肾盂癌分型及其鉴别诊断
发布时间:2022-10-30
发布时间:2022-10-30
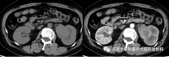
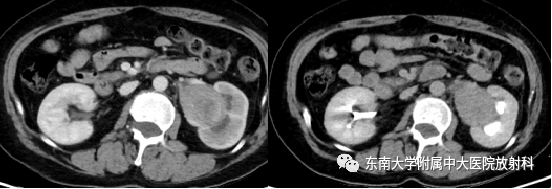
病例
女,52岁
主诉:肉眼血尿1年
现病史:患者无明显诱因下出现肉眼血尿,阵发左侧腰疼,无尿频尿急,于当地医院就诊查彩超结果无特殊,后多次复查影像学结果无特殊,症状无好转






































上一篇:胆囊癌的影像诊断
下一篇:卵巢卵黄囊瘤/内胚窦瘤