舍五入到最接近的毫米)时,可以确定肺结节大小有变化。 |
| 对一些边界难以区分的结节,直径的细微改变不能可靠地反映结节大小的变化。 |

右肺上叶的实性结节 (箭头) 的时间顺序扫描。结节的平均直径为,A、8mm,B、9mm,C、11mm,D、13mm。当我们将最早的图像与最新的图像进行比较时,结节的生长最为明显。手术证实为腺癌。
12、随访评估增长不明确时,选择哪一期CT比较?(1 级推荐)
| 判断结节的阶段性生长应使用最近一次的CT扫描。 |
| 但评估结节的长期生长时,推荐与更早的检查进行对比,以增加对比的可靠性。 |

右肺上叶磨玻璃结节 (箭头) 的时间顺序扫描。结节的平均直径为A、13mm,B、14mm,C、18mm。当我们将最早的图像与最新的图像进行随访,测量应在结节中心层面上进行,不一定和上次检查的解剖学层面相同。
影响结节测量的因素
技术因素
| 影响因素 | 解决方法 |
| 测量值的记录 | 四舍五入到整数毫米值 |
| 影像层厚 | <10mm或有毛刺的结节,需使用薄层≤1.5mm影像 |
| 影像方位 | 亚实性结节需要测量结节及实性成分的最长径,并记录层面。冠矢轴位取决于长径 |
| 重建算法 | <10mm小结节用高空间分辨率(锐利)算法 |
| 窗宽窗位 | 肺窗 |
| 辐射剂量和迭代算法 | 根据病人的体型选择合适的扫描条件,平衡辐射剂量与影像质量 |
| 肺容量 | 深吸气的呼吸指令 |
观察者因素
1 测量方式
对于<10mm小结节仅测量最长直径存在一定的假阳性。需测量同一层面的最长径和垂直于长轴的短径,有毛刺的结节只测量结节的核心部分。

A、右肺结节带毛刺。b.将毛刺纳入测量会大大高估结节的大小。建议只测量结节核心。
2 CT值测量
目前有很多研究利用 CT 值辅助评价肺结节,如计算结节的质量(大小和 CT 值的乘积),用 CT 值评估亚实性和磨玻璃结节的生长情况,利用结节的总体 CT 值和 CT 值的分布情况区分腺癌的亚型、评估进展及预后等,但是都设有得出适用于临床的 CT 值阈值或參数,因此在推广 CT 值的测量之前需先将测量标准化,并研究随时间变化的 CT 值代表的病理意义。建议使用没有边缘增强的重建影像,比如纵隔窗影像,来测量CT值。
3 生长的定义
肺结节的生长指在2次 CT 扫描之间结节大小的增大,二维测量指的是结节直径增加,而直径的增加会表现为体积的增加。研究表明<2 cm 结节直径测量观察者间的变异度为1.73 mm ,因此可以将2 mm 作为判断结节是否生长的阈值,其他指南也同样将2 mm 作为判断阈值。推荐在实性、亚实性结节以及亚实性结节的实性成分的测量中都将2mm作为定义生长的阈值。此外,潜在的生长还必须考虑到2次 CT 扫描之间的间隔时间。
Fleischner协会2017指南规定两次CT检查图像上结节直径增加2 mm定义为结节的真正生长,肺部影像报告和数据系统(Lung Imaging Reporting and Data System,Lung-RADS)1.1版将肺结节生长定义为两次CT检查图像上结节直径增加大于1.5 mm或者体积增加大于2 mm3,英国胸科协会(British Thoracic Society,BTS)肺结节管理指南和荷兰-比利时肺癌筛查试验(Nederlands- Leuvens Longkanker Screenings Onderzoek,NELSON)结节管理方案规定两次CT检查图像上结节体积增加25%定义为结节增长。
虽然结节生长很重要,但它只是用来评估恶性风险的几个标准之一。因此,必须再次强调,结节大小的任何变化,必须始终与结节的其他形态特征,如形状、边界和内部质地一起观察。

左肺上叶结节(箭头)。虽然结节的平均直径已从图A的13mm减少到图B的8mm,但结节的实性成分转变和不规则边缘使其变得可疑。后期切除证实为侵袭性腺癌。
4 含多个实性成分的亚实性结节
含多个实性成分的亚实性结节的实性成分测量目前还没有统一标准。
一种方法是只测量最大的实性成分,并在报告中描述其他实性成分。在一项测量亚实性腺癌侵袭成分的病理研究中,提出了测量结节的所有非脂肪成分占结节体积百分比的方法。
尽管这种方法有一定优势,但比较耗时且主观性强,因此目前临床工作中病理科医师选择测量结节最大实性成分的最长径。
综上,推荐在高空间分辨率算法重建的肺窗影像上测量最大实性成分的最长径,如果最长径超过5mm则提示结节可能具有侵袭性。

A、左肺上叶结节(大箭头)。B、3年后,结节形成了两个实性成分(小箭头)。在具有多个实性成分的亚实性结节中,应测量最大实性成分的最大直径。在这个结节中,只测量较大的实性成分(最大直径5mm),较小的实性成分不需要测量。
5 观察者及测量异质性
测量结节直径存在观察者间及观察者自身的变异度,而且变异度会随着结节形态学复杂程度的增加而增加。
研究表明,测量直径<20 mm 的结节大小时,观察者间及观察者自身的变异度分别是1.73 mm 和1.32 mm 。因此,只有当结节的大小变化超过这些值时,才能判断它在生长;否则可能由于测量的变异度会将稳定的结节误判为生长或者将生长的结节误判为稳定的结节。
结节体积测量的变异度比直径测量的变异度小,有研究表明结节体积测量的总体变异度小于10%,但是不规则、非球形结节体积测量的变异度会相对增加,最高可达到27%。尽管半自动的体积测量变异度较小,但需要指出的是,使用不同的软件得到的测量结果也会不同,因此分析结节时需要使用相同的软件类型和版本。

右肺上叶亚实性结节。结节的实性成分定义不清,导致由两位放射科医生进行的测量不一致。实性成分的两个长轴直径分别为图B、28 mm和图C、14 mm。根据临床意义,我们推荐使用较大的长轴直径。在此图中只显示了实性成分的测量,但在临床实践中,必须对总体结节和实性成分进行测量。

四个不同软件对磨玻璃结节的分割和体积分析。计算的结节体积为A、2019 mm3,B、2059 mm3,C、1949 mm3,D、1528 mm3,导致测量之间的最大差值为531 mm3。
研究方向
1. 测量选择最大直径还是长短轴测量的平均值
2. 自动、半自动定量分析是对测量一致性、准确性和标准化的补救吗
3. 结节特征分类的,一致性、准确性和标准化能够实现吗
4. 结节的定量与病人的预后及远期生存率建立联系
总 结
肺结节的测量是放射科医师常见的工作之一,这些指南有助于标准化结节的测量方法,并减少不同放射科医生使用不同CT设备和扫描方案采集的结节的测量变异性。这些建议还强调了变异性的潜在原因,并提出需要进一步研究的领域,以提高测量的准确性、一致性和结节特征。与以前的指南一样,目前的指南今后可能会发生变化,因为一些基础知识将会不断发展。因此,我们要与临床判断和常识结合起来应用指南,并且结节的其他特征也很重要,如形状、边界、成分,以及患者的风险因素和临床病史等。
参考文献:
1.Nair A, Baldwin DR, Field JK, Hansell DM, Devaraj A. Measurement methods and algorithms or the management of solid nodules. J Thorac Imaging 2012;27(4):230–239.
2.MacMahon H, Austin JH, Gamsu G, et al. Guidelines for management of small pulmonary nodules detected on CT scans: a statement from the Fleischner Society. Radiology 2005;237(2):395–400.
3.Naidich DP, Bankier AA, MacMahon H, et al. Recommendations for the management of subsolid pulmonary nodules detected at CT: a statement from the Fleischner Society. Radiology 2013;266(1):304–317.
4.Henschke CI, Yip R, Yankelevitz DF, Smith JP; International Early Lung Cancer Action Program Investigators. Definition of a positive test result in computed tomography screening for lung cancer: a cohort study. Ann Intern Med 2013;158(4):246–252.
5.MacMahon H, Naidich DP, Goo JM, et al. Guidelines for management of incidental pulmonary nodules detected on CT images from the Fleischner Society 2017. Radiology 2017;284(1):228–243.
6.Hansell DM, Bankier AA, MacMahon H, McLoud TC, Müller NL, Remy J. Fleischner Society: glossary of terms for thoracic imaging. Radiology 2008;246(3):697–722.
7.Ko JP, Rusinek H, Jacobs EL, et al. Small pulmonary nodules: volume measurement at chest CT—phantom study. Radiology 2003;228(3):864–870.
8.Travis WD, Asamura H, Bankier AA, et al. The IASLC Lung Cancer Staging Project: proposals for coding T categories for subsolid nodules and assessment of tumor size in part-solid tumors in the forthcoming eighth edition of the TNM classification of lung cancer. J Thorac Oncol 2016;11(8):1204–1223.
9.Petkovska I, Brown MS, Goldin JG, et al. The effect of lung volume on nodule size on CT. Acad Radiol 2007;14(4):476–485.56.
10.Gietema HA, Schaefer-Prokop CM, Mali WP, Groenewegen G, Prokop M. Pulmonary nodules: interscan variability of semiautomated volume measurements with multisection CT—influence of inspiration level, nodule size, and segmentation performanc. Radiology 2007;245(3):888–894.
11.Goo JM, Kim KG, Gierada DS, Castro M, Bae KT. Volumetric measurements of lung nodules with multi-detector row CT: effect of changes in lung volume. Korean J Radiol 2006;7(4):243–248.
12.Mileto A, Barina A, Marin D, et al. Virtual monochromatic images from dual-energy multidetector CT: variance in CT numbers from the same lesion between single-source projection-based and dual-source image-based implementations. Radiology 2016;279(1):269–277.
13.BANKIER A A, MACMAHON H , GOO J M, et al. Recommendations for measuring pulmonary nodules at CT: a statement from the Fleischner Society. Radiology, 2017, 285(2): 584-600.
14.CHELALA L, HOSSAIN R, KAZEROONI E A, et al. Lung-RADS version 1.1: challenges and a look ahead, from the AJR special series on radiology reporting and data systems. AJR Am J Roentgenol, 2021, 216(6): 1411-1422.
15.CALLISTER M E, BALDWIN D R, AKRAM A R, et al. British Thoracic Society guidelines for the investigation and management of pulmonary nodules. Thorax, 2015, 70(Suppl 2): II1-II54.
16.HOREWEG N, VAN DER AALST C M, VLIEGENTHART R, et al. Volumetric computed tomography screening for lung cancer: three rounds of the NELSON trial. Eur Respir J, 2013, 42(6): 1659-1667.
17.Bankier AA, O’Donnell CR, Boiselle PM.Quality initiatives. respiratory instructions for CT examinations of the lungs: a handson guide. RadioGraphics 2008;28(4):919–931.
18.Guyatt G, Gutterman D, Baumann MH,et al. Grading strength of recommendations and quality of evidence in clinical guidelines: report from an American College of Chest Physicians task force. Chest 2006;129(1):174–181.
19.Revel MP, Bissery A, Bienvenu M, Aycard L, Lefort C, Frija G. Are two-dimensional CT measurements of small noncalcified pulmonary nodules reliable? Radiology 2004;231(2):453–458.
20.Gietema HA, Wang Y, Xu D, et al. Pulmonary nodules detected at lung cancer screening: interobserver variability of semi-automated volume measurements. Radiology 2006;241(1):251–257.
21.Marchianò A, Calabrò E, Civelli E, et al. Pulmonary nodules: volume repeatability at multidetector CT lung cancer screening. Radiology 2009;251(3):919–925.
仅供专业人士交流目的,不用于商业用途。
2022年10月24日
下一篇:支气管动脉CTA