卵巢交界性上皮性肿瘤MRI与病理对照

发布时间:2022-10-29

【PPT】卵巢交界性上皮性肿瘤MRI与病理对照-1

【PPT】卵巢交界性上皮性肿瘤MRI与病理对照-2

图片

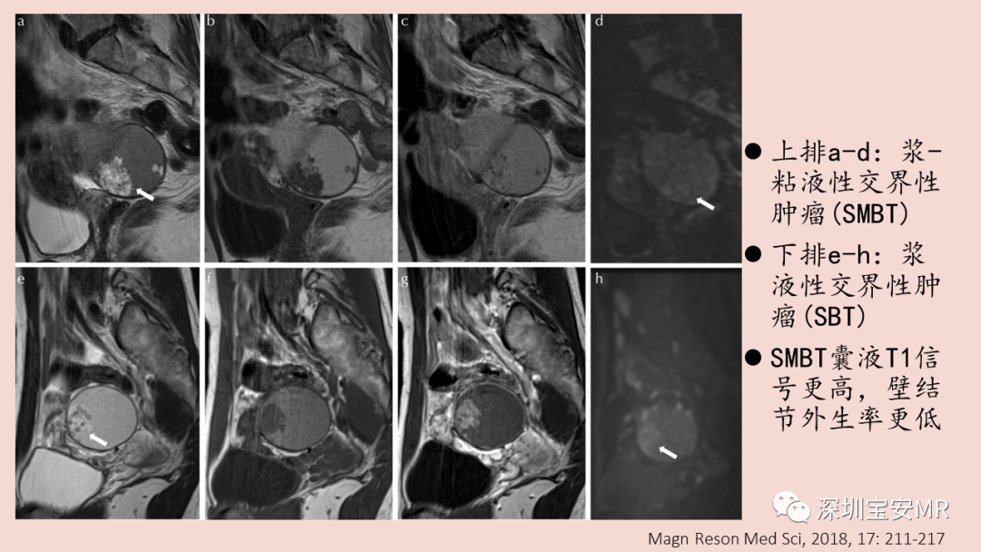
图片

图片

【PPT】卵巢交界性上皮性肿瘤MRI与病理对照-6

【PPT】卵巢交界性上皮性肿瘤MRI与病理对照-7

【PPT】卵巢交界性上皮性肿瘤MRI与病理对照-8

【PPT】卵巢交界性上皮性肿瘤MRI与病理对照-9

【PPT】卵巢交界性上皮性肿瘤MRI与病理对照-10

【PPT】卵巢交界性上皮性肿瘤MRI与病理对照-11

【PPT】卵巢交界性上皮性肿瘤MRI与病理对照-12

【PPT】卵巢交界性上皮性肿瘤MRI与病理对照-13

【PPT】卵巢交界性上皮性肿瘤MRI与病理对照-14

【PPT】卵巢交界性上皮性肿瘤MRI与病理对照-15

【PPT】卵巢交界性上皮性肿瘤MRI与病理对照-16

【PPT】卵巢交界性上皮性肿瘤MRI与病理对照-17

【PPT】卵巢交界性上皮性肿瘤MRI与病理对照-18

【PPT】卵巢交界性上皮性肿瘤MRI与病理对照-19

【PPT】卵巢交界性上皮性肿瘤MRI与病理对照-20

【PPT】卵巢交界性上皮性肿瘤MRI与病理对照-21

【PPT】卵巢交界性上皮性肿瘤MRI与病理对照-22

【PPT】卵巢交界性上皮性肿瘤MRI与病理对照-23

【PPT】卵巢交界性上皮性肿瘤MRI与病理对照-24

【PPT】卵巢交界性上皮性肿瘤MRI与病理对照-25

图片

【PPT】卵巢交界性上皮性肿瘤MRI与病理对照-27

【PPT】卵巢交界性上皮性肿瘤MRI与病理对照-28

【PPT】卵巢交界性上皮性肿瘤MRI与病理对照-29

【PPT】卵巢交界性上皮性肿瘤MRI与病理对照-30

【PPT】卵巢交界性上皮性肿瘤MRI与病理对照-31

【PPT】卵巢交界性上皮性肿瘤MRI与病理对照-32

【PPT】卵巢交界性上皮性肿瘤MRI与病理对照-33

图片

【PPT】卵巢交界性上皮性肿瘤MRI与病理对照-35

【PPT】卵巢交界性上皮性肿瘤MRI与病理对照-36

【PPT】卵巢交界性上皮性肿瘤MRI与病理对照-37

【PPT】卵巢交界性上皮性肿瘤MRI与病理对照-38

【PPT】卵巢交界性上皮性肿瘤MRI与病理对照-39

【PPT】卵巢交界性上皮性肿瘤MRI与病理对照-40

【PPT】卵巢交界性上皮性肿瘤MRI与病理对照-41

【PPT】卵巢交界性上皮性肿瘤MRI与病理对照-42

【PPT】卵巢交界性上皮性肿瘤MRI与病理对照-43

【PPT】卵巢交界性上皮性肿瘤MRI与病理对照-44

【PPT】卵巢交界性上皮性肿瘤MRI与病理对照-45

【PPT】卵巢交界性上皮性肿瘤MRI与病理对照-46

【PPT】卵巢交界性上皮性肿瘤MRI与病理对照-47

精彩图片

热门精选