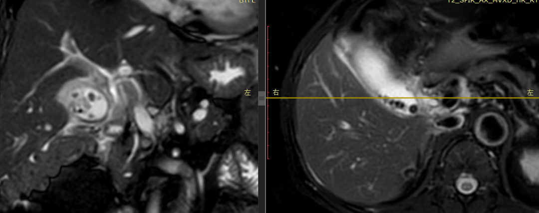
胆囊腺肌症
发布时间:2022-11-19
发布时间:2022-11-19
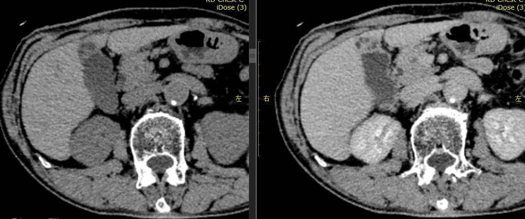
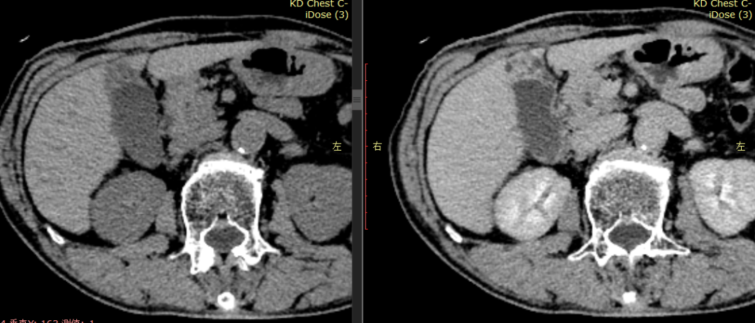
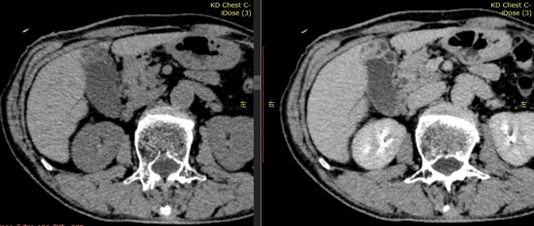
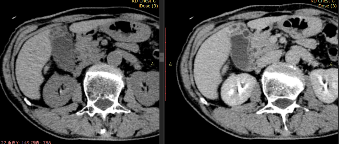
胆囊腺肌症是是一个相对普遍和良性的疾病。弥漫或局灶性胆囊壁增厚,最容易在超声和MRI上看到。
胆囊腺肌症是一种比较常见的疾病,约占所有胆囊切除术标本的9%。发病率随着年龄的增长而增加,大概是长期炎症的结果。有女性倾向(M:F=1:3)。
这通常是偶然的发现,通常不需要治疗。它可能更多地出现在慢性发炎的胆囊但它本身并不是一种癌前病变。
腺肌症本身通常是无症状的。然而,它经常与慢性胆囊炎有关,常伴胆囊结石、胰腺炎等。
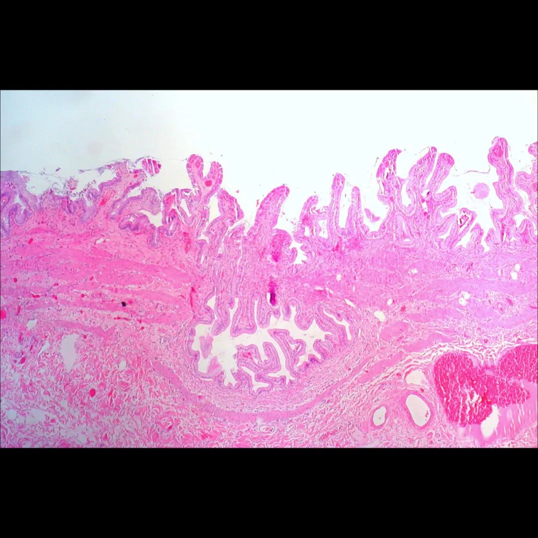
胆囊腺肌症是胆囊增生性病变之一,壁增生,形成Rokitansky-Aschoff窦(壁内憩室内衬粘膜上皮)穿透胆囊肌层,胆囊壁增厚或不增厚。
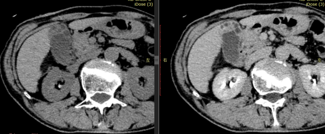
CASE 1








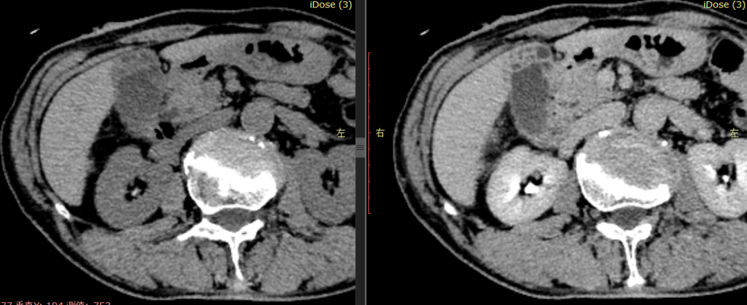
CASE 2

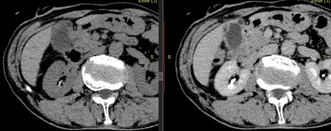
CASE 3

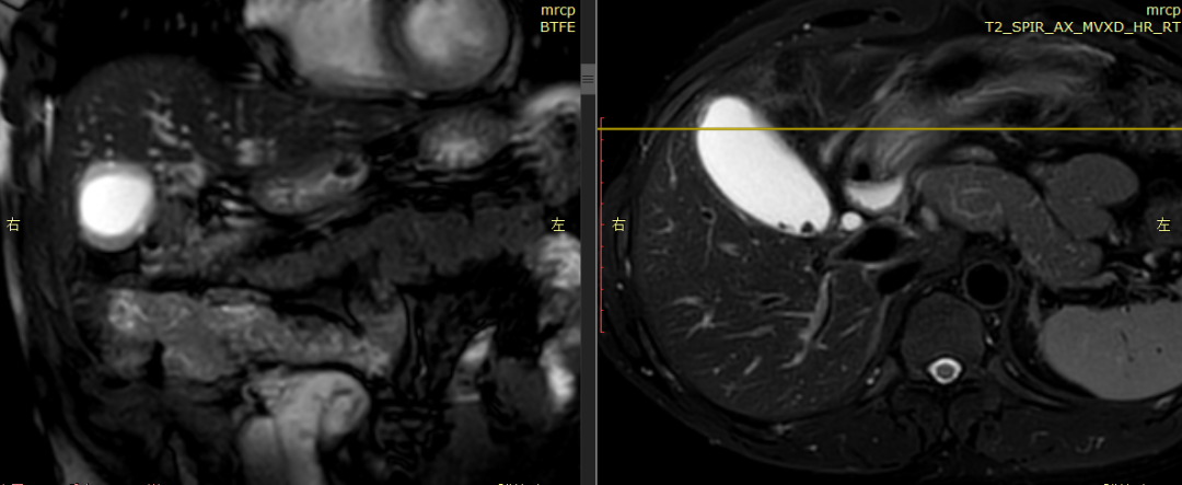
CASE 4

病理图

上一篇:影像征象—软藤征
下一篇:【PPT】肌纤维发育不良